大家好!我哋係維港口腔,完全明白大家睇牙最關心兩件事:點樣慳錢,同埋點樣揀到最啱自己嘅補牙材料。今日就同大家詳細講下,喺深圳補牙點樣做到性價比最高,特別係分析下市面上常見嘅3M補牙材料點樣揀!
1、深圳補牙一般收費是多少?好多香港客人嚟到都會好驚訝:「哇,深圳補牙性價比咁高?」無錯,相比起香港,深圳補牙嘅價格真係平一大截,而且用料同設備都係國際級水準。
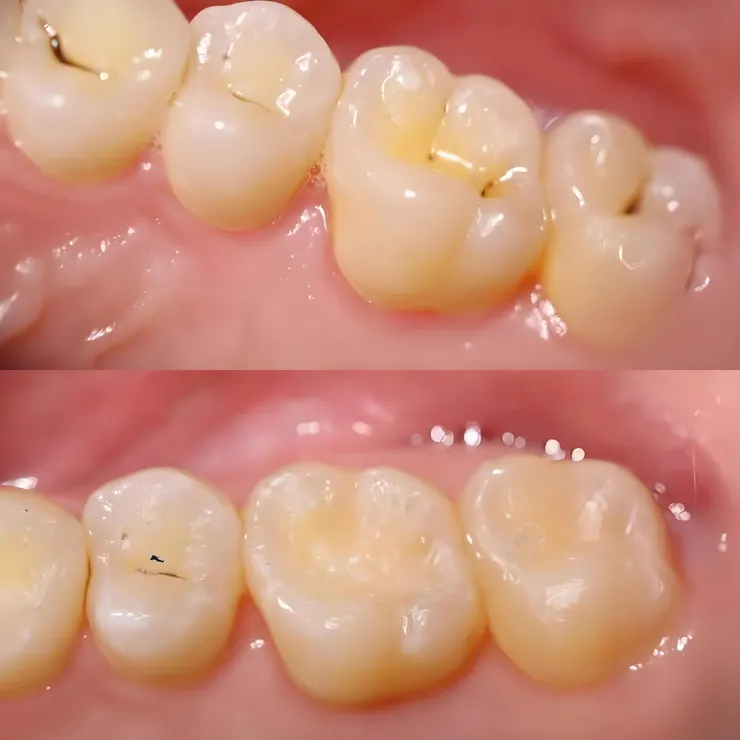
一般嚟講,深圳補牙收費主要睇三個因素:蛀牙嘅嚴重程度、所用嘅補牙材料、醫生嘅經驗。
一般補牙有唔同嘅材料,比如美國3mp60收費一般是400人民幣,3mZ350收費是500人民幣,3mz250收費是300人民幣,以及德國材料一般補牙收費是600人民幣。
如果經驗更豐富嘅牙醫補牙,部分深圳私立牙科可能加收100-300蚊一個牙齒。
點樣可以更慳錢?
- 定期檢查,及早處理:細洞就補,價錢最平。等到牙痛先睇醫生,通常已經係深度蛀牙,價錢貴之餘,治療過程亦都複雜咗。
- 揀啱材料:唔係最貴嘅材料就係最啱你,要根據牙齒位置同需求去選擇,下面會詳細同你分析。

2、補牙材料如何揀? (主要分析3M系列)
而家市面上最常用、質量最受認可嘅就係美國3M公司嘅補牙材料。好多客人都係指定要用3M。但3M都有分幾種,唔同情況應該點揀呢?等我同大家拆解下:
① 3M Z350 XT 納米樹脂 – 全能型選手
- 特點:呢隻係目前最頂級嘅納米樹脂材料之一。佢嘅微粒非常細,所以補完之後打磨到非常光滑,不易染色,而且硬度夠高,非常耐用。
- 適合邊啲人:
- 適合補前牙以及後牙,因為顏色選擇多,可以同你本身隻牙色融為一體,美觀度滿分!
- 亦都適合對補牙效果有高要求,想用得耐啲嘅客人,用喺後牙一樣表現出色。
- 我哋嘅建議:如果你預算許可,Z350 XT絕對係性價比最高嘅選擇,前牙後牙都適用,一步到位。
② 3M P60 後牙專用樹脂 – 大力士代表
- 特點:聽個名就知,呢隻係專門為後牙(大牙)設計嘅。佢嘅最大優點就係硬度超高,耐磨性極佳,能夠承受後牙咀嚼時嘅巨大壓力。
- 適合邊啲人:
- 專門用於補後牙嘅大蛀洞。
- 適合食嘢力度大,或者磨牙習慣嘅客人。
- 我哋嘅建議:如果你係後牙蛀得比較厲害,揀P60就最穩陣,專材專用,保證耐用度。
③ 3M Z250 複合樹脂 – 經濟實惠之選
- 特點:Z250可以話係經典款,雖然微粒無Z350咁細,但依然提供良好嘅強度同耐磨性,係一款非常可靠嘅通用型補牙材料。
- 適合邊啲人:
- 預算相對有限,但又想用到3M品質嘅客人。
- 適合補一啲唔太顯眼,或者蛀洞面積中等嘅牙齒。
- 我哋嘅建議:Z250絕對唔係「平嘢無好」,佢嘅性能對於日常使用已經非常足夠,係一個好實惠嘅選擇。
簡單總結點揀:
- 前牙,講究美觀 → 首選 3M Z350 XT
- 後牙,講究耐用 → 首選 3M P60
- 預算優先,性價比高 → 首選 3M Z250
總結:慳錢又補得好嘅秘訣
嚟深圳補牙想慳錢,秘訣在於「早發現、早治療,揀對材料」。唔好等到牙痛到瞓唔著先嚟睇,到時唔只洗多錢,仲要受多啲罪。
推薦閱讀:


