七十出頭歲的陳女士,一日在家中轉身時疏忽而跌倒,跌倒時右手猛然撐地,被家人扶起後發現右肩膀疼痛且動彈不得,被送到附近醫院急診,經過X光及檢查後診斷為右肩關節脫臼,在初步止痛鎮靜後,在醫院進行脫臼復位,給予吊手帶保護後離院。
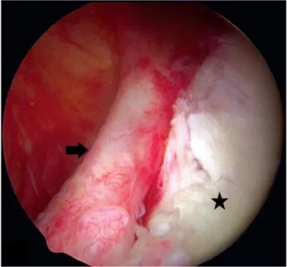
在傷後幾個禮拜後的回診,陳女士提到右肩膀上舉時有比過去無力,且右肩在夜間常有脹痛感,在經過核磁共振及局部診療後,陳女士被診斷為肩關節唇併旋轉肌腱撕裂傷,由於肩部損傷在沒有修補的情況下,復健及藥物治療下進步有限,在骨科醫師的建議下,陳女士接受肩關節鏡手術修補關節唇與旋轉肌,術後三天開始進行被動關節活動,在術後一個月後開始主動式復健訓練,在經過幾個月努力後,陳女士的右肩膀終於恢復到接近左肩的狀況。


肩膀脫臼常發生在各種年齡層,不論是年輕人的運動傷害或是老年人的意外跌倒,如果手撐地時肩膀姿勢不佳,肩膀發生劇痛後動彈不得,極有可能是發生肩膀脫臼。年輕族群的肩脫臼會比較擔心反覆脫臼的後遺症,這是因為肩膀脫臼初期留下的結構性變化,加上後續不當的使用習慣所造成的。
而老年族群的肩脫臼,即使沒有不當的使用習慣,有時也會有脫臼後肩關節失能的狀況,脫臼引發的關節唇傷害、旋轉肌腱受傷甚至是骨折,會讓當事者持續感到肩膀不適甚至無力等症狀,脫臼引發的結構性損壞,如果不加以修補,在保守治療下功能改善有限,因此脫臼後如有持續疼痛、無力等症狀,應至骨科門診進行肩關節結構性評估,以免造成後續肩關節失能的問題。























