
### 骨刺的治療與康復
骨刺,又稱為骨質增生,是人體骨骼在長期的壓力和磨損下形成的一種保護性反應。然而,當骨刺壓迫到周圍的神經或軟組織時,便會引起疼痛和不適。骨刺Neuron 復健坊在骨刺治療方面,不僅注重症狀的緩解,更著眼於病因的根治。
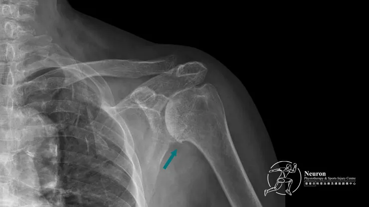
在診斷階段,Neuron 復健坊的專業團隊會運用先進的影像學檢查技術,如X光、MRI等,精確地定位骨刺的位置和程度。骨刺根據檢查結果,治療師會為患者量身定制一套個性化的治療方案。骨科物理治療這套方案通常包括物理治療、運動療法以及必要的藥物輔助。
物理治療是骨刺治療的核心部分。骨刺Neuron 復健坊的治療師會運用熱療、電療、超聲波等技術,促進局部血液循環,減輕炎症反應,從而達到緩解疼痛的效果。骨科物理治療此外,頸椎性頭痛治療師還會指導患者進行一系列的運動療法,這些運動旨在加強相關肌肉群的力量,改善骨骼的負重能力,從而減少骨刺對周圍組織的壓迫。
### 骨科物理治療的專業服務
骨科物理治療是一門專注於骨骼系統疾病的預防、治療和康復的學科。Neuron 復健坊在這一領域擁有豐富的經驗和專業的團隊。骨刺他們的服務範圍覆蓋了從骨折後的康復到慢性骨科疾病的管理。
對於骨折後的患者,Neuron 復健坊的治療師會在手術後的早期介入,通過輕柔的運動和物理治療手段,促進傷口愈合,減少水腫。腰頸背痛隨著康復的進展,治療師會逐步增加運動的強度和複雜性,幫助患者恢復關節活動度和肌肉力量。骨科物理治療這一過程不僅需要專業的技術,頸椎性頭痛更需要耐心和細心的指導,以確保患者在康復的每一個階段都能得到最佳的照顧。
對於慢性骨科疾病,如關節炎、椎間盤突出等,Neuron 復健坊的治療方案則更注重長期的管理和維護。骨科物理治療他們會根據患者的具體情況,設計一套包括運動療法、物理治療和生活方式調整的綜合方案。骨刺這些方案旨在減輕症狀,提高患者的生活質量,並預防疾病的進一步惡化。
### 腰頸背痛與肩頸腰背痛的舒緩
腰頸背痛和肩頸腰背痛是現代社會中極為常見的問題,它們多由不良的姿勢、長期的勞損或不當的運動引起。骨科物理治療Neuron 復健坊在這一方面提供了全面的治療和康復服務。
在治療腰頸背痛時,Neuron 復健坊的治療師會首先對患者的症狀進行詳細的評估,包括疼痛的程度、持續時間以及可能的誘因。腰頸背痛根據這些信息,治療師會選擇合適的治療方法。例如,對於因肌肉緊張引起的疼痛,治療師會運用手法按摩和熱療來放鬆肌肉,改善血液循環。頸椎性頭痛對於因椎間盤問題引起的疼痛,則會採用物理治療和運動療法來加強脊柱的穩定性,減少椎間盤對神經的壓迫。
肩頸腰背痛的治療則更加複雜,因為這些部位的疼痛往往涉及多個系統。骨科物理治療Neuron 復健坊的治療師會綜合運用物理治療、運動療法和心理輔導等多種手段,幫助患者緩解疼痛,恢復正常的生活和工作能力。腰頸背痛他們會指導患者進行一系列的肩部和腰部運動,這些運動旨在加強相關肌肉群的力量,改善關節的活動度,並預防疼痛的再次發生。
