
留言
lsel的沙龍
1會員
6內容數
lsel的沙龍的其他內容
2023/05/01
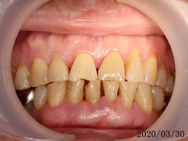
現在很多年輕牙醫 牙醫院裝潢得很高級 很大間 技術真的很差! 鑲牙的技術都要好太多了! 之前左營華@牙醫 搞個臨時假牙半年用不好! 四支牙 做不好 也是暴牙 牙縫還 45 度 不然就側門牙接不 到 犬齒! 要個門牙磨平 像我原本的牙 ! 這樣聽不懂! 每次去 就先來個兩三針麻醉 要我整口

2023/05/01
現在很多年輕牙醫 牙醫院裝潢得很高級 很大間 技術真的很差! 鑲牙的技術都要好太多了! 之前左營華@牙醫 搞個臨時假牙半年用不好! 四支牙 做不好 也是暴牙 牙縫還 45 度 不然就側門牙接不 到 犬齒! 要個門牙磨平 像我原本的牙 ! 這樣聽不懂! 每次去 就先來個兩三針麻醉 要我整口

2023/05/01
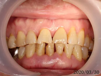
從去年九月底在仁武八德路 被這黑心牙醫詐騙 ~搞得非常糟糕! 衛生局醫療糾紛完全沒效! 明明詐欺罪 為什麼消保不 管 要轉給醫療糾紛!!!!! 明顯的詐財! 有網友說我當下馬上報警就好! 因為沒經驗 錯過追訴期 ! 跟你討論好要的牙齒形狀 也對了臨時假牙 ! 機器製造假牙時 醫生

2023/05/01
從去年九月底在仁武八德路 被這黑心牙醫詐騙 ~搞得非常糟糕! 衛生局醫療糾紛完全沒效! 明明詐欺罪 為什麼消保不 管 要轉給醫療糾紛!!!!! 明顯的詐財! 有網友說我當下馬上報警就好! 因為沒經驗 錯過追訴期 ! 跟你討論好要的牙齒形狀 也對了臨時假牙 ! 機器製造假牙時 醫生

2023/03/06
在仁武羔乾 牙 醫 那邊做牙快半年了! 覺得牙醫預謀 詐欺的 ! 做出跟原先討論好的版圖瓷牙 不同形狀 ! (想起來 牙醫去設定機器到開始製造假牙時 根本沒有拿我們討論設計圖的 筆電 進去製造) 不滿意 牙技師建議你再去戴隱適美! 就是強硬逼你只能套上黏死! 回來發現側門牙也形狀不 對 太小
2023/03/06
在仁武羔乾 牙 醫 那邊做牙快半年了! 覺得牙醫預謀 詐欺的 ! 做出跟原先討論好的版圖瓷牙 不同形狀 ! (想起來 牙醫去設定機器到開始製造假牙時 根本沒有拿我們討論設計圖的 筆電 進去製造) 不滿意 牙技師建議你再去戴隱適美! 就是強硬逼你只能套上黏死! 回來發現側門牙也形狀不 對 太小
你可能也想看














這是一場修復文化與重建精神的儀式,觀眾不需要完全看懂《遊林驚夢:巧遇Hagay》,但你能感受心與土地團聚的渴望,也不急著在此處釐清或定義什麼,但你的在場感受,就是一條線索,關於如何找著自己的路徑、自己的聲音。

這是一場修復文化與重建精神的儀式,觀眾不需要完全看懂《遊林驚夢:巧遇Hagay》,但你能感受心與土地團聚的渴望,也不急著在此處釐清或定義什麼,但你的在場感受,就是一條線索,關於如何找著自己的路徑、自己的聲音。

背景:從冷門配角到市場主線,算力與電力被重新定價
小P從2008進入股市,每一個時期的投資亮點都不同,記得2009蘋果手機剛上市,當時蘋果只要在媒體上提到哪一間供應鏈,隔天股價就有驚人的表現,當時光學鏡頭非常熱門,因為手機第一次搭上鏡頭可以拍照,也造就傳統相機廠的殞落,如今手機已經全面普及,題

