牙醫公會不可靠! 大家查 到 有拿到高雄牙醫執造 !只有確定該牙醫 牙醫醫學院畢業! 不代表他是否有學習這項東西! 我就是受害者 !怪我當初很信任第一間的女牙醫! 沒想到此這間牙醫院估購 900 多則好評沒有一項是 貼片 美容瓷呀! 此牙醫院美容交給她 但她的簡歷 都是植牙 的! 沒有貼片 美容的經驗 ! 查 到此女牙醫 在左營 自己先生也是某間牙醫院的院長! 不知她為何 在左營這間 美容由她! 整個就是被當成活試驗品 亂搞 !牙齦肉都萎縮 去北部微創修 要十萬 !!! 去第二間又被騙 要推隱形矯正! 右邊上臉 鼻子 人中 牙齦 被此女牙醫麻醉針 刺傷 一年導致一摸就痠痛 ! 左邊又被第二間仁武牙醫趕著下班 預謀詐騙 牙齒套歪 變成牙有蛀牙痠痛!!! 這些經驗不足 又黑的牙醫 投訴醫療糾紛 牙醫不回應就是沒辦法 !!!!回應 要和解 資料病例錄音是否有沒有被刪除偷改不知! 還要牙醫公會檢查!如果牙醫硬謊說患者牙本來就這樣 還是沒勝算!!! 賠也比你花的錢少 甚至你未來還要再花個三四倍 !要私下另外付錢給律師! 非常不公平
留言
lsel的沙龍
1會員
6內容數
lsel的沙龍的其他內容
2023/05/01
現在很多年輕牙醫 牙醫院裝潢得很高級 很大間 技術真的很差! 鑲牙的技術都要好太多了! 之前左營華@牙醫 搞個臨時假牙半年用不好! 四支牙 做不好 也是暴牙 牙縫還 45 度 不然就側門牙接不 到 犬齒! 要個門牙磨平 像我原本的牙 ! 這樣聽不懂! 每次去 就先來個兩三針麻醉 要我整口

2023/05/01
現在很多年輕牙醫 牙醫院裝潢得很高級 很大間 技術真的很差! 鑲牙的技術都要好太多了! 之前左營華@牙醫 搞個臨時假牙半年用不好! 四支牙 做不好 也是暴牙 牙縫還 45 度 不然就側門牙接不 到 犬齒! 要個門牙磨平 像我原本的牙 ! 這樣聽不懂! 每次去 就先來個兩三針麻醉 要我整口

2023/05/01
從去年九月底在仁武八德路 被這黑心牙醫詐騙 ~搞得非常糟糕! 衛生局醫療糾紛完全沒效! 明明詐欺罪 為什麼消保不 管 要轉給醫療糾紛!!!!! 明顯的詐財! 有網友說我當下馬上報警就好! 因為沒經驗 錯過追訴期 ! 跟你討論好要的牙齒形狀 也對了臨時假牙 ! 機器製造假牙時 醫生

2023/05/01
從去年九月底在仁武八德路 被這黑心牙醫詐騙 ~搞得非常糟糕! 衛生局醫療糾紛完全沒效! 明明詐欺罪 為什麼消保不 管 要轉給醫療糾紛!!!!! 明顯的詐財! 有網友說我當下馬上報警就好! 因為沒經驗 錯過追訴期 ! 跟你討論好要的牙齒形狀 也對了臨時假牙 ! 機器製造假牙時 醫生

2023/03/06
在仁武羔乾 牙 醫 那邊做牙快半年了! 覺得牙醫預謀 詐欺的 ! 做出跟原先討論好的版圖瓷牙 不同形狀 ! (想起來 牙醫去設定機器到開始製造假牙時 根本沒有拿我們討論設計圖的 筆電 進去製造) 不滿意 牙技師建議你再去戴隱適美! 就是強硬逼你只能套上黏死! 回來發現側門牙也形狀不 對 太小

2023/03/06
在仁武羔乾 牙 醫 那邊做牙快半年了! 覺得牙醫預謀 詐欺的 ! 做出跟原先討論好的版圖瓷牙 不同形狀 ! (想起來 牙醫去設定機器到開始製造假牙時 根本沒有拿我們討論設計圖的 筆電 進去製造) 不滿意 牙技師建議你再去戴隱適美! 就是強硬逼你只能套上黏死! 回來發現側門牙也形狀不 對 太小