### 頸椎性頭痛的治療與預防
頸椎性頭痛是一種由頸椎問題引起的頭痛,它通常伴隨著頭部和頸部的疼痛、僵硬和活動受限。骨科物理治療這種頭痛不僅影響患者的日常生活,還可能導致情緒焦慮和睡眠障礙。
Neuron 復健坊在頸椎性頭痛的治療方面,採取了一種綜合的方法。骨科物理治療首先,治療師會對患者的頸椎進行詳細的檢查,包括影像學檢查和臨床評估,以確定頭痛的具體原因。肩頸腰背痛根據檢查結果,治療師會選擇合適的治療方案,這可能包括物理治療、手法矯正、運動療法和藥物輔助。
物理治療是頸椎性頭痛治療的重要組成部分。Neuron 復健坊的治療師會運用熱療、電療和超聲波等技術,促進頸部血液循環,減輕炎症反應,從而達到緩解疼痛的效果。骨科物理治療此外,治療師還會指導患者進行一系列的頸部運動,這些運動旨在加強頸部肌肉的力量,改善頸椎的穩定性,並預防頭痛的再次發生。
除了治療,Neuron 復健坊還非常重視預防。他們會為患者提供詳細的生活方式建議,包括正確的坐姿、睡姿和運動方式。骨科物理治療這些建議旨在幫助患者養成良好的習慣,減少頸椎的負荷,從而預防頸椎性頭痛的發生。
### 總結
「Neuron 復健坊」作為一家專業的復健中心,以其精湛的技術和貼心的服務,為廣大患者提供了全面且有效的治療方案。肩頸腰背痛無論是骨刺、腰頸背痛、肩頸腰背痛還是頸椎性頭痛,Neuron 復健坊都能夠根據患者的具體情況,制定個性化的治療計劃,幫助他們恢復健康,重拾自信。在這裡,患者不僅能得到專業的治療,還能得到關懷與支持,這使得Neuron 復健坊成為許多人在面對骨科問題時的首選。
物理治療中心|物理治療及運動創傷中心|物理治療診所|康復中心物理治療|物理治療收費標準 |物理治療中心收費|物理治療邊間好|物理治療香港|香港物理治療|職業治療物理治療|職業治療物理|治療分別|物理治療服務|物理治療|物理治療介紹|物理治療推薦|物理治療推介|物理治療費用|物理治療價錢|物理治療幾錢|物理治療時間|物理治療項目|復健治療項目|脊椎治療|脊醫物理治療|脊椎側彎|脊椎側彎物理治療推薦|脊骨矯正|脊骨矯正收費|網球肘|網球肘物理治療|網球手物理治療|五十肩物理治療|肩周炎|肩周炎物理治療|髗骶骨治療|髗骶治療|筋膜炎|筋骨扭傷|高低肩|高低肩物理治療|骨刺|骨科物理治療|腰頸背痛|肩頸腰背痛|頸椎性頭痛|關節炎| 關節炎治療|關節勞損|關節退化|兒童姿勢矯正|姿勢矯正|肌肉拉傷|拉傷|腕管綜合症|手腕物理治療|坐骨神經|坐骨神經痛|十字韌帶撕裂|十字韌帶物理治療|十字韌帶創傷|韌帶拉傷|半月板撕裂|膝痛|寒背|寒背矯正|寒背治療|椎間盤突出|椎間盤突出治療|椎間盤突出物理治療|痛症|長期痛症|痛症治療|運動物理治療|物理治療運動|物理治療運動治療|運動傷害治療|運動傷害物理治療|運動治療|運動按摩|伸展治療|運動創傷復康|上門物理治療|上門物理治療服務|物理治療上門|上門物理治療收費|物理治療師|香港物理治療師|物理治療師推介|物理治療師推薦|物理治療師介紹|運動治療師|運動物理治療師|物理治療師收費|物理治療保險|意外保險治療|保險物理治療|物理治療轉介信|物理治療轉介 | 痛症專家 | 痛症專科 | 正骨師 | 正骨價錢 | 正骨收費 | 整骨師 | 專業整骨 | 整骨作用 | 整骨矯正 | 痛症治療師 | 治療痛症 | 痛症 | 痛症管理 | 痛症治療 | 痛症按摩 | 痛症推拿 | 手部麻痺 | 手臂痺痛 | 手臂痺 | 網球手 | 手網球 | 網球手治療 | 手肘痛 | 手肘外側痛 | 手肘疼痛 | 手肘治療 | 手肘發炎 | 手肘炎 | 手肘筋膜發炎 | 手踭痛 | 手踭外側痛 | 手踭酸痛 | 手肘肌腱炎 | 手肘肌腱發炎 | 網球手腕痛 | 網球手痛 | 哥爾夫球肘 | 高爾夫球肘按摩 | 高爾夫手腕痛 | 腕管綜合症 | 手腕物理治療 | 膊頭痛 | 右邊膊頭痛 | 右膊頭痛 | 膊頭肌肉痛 | 膊頭痛手痺 | 肩膊麻痺 | 肩周炎 | 五十肩 | 五十肩治療 | 腳踭痛 | 腳踭腫痛 | 腳踭腫 | 後腳踭痛 | 腳後踭痛 | 腳踭底痛 | 腳踭刺痛 | 足底筋膜炎 | 足底筋膜炎原因 | 足底筋膜炎症狀 | 足底筋膜炎舒緩 | 扁平足 | 扁平足矯正 | 兒童扁平足 | 兒童扁平足矯正 | 小童扁平足 | 幼童扁平足 | 肌肉勞損 | 肌肉勞損治療 | 手臂肌肉痛 | 手臂痛 | 手臂痛治療 | 大腿肌肉痛 | 大腿肌肉酸痛 | 腳肌肉痛 | 肌肉痛 | 纖維肌痛症 | 肌肉酸痛舒緩 | 背部肌肉痛 | 背肌痛 | 背脊肌肉痛 | 臀部肌肉痛 | 屁股痛 | 臀部肌肉痛治療 | 頸肌肉痛 | 頸肌肉痛治療 | 肩頸勞損 | 頸勞損 | 頸部勞損 | 富貴包 | 富貴包消除 | 富貴包矯正 | 肩頸痛 | 肩頸疼痛 | 肩頸痛舒緩 | 關節痛 | 關節炎 | 關節退化 | 關節痛舒緩 | 腰肌勞損 | 腰肌勞損治療 | 慢性腰肌勞損 | 腰背痛 | 腰痛 | 腰痛治療 | 髖關節炎 | 髖關節痛 | 髖關節痛症狀 | 拉傷背肌 | 背肌拉傷 | 媽媽手 | 媽媽手治療 | 媽媽手舒緩 | 狹窄性腱鞘炎 | 媽媽手成因 | 膝頭痛 | 膝蓋痛 | 膝頭痛治療 | 髂脛束症候群 | 髂脛束筋膜炎 | 髂脛束症候群治療 | 脊椎側彎 | 脊椎側彎矯正 | 脊椎側彎治療 | 脊椎側彎成因 | 椎間盤突出 | 椎間盤突出原因 | 椎間盤突出治療 | 偏頭痛 | 偏頭痛舒緩 | 偏頭痛解決方法 | 坐骨神經痛 | 坐骨神經痛治療 | 坐骨神經痛症狀 | 正骨 | 全身正骨 | 整骨 | 全身整骨 | 整骨推拿 | 整骨好處 | 啪骨 | 啪骨價錢 | 啪骨好處 | 啪骨推介 | 復位 | 盆骨復位 | 復位師 | 鬆筋 | 鬆筋按摩 | 經絡鬆筋 | 背部鬆筋 | 頭部鬆筋 | 日式小顏術 | 日本小顏術 | 小顏矯正 | 小臉按摩 | 小臉推拿 | V 臉按摩 | V 面按摩 |