背景:從冷門配角到市場主線,算力與電力被重新定價
小P從2008進入股市,每一個時期的投資亮點都不同,記得2009蘋果手機剛上市,當時蘋果只要在媒體上提到哪一間供應鏈,隔天股價就有驚人的表現,當時光學鏡頭非常熱門,因為手機第一次搭上鏡頭可以拍照,也造就傳統相機廠的殞落,如今手機已經全面普及,題

在仁武羔乾 牙 醫 那邊做牙快半年了! 覺得牙醫預謀 詐欺的 ! 做出跟原先討論好的版圖瓷牙 不同形狀 ! (想起來 牙醫去設定機器到開始製造假牙時 根本沒有拿我們討論設計圖的 筆電 進去製造) 不滿意 牙技師建議你再去戴隱適美! 就是強硬逼你只能套上黏死! 回來發現側門牙也形狀不 對 太小

在仁武羔乾 牙 醫 那邊做牙快半年了! 覺得牙醫預謀 詐欺的 ! 做出跟原先討論好的版圖瓷牙 不同形狀 ! (想起來 牙醫去設定機器到開始製造假牙時 根本沒有拿我們討論設計圖的 筆電 進去製造) 不滿意 牙技師建議你再去戴隱適美! 就是強硬逼你只能套上黏死! 回來發現側門牙也形狀不 對 太小

我的習慣是給一個肉粽頭,文章裡面一堆超連結,再各自依興趣,延伸出去看,我不可能一篇文章就寫進所有觀念,那會太雜太長,尤其現代人被社群媒體影響甚深,大多習慣已養成,有閱讀障礙....

我的習慣是給一個肉粽頭,文章裡面一堆超連結,再各自依興趣,延伸出去看,我不可能一篇文章就寫進所有觀念,那會太雜太長,尤其現代人被社群媒體影響甚深,大多習慣已養成,有閱讀障礙....

5 月將於臺北表演藝術中心映演的「2026 北藝嚴選」《海妲・蓋柏樂》,由臺灣劇團「晃晃跨幅町」製作,本文將以從舞台符號、聲音與表演調度切入,討論海妲・蓋柏樂在父權社會結構下的困境,並結合榮格心理學與馮.法蘭茲對「阿尼姆斯」與「永恆少年」原型的分析,理解女人何以走向精神性的操控、毀滅與死亡。

5 月將於臺北表演藝術中心映演的「2026 北藝嚴選」《海妲・蓋柏樂》,由臺灣劇團「晃晃跨幅町」製作,本文將以從舞台符號、聲音與表演調度切入,討論海妲・蓋柏樂在父權社會結構下的困境,並結合榮格心理學與馮.法蘭茲對「阿尼姆斯」與「永恆少年」原型的分析,理解女人何以走向精神性的操控、毀滅與死亡。

本文分析導演巴里・柯斯基(Barrie Kosky)如何運用極簡的舞臺配置,將布萊希特(Bertolt Brecht)的「疏離效果」轉化為視覺奇觀與黑色幽默,探討《三便士歌劇》在當代劇場中的新詮釋,並藉由舞臺、燈光、服裝、音樂等多方面,分析該作如何在保留批判核心的同時,觸及觀眾的觀看位置與人性幽微。

本文分析導演巴里・柯斯基(Barrie Kosky)如何運用極簡的舞臺配置,將布萊希特(Bertolt Brecht)的「疏離效果」轉化為視覺奇觀與黑色幽默,探討《三便士歌劇》在當代劇場中的新詮釋,並藉由舞臺、燈光、服裝、音樂等多方面,分析該作如何在保留批判核心的同時,觸及觀眾的觀看位置與人性幽微。

:雖然還有很多話可以講,但礙於版面不足只好打住。
建議最好要多涉獵基本的看牙知識,就算不理解專業領域的我們至少還能保有「保護自己」的能力。
雖然實際診療方式會依病患個案狀況不同而無法一語涵蓋,但是遇到讓自己覺得不恰當的處理方式時,多詢問、多打聽是必要的(我們得對自己的身體負責)
#騙術無處不在

:雖然還有很多話可以講,但礙於版面不足只好打住。
建議最好要多涉獵基本的看牙知識,就算不理解專業領域的我們至少還能保有「保護自己」的能力。
雖然實際診療方式會依病患個案狀況不同而無法一語涵蓋,但是遇到讓自己覺得不恰當的處理方式時,多詢問、多打聽是必要的(我們得對自己的身體負責)
#騙術無處不在