你可能也想看






















5 月將於臺北表演藝術中心映演的「2026 北藝嚴選」《海妲・蓋柏樂》,由臺灣劇團「晃晃跨幅町」製作,本文將以從舞台符號、聲音與表演調度切入,討論海妲・蓋柏樂在父權社會結構下的困境,並結合榮格心理學與馮.法蘭茲對「阿尼姆斯」與「永恆少年」原型的分析,理解女人何以走向精神性的操控、毀滅與死亡。

5 月將於臺北表演藝術中心映演的「2026 北藝嚴選」《海妲・蓋柏樂》,由臺灣劇團「晃晃跨幅町」製作,本文將以從舞台符號、聲音與表演調度切入,討論海妲・蓋柏樂在父權社會結構下的困境,並結合榮格心理學與馮.法蘭茲對「阿尼姆斯」與「永恆少年」原型的分析,理解女人何以走向精神性的操控、毀滅與死亡。

:雖然還有很多話可以講,但礙於版面不足只好打住。
建議最好要多涉獵基本的看牙知識,就算不理解專業領域的我們至少還能保有「保護自己」的能力。
雖然實際診療方式會依病患個案狀況不同而無法一語涵蓋,但是遇到讓自己覺得不恰當的處理方式時,多詢問、多打聽是必要的(我們得對自己的身體負責)
#騙術無處不在

:雖然還有很多話可以講,但礙於版面不足只好打住。
建議最好要多涉獵基本的看牙知識,就算不理解專業領域的我們至少還能保有「保護自己」的能力。
雖然實際診療方式會依病患個案狀況不同而無法一語涵蓋,但是遇到讓自己覺得不恰當的處理方式時,多詢問、多打聽是必要的(我們得對自己的身體負責)
#騙術無處不在

天生缺牙嘅我決定要去深圳種牙了,之前缺牙食嘢都冇咩問題嘅,就一直冇管佢,但系今年明顯觉得缺牙嗰邊块面好似凹入去好多,朋友也话块面唔對稱!後米我系網上問詢佐一家牙科醫生系點回事?醫生話最大原因嘅系長期缺牙導致嘅,然後畀佐我一D建議,比如種牙,箍牙同埋做假牙咩咩可以修復缺牙位置。答我嘅問題都系好詳細,冇

天生缺牙嘅我決定要去深圳種牙了,之前缺牙食嘢都冇咩問題嘅,就一直冇管佢,但系今年明顯觉得缺牙嗰邊块面好似凹入去好多,朋友也话块面唔對稱!後米我系網上問詢佐一家牙科醫生系點回事?醫生話最大原因嘅系長期缺牙導致嘅,然後畀佐我一D建議,比如種牙,箍牙同埋做假牙咩咩可以修復缺牙位置。答我嘅問題都系好詳細,冇

這是一場修復文化與重建精神的儀式,觀眾不需要完全看懂《遊林驚夢:巧遇Hagay》,但你能感受心與土地團聚的渴望,也不急著在此處釐清或定義什麼,但你的在場感受,就是一條線索,關於如何找著自己的路徑、自己的聲音。

這是一場修復文化與重建精神的儀式,觀眾不需要完全看懂《遊林驚夢:巧遇Hagay》,但你能感受心與土地團聚的渴望,也不急著在此處釐清或定義什麼,但你的在場感受,就是一條線索,關於如何找著自己的路徑、自己的聲音。

植牙手術講求精準及安全性,過程中只要有一點閃失,植體(人工牙根)的尺寸、角度沒選好或是骨質不夠厚,卻沒有進行牙脊增高術;上顎鼻竇破裂缺損沒有修補都有可能引發後續一連串的衍生治療及後遺症。便宜植牙人人愛,但優質有保障的植牙才是治療的王道!

植牙手術講求精準及安全性,過程中只要有一點閃失,植體(人工牙根)的尺寸、角度沒選好或是骨質不夠厚,卻沒有進行牙脊增高術;上顎鼻竇破裂缺損沒有修補都有可能引發後續一連串的衍生治療及後遺症。便宜植牙人人愛,但優質有保障的植牙才是治療的王道!

我的習慣是給一個肉粽頭,文章裡面一堆超連結,再各自依興趣,延伸出去看,我不可能一篇文章就寫進所有觀念,那會太雜太長,尤其現代人被社群媒體影響甚深,大多習慣已養成,有閱讀障礙....

我的習慣是給一個肉粽頭,文章裡面一堆超連結,再各自依興趣,延伸出去看,我不可能一篇文章就寫進所有觀念,那會太雜太長,尤其現代人被社群媒體影響甚深,大多習慣已養成,有閱讀障礙....

