在前牙(虎牙到虎牙)美觀區,失去血色,會有牙齒慢慢變色、不好看的問題,病人還比較願意做假牙,保護起來,順便遮醜。
為什麼會變色?請看下文。以下剛好有個矯正病人,所以我有完整的照片病史,剛好可以說明根管治療過的前牙,多久會變色?
答案可能是因人而異。通常四五年後。
這個矯正病人,這四五年都帶著矯正器,遮醜、轉移注意力,等拆了矯正器,才看到真相。




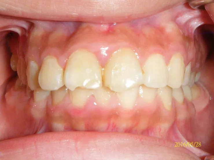
在前牙(虎牙到虎牙)美觀區,失去血色,會有牙齒慢慢變色、不好看的問題,病人還比較願意做假牙,保護起來,順便遮醜。
為什麼會變色?請看下文。以下剛好有個矯正病人,所以我有完整的照片病史,剛好可以說明根管治療過的前牙,多久會變色?
這個矯正病人,這四五年都帶著矯正器,遮醜、轉移注意力,等拆了矯正器,才看到真相。































