
笑容重啟的關鍵!「明眸鋯齒」美白貼片,16顆齒列改造打造專屬你的自信微笑!
你是否曾因牙齒泛黃、形狀不對稱、齒列不整齊而不敢盡情微笑?
隨著現代人對外貌與自我形象的重視,「微笑改造」不再只是明星專屬的項目,而是你我都能擁有的日常自信。渥爾牙醫診所 的人氣療程:明眸鋯齒」美白貼片,專為追求自然、亮白又堅固笑容的人設計。
為什麼選擇牙齒貼片?
牙齒貼片(Veneers)是一種貼附在牙齒表面的薄瓷片,能有效改善牙齒的顏色、形狀、大小與排列問題。
相較於傳統美白療程,貼片更能長期維持亮白,同時修飾牙齒的不完美外型,特別適合有以下問題的人:
●天生牙齒偏黃或變色
●前牙磨損、缺角或裂痕
●齒縫過大或排列不整齊
●想快速擁有整齊亮白的牙齒外觀
渥爾牙醫的「明眸鋯齒」特色
本次案例中,患者選擇進行「明眸鋯齒」全口貼片療程,共16顆(上排+下排),由醫師針對個人口腔狀況與臉型微笑曲線,進行全方位評估與客製化設計。
從牙模製作到最終貼附,「明眸鋯齒」貼片,每一步都精準掌握細節,打造自然不假假的笑容。
●堅固耐磨:比傳統陶瓷更強韌,不易斷裂
●色澤自然:接近真牙質感,避免「死白」不自然的效果
●不易染色:對咖啡、茶、紅酒等色素有高度抵抗力
●貼合度高:微創設計,能最大程度保留原生牙齒結構
渥爾牙醫團隊擁有豐富臨床經驗,並結合最新的數位微笑設計系統(Digital Smile Design),協助你在治療前就能預視療程成果。

「明眸鋯齒」美白貼片,16顆齒列改造打造專屬你的自信微笑!
從初診諮詢、掃描、模擬設計,到最後貼片安裝與調整,提供一站式完整服務,讓療程過程安心無憂。
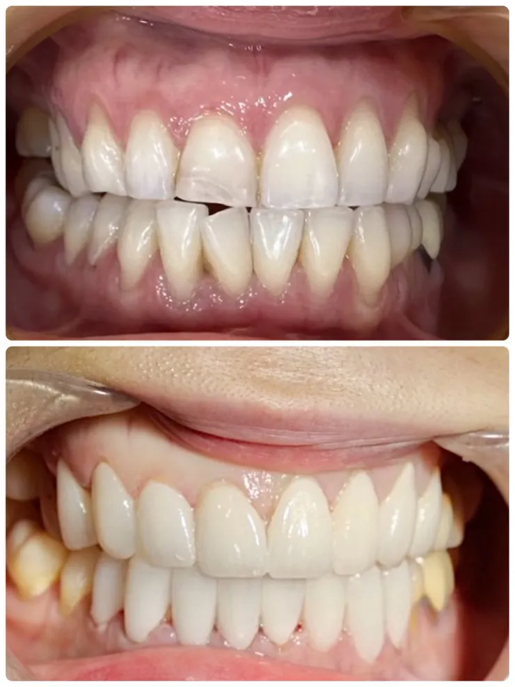
患者實拍前後對比:笑容差很大!

「明眸鋯齒」美白貼片,16顆齒列改造打造專屬你的自信微笑!
在案例中可明顯看出,貼片前患者牙齒略顯泛黃、不整齊且有些磨損;貼片後,整體齒色潔白透亮,齒形一致且排列整齊,讓整體笑容變得更具親和力與自信,更棒的是,完成貼片後即刻見效,不需長時間矯正或等待。
適合哪些人進行牙齒貼片?
●想改善牙齒美觀但不想戴牙套
●需要在短時間內完成笑容改造(如婚禮、公開演講等)
●對牙齒美白效果不滿意,希望有更長效的方案
你值得擁有一口自信又自然的笑容。無論是工作、人際還是自拍,每一次微笑都代表你的形象與魅力。選擇「明眸鋯齒」美白貼片,不只是改變牙齒,更是重拾自信的開始。
📍歡迎預約渥爾牙醫診所的免費諮詢,由專業團隊為你規劃最適合的美齒方案!
※大安渥爾牙醫診所
地址: 台北市大安區復興南路二段8號4樓
電話: 02-2325-0366
LINE@ ID:@lul4571m
※科技渥爾牙醫診所
地址: 台北市大安區復興南路二段302號
電話: 02-2738-0200

