背景:從冷門配角到市場主線,算力與電力被重新定價
小P從2008進入股市,每一個時期的投資亮點都不同,記得2009蘋果手機剛上市,當時蘋果只要在媒體上提到哪一間供應鏈,隔天股價就有驚人的表現,當時光學鏡頭非常熱門,因為手機第一次搭上鏡頭可以拍照,也造就傳統相機廠的殞落,如今手機已經全面普及,題

背景:從冷門配角到市場主線,算力與電力被重新定價
小P從2008進入股市,每一個時期的投資亮點都不同,記得2009蘋果手機剛上市,當時蘋果只要在媒體上提到哪一間供應鏈,隔天股價就有驚人的表現,當時光學鏡頭非常熱門,因為手機第一次搭上鏡頭可以拍照,也造就傳統相機廠的殞落,如今手機已經全面普及,題

很多人會好奇假牙材質有差嗎?拆假牙是怎麼回事?拆完的舊牙套還可裝回去使用嗎?
為什麼要先修牙齦或做牙冠增長術,才能做假牙?假牙可以解決一切缺陷嗎?
剛好這位臨床案例,算是大工程,我花了很長一段時間才搞定,正好可以說明這些FAQ。

很多人會好奇假牙材質有差嗎?拆假牙是怎麼回事?拆完的舊牙套還可裝回去使用嗎?
為什麼要先修牙齦或做牙冠增長術,才能做假牙?假牙可以解決一切缺陷嗎?
剛好這位臨床案例,算是大工程,我花了很長一段時間才搞定,正好可以說明這些FAQ。

在仁武羔乾 牙 醫 那邊做牙快半年了! 覺得牙醫預謀 詐欺的 ! 做出跟原先討論好的版圖瓷牙 不同形狀 ! (想起來 牙醫去設定機器到開始製造假牙時 根本沒有拿我們討論設計圖的 筆電 進去製造) 不滿意 牙技師建議你再去戴隱適美! 就是強硬逼你只能套上黏死! 回來發現側門牙也形狀不 對 太小

在仁武羔乾 牙 醫 那邊做牙快半年了! 覺得牙醫預謀 詐欺的 ! 做出跟原先討論好的版圖瓷牙 不同形狀 ! (想起來 牙醫去設定機器到開始製造假牙時 根本沒有拿我們討論設計圖的 筆電 進去製造) 不滿意 牙技師建議你再去戴隱適美! 就是強硬逼你只能套上黏死! 回來發現側門牙也形狀不 對 太小

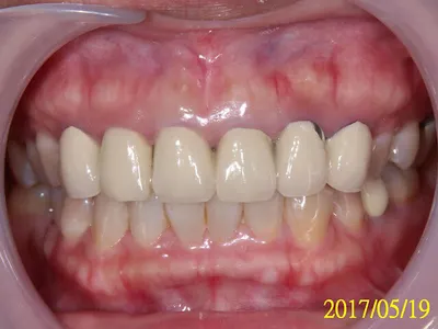
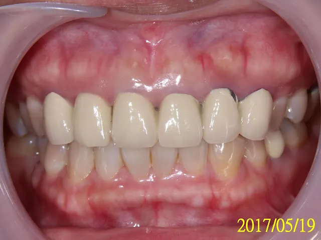
黃小姐在大醫院從事醫療工作為知名醫療人員,有時需上節目,發現前牙區不好看,牙齦發黑、牙齒不美,急於求助於牙醫師希望改善牙齒狀況,以避免損及醫療專業形象。

黃小姐在大醫院從事醫療工作為知名醫療人員,有時需上節目,發現前牙區不好看,牙齦發黑、牙齒不美,急於求助於牙醫師希望改善牙齒狀況,以避免損及醫療專業形象。

本文分析導演巴里・柯斯基(Barrie Kosky)如何運用極簡的舞臺配置,將布萊希特(Bertolt Brecht)的「疏離效果」轉化為視覺奇觀與黑色幽默,探討《三便士歌劇》在當代劇場中的新詮釋,並藉由舞臺、燈光、服裝、音樂等多方面,分析該作如何在保留批判核心的同時,觸及觀眾的觀看位置與人性幽微。

本文分析導演巴里・柯斯基(Barrie Kosky)如何運用極簡的舞臺配置,將布萊希特(Bertolt Brecht)的「疏離效果」轉化為視覺奇觀與黑色幽默,探討《三便士歌劇》在當代劇場中的新詮釋,並藉由舞臺、燈光、服裝、音樂等多方面,分析該作如何在保留批判核心的同時,觸及觀眾的觀看位置與人性幽微。







