

目前健保補助13歲(含)以上的民眾,每半年一次洗牙的療程。
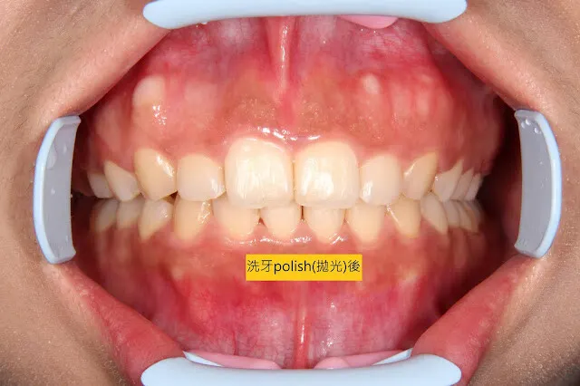
但大家對洗牙的問題也不少,但牙醫師認為的洗牙其實是清除牙結石(並不包含polish),而非一般病人以為的洗車車.....
這是我曾用來polish的牙膏,美白效果不錯,應該可以請病人自行買來每天刷牙用
以下順便衛教一些臨床圖,那些是正常組織構造



油漱口,實做,有病人跟我講,有美白牙齒的效果


目前健保補助13歲(含)以上的民眾,每半年一次洗牙的療程。
但大家對洗牙的問題也不少,但牙醫師認為的洗牙其實是清除牙結石(並不包含polish),而非一般病人以為的洗車車.....
這是我曾用來polish的牙膏,美白效果不錯,應該可以請病人自行買來每天刷牙用
以下順便衛教一些臨床圖,那些是正常組織構造



油漱口,實做,有病人跟我講,有美白牙齒的效果

























