這波疫情到底什麼時候會趨緩?
民眾何時可以回歸正常的生活?
以目前台灣的疫苗施打狀況來說,還有很大的進步空間。雖然短期內確診人數、死亡人數似乎沒有直線上升的趨勢,但新冠病毒是隻非常難纏的病毒,一旦染病之後,患者 14 天內基本上都可能具傳染力,所以即使疫情趨勢正在下降,只要又有人輕忽了14天的自我隔離或居家檢疫的重要性,而將病毒傳播出去,就很有可能再次引發新的一波疫情,周而復始。且以上提到的這種情況,並不是簡簡單單來個加強版三級警戒、甚至是四級封城就可以解決的。
疫苗施打率與群體保護力
上述情況在世界各國都曾發生,例如韓國一開始因為新天地教會的關係爆發疫情,後來雖然疫情有趨緩,但還是持續出現幾個高峰,直到最近AZ疫苗施打率上升,整體的感染趨勢才稍微控制住;其它又如紐西蘭、澳洲、新加坡等國家也都有相同情況,一開始的大規模感染慢慢控制下來後,接著又有患者不夠謹慎,因而再次形成其他感染支鍊擴散出去。
若要有效控制病毒的擴散,並讓整體的感染趨勢下降,除了要做好個人防護及環境清潔外,全體國民的疫苗施打率一定要提升。「疫苗施打率」跟「群體保護力」有一定的相關性,只要大多數的人打了疫苗不再染病,自然也可以保護到不適合接種疫苗的族群。
流行病學者推論,如果一個區域內 60% 到 70% 的人都接種了疫苗,就有形成群體免疫的條件。但由於新冠病毒不斷變種,而新的變種病毒感染力更強,所以這個數字或許還需要再上修。美國有公衛學家提出,可能需要 70% 到 80% 的國民施打新冠疫苗,才能達到足夠的群體保護力。
以現階段台灣的狀況來說,能打到的疫苗就是最好的疫苗。無論是AZ、莫德納、輝瑞BNT、或是未來可能成功解盲的國產疫苗。前三者已經有非常足夠的證據能夠提供充足的保護力,並近乎 100% 的預防重症。英國在廣為接種AZ疫苗之後,整體感染趨勢也明顯趨緩。台灣何時能夠恢復以往的生活,疫苗接種率絕對是最重要的因素,在此也附上兩則跟疫苗相關的科普影片給各位參考。
快篩與 PCR 核酸檢測
由於近期社區感染的爆發,我來針對疑似案例的採檢方式:「快篩」與「PCR 核酸檢測」做進一步的說明。

▣ 快篩:
- 檢驗的對象:抗原(病毒的蛋白質)。
- 優點:速度快,通常30分鐘內就會有結果。
- 缺點:較不精確,有較高的偽陽性以及些許的偽陰性。也因此之前的朝陽快篩站雖快篩出了 29 名學生陽性,但在之後的 PCR 核酸檢測卻皆為陰性(無人確診);也因為有偽陰性的關係,即使快篩的結果是陰性,也無法完全排除染病的可能,因此仍要勤洗手戴口罩,做好保護自己及他人的措施。
▣ PCR 核酸檢測
- 檢驗的對象:病毒本人。
- 優點:十分精確,為目前確診的黃金標準。
- 缺點:一是檢驗速度慢,至少兩小時起跳。二則是需要搭配 CT 值(註 1)做判讀,例如患者雖然 PCR 陽性,但檢驗起來 CT值>34,代表不具傳染之虞。但民眾不會懂這個概念,只會覺得這個人確診了豪可怕,我要離他遠一些。
(註 1:由於 PCR 檢驗的是病毒的核酸,核酸需要經過放大後才能被儀器偵測到。因此若病毒量很大,將核酸總量放大 10 次就被儀器偵測到,CT 值就為 10;若病毒量中等,要將核酸總量放大 25 次才被儀器偵測到,CT 值就為 25;若病毒量微乎其微,要將核酸總量放大 35 次才會被儀器偵測到,CT 值就為 35。也因此 CT 值越高,病毒量越低。一般來說 CT 值>34 就被認定不具傳染力;CT 值>30 的傳染力已微乎其微。這也是目前防疫政策如此制定的原因。)

