
兩顆門牙間的縫隙,又稱為牙間隙 (Diastema)
如果在微笑時會「露出牙縫」,多少都會影響整體外觀;除此之外,東方人的風水相信,要是門牙有縫,還容易「漏財」
當我們或是身邊的家人朋友,遇到門牙有縫的情況時,該怎麼辦?
為什麼會有牙間隙(Diastema)?
在治療門牙縫隙之前,必須先了解成因,才能對症下藥。
門牙縫隙的成因大致有底下五點:
- 唇繫帶過長:延伸至兩顆正中門牙之間,產生縫隙
- 牙周病:牙齒地基流失,嚴重時牙齒會移動
- 多生牙增生:在兩顆正中門牙增生的多生牙 (mesiodens)
- 天生的骨骼與牙齒比例不一致:上顎牙弓發育較大,牙齒之間便可能出現縫隙
- 異常的吞嚥習慣:舌頭不自覺的上推門牙,易讓門牙產生位移
牙間隙(Diastema)有哪些治療方式?
第一步:控制成因按照上述的成因,給予相對應的治療方式
Ex: 切除過長的唇繫帶、進行牙周疾病治療、拔除多生牙、改正異常的習慣等等…..
第二步:關閉牙縫
關閉牙縫的方法大致有三個:
方法1:以樹脂填補關閉牙縫

對縫隙處的牙齒,進行酸蝕、樹酯填補、照光、表面質地拋光,進而達成關閉牙縫,恢復美觀的一種治療方式
適合誰:
門牙縫隙不大,希望快速恢復美觀。
優點:
1.牙齒修磨量少(幾乎不用修磨)
2.療程快速 (一次即可完成)
缺點:
1.技術難度高
2.樹脂有變色、崩落的可能性
方法2:以陶瓷貼片關閉牙縫

蒐集資料後,對整體外觀進行數位微笑設計,評估牙齒重建後的預計樣貌,接著以微創的方式修磨牙齒(薄薄一層約0.5mm),將陶瓷貼片黏著於牙齒表面,重建美觀。
適合誰:
除了關閉門縫,還希望一同改善整體笑容
優點:
1.不只關閉牙縫,還能重新設計整體微笑
2.陶瓷是款耐久抗髒的材料,壽命長,不易變色,
3.療程快速,僅次於樹脂填補(約2~3次即可完成)
缺點:
1.需要修磨牙齒(約0.5~1mm左右)
2.不能用門牙啃食硬物(如螃蟹殼、堅果)
方法3:牙齒矯正
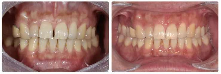
- 案例一:局部矯正+樹脂填補

將兩顆門牙向內靠攏,再利用樹脂填補的改善四顆門牙的外型及比例,同時關閉牙縫。
- 案例二:全口矯正

此案例以全口矯正的方式,重建理想的門牙角度,同時關閉牙縫
適合誰:
牙齒角度不理想,門縫過大,希望進行整體性的牙齒位置調整
優點:
1.唯一能直接調整牙齒角度的治療方式(ex: 改善齒列不整、暴牙、戽斗)
2.能夠和樹脂填補、陶瓷貼片的治療方式結合,重建牙齒比例
缺點:
1.療程時間長,需要回診的次數也較多
2.生活中須配戴矯正器(固定式矯正器 or 隱形矯正器)
關閉牙縫的三種常見方法:

總結
門牙有縫,會影響一個人的整體觀感,還會影響發音、咀嚼等等的功能。 現在的牙科技術,除了可以將牙縫很好的關閉之外,同時間還能重新建立微笑曲線。建議您,在和醫師溝通前,可以先想想自己的治療目標、預算、時間安排等等因素;和醫師溝通後,再次評估考慮不同關閉牙縫的方法,各自的優點以及缺點,選擇最適合您的治療方式。


























