現在還是有不少人對洗牙存在誤解,覺得洗牙會導致牙齒松動、牙齒敏感以及牙齦出血等等。但是其實定期洗牙不會造成這些問題,相反的,洗牙是為了保持良好的口腔衛生,是防止口腔疾病進一步發展的基礎。

深圳洗牙價錢
洗牙是什麽呢?
洗牙的專業術語是超聲波齦上潔治,是指用超聲波潔治器清除牙齦上方的牙結石、牙菌斑及色漬,並且對牙齒表面進行拋光,可以延緩牙菌斑和牙結石的再沈積。
洗牙是一種比較好的牙齒保健方法,是治療牙周病的基礎。定期洗牙不僅可以完全清除牙齒上的牙菌斑和牙結石,保持牙周組織健康,預防牙周病,還可以通過洗牙輕松發現細小的不易察覺的牙病,做到早發現、早治療的目的。因此為了預防和治療口腔疾病,減輕牙齦炎、牙周炎等,保持口腔衛生,每個人都應該定期洗牙。
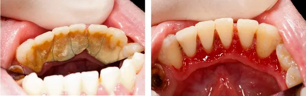
很多人不太了解牙結石對我們的影響:
01口臭。減少牙菌斑是消除口臭的主要途徑;
02牙齦萎縮。長期積累的牙結石會壓迫牙齦,使牙齦紅腫、萎縮以及牙縫變大,進一步加重食物嵌塞。更容易導致鄰面齲。
03牙齒松動。牙齦炎進一步加重發展為牙周炎,牙槽骨吸收,牙根暴露,牙齒越來越松,直至脫落。
04牙根敏感。牙根暴露在外面,對冷熱酸甜刺激比較敏感,影響進食。
洗牙是一項重要的預防措施,同時也是早期口腔疾病的檢查和治療手段。牙結石一旦形成,單純的刷牙很難清除,必須由專業的醫生用專業的器械清除。除了每天正確的刷牙方法、飯後使用牙線,平時定期檢查牙齒,一般半年到一年需要洗一次牙。

深圳洗牙價格收費
洗牙的適應癥:
01牙齦炎、牙周炎;
02預防性治療:定期清除牙菌斑、牙結石,是為了維護牙周健康、預防牙齦炎和牙周炎發生或復發的重要措施;
03其他口腔治療前的準備:修復缺失牙取印模前,口腔腫瘤手術切除前,正畸治療前等。
洗牙後個別人會在短時間內感到有點敏感和酸痛,這些癥狀只是暫時的,通常是2至3天內會消失,所以不用太過擔心。另外洗牙後可能出現牙齦出血,這是由於口腔原有牙齦疾病引起的暫時性出血,一般2至3天就能恢復。洗牙後要保持良好的口腔衛生,不然還是會有新的牙結石沈積。
深圳洗牙價格收費?深圳愛康健口腔新年美牙節,即日起至2024年2月29日,超聲波保健洗牙88元一次,菌斑導向專業洗牙168元一次~
▼愛康健Wechat睇牙查詢連結▼