什麼是快樂缺氧(Happy hypoxia)?是在快樂個什麼東西?
想必讀者近期很常在新聞上聽到快樂缺氧(Happy hypoxia),又稱隱形缺氧(Silent hypoxia),這是新冠肺炎重症的一種特殊表徵。我們先將兩個名詞分開解釋。
▣ 缺氧(Hypoxia)
缺氧代表組織中氧氣濃度不足,通常是低血氧症(Hypoxemia)所引起的。低血氧症代表血中氧氣分壓不足,但如果要精確測得血氧分壓,需要抽血送機檢查,因此臨床上常用血氧飽和度(SpO2)來做替代,兩者有顯著的正相關。
正常人血氧飽和度至少要>95%,大部分人都可以98~100%,若是<95%就要小心肺部或呼吸道是否出現問題,如肺炎、或睡眠呼吸中止症造成的氣道阻塞等。這也是為什麼監測血氧飽和度是臨床上評估肺炎進展的方式之一。

▣ 快樂 / 隱形(Happy / Silent)
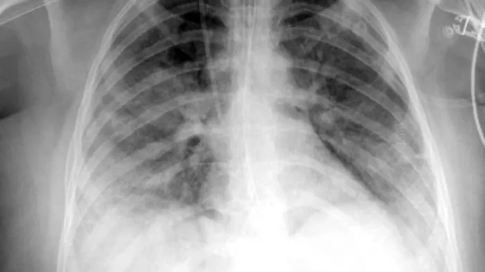
兩者的涵義一樣,意指患者雖然處於缺氧狀態(SpO2<95%),但臨床症狀卻不明顯,沒有喘、呼吸加速等症狀。也因為症狀不明顯,肺炎嚴重度容易被低估,等到更進一步惡化的時候,醫療端很可能措手不及。所以近期才有不少患者喘起來時,胸部X光片已經雙側發白,雖然緊急插管但最終仍不治的遺憾新聞。

究竟,為何新冠肺炎的感染者,容易出現快樂缺氧(Happy hypoxia)的現象呢?
其中一個假說是:多數肺部受損的病人,除了血氧濃度會下降外,也會伴隨血中二氧化碳濃度的提升,因此腦幹的呼吸中樞會受到刺激,病人會因此有呼吸加快的表現。
然而,新冠肺炎患者血中的二氧化碳分壓只有些微上升,患者僅需靠深呼吸就能將二氧化碳排除,因此儘管血氧飽和度偏低,也比較不會有喘或呼吸困難的表現(因二氧化碳才是刺激呼吸中樞的主要物質)。但為何新冠確診者容易引起缺氧?醫學界已經提出不少假說,例如細胞激素風暴、肺部血管內皮受損、病毒會攻擊肺部的 ACE2 受體造成其破壞損傷等等。

總結
簡單來說,目前醫學界認為要有效阻止病毒的進一步擴散,讓大家漸漸可以回復到以往群聚的社交生活,主要還是得取決於疫苗的施打率,不管是 AZ 疫苗、莫德納疫苗、輝瑞疫苗或是國產疫苗,還是必須再次強調我的觀點:能打到的疫苗就是最好的疫苗。目前市面上的疫苗幾乎都是 100% 防止重症,只要確定得病後不會發展成重症,其實需要擔心的事就會少很多了。輕症患者基本上會自己痊癒,同時也鮮少有長期的後遺症。
以上關於新冠肺炎的補充,希望對大家有幫助。
大鴿沒有輸!憑藉何種熱情,才得以有能量多棲於各大社群?閱讀專訪認識大鴿:〈方格子作者專訪——突圍網路創作紅海的兒科醫師〉























