「笨的醜的都給我去打仗!」
在第十六集中,家康的異父弟源三郎因嚮往兄長的功績而自願前往甲斐做人質。但武田軍嚴酷苛刻的訓練將瘦弱的源三郎折磨得不成人形,即使後來家康委託忍者將其救回,他還是因嚴重的凍傷失去部分腳趾。

「他們不是人,是怪物。」源三郎回想起來仍滿是驚恐。
這就是威震天下的武田赤備軍。

武田氏所統領的甲斐地區為現今的山梨縣,是日本少數不與海接壤的內陸縣之一。境內多高山,擁有豐富的山林資源,並憑藉其得天獨厚的氣候生產優質的水蜜桃、葡萄、櫻桃等高級水果。是著名的觀光旅遊勝地。

但16世紀的甲斐居民過得可沒有現在這麼滋潤。
環顧當時武田家的盟友與敵人:位於越後平原的上杉家不僅擁有北陸道最高產的肥沃稻田(新潟越光米),同時也有港口可進行貿易。相模國(今日之神奈川縣)的北條氏則利用其在東海道地區的交通樞紐優勢,將小田原城下町發展為當時關東最大的城市。同時也以其綿長的海岸線發展漁業與海外貿易,賺得盆滿缽滿。
今川氏則更不用說,佔據東海道地區的駿河、遠江、三河三國,全盛時期領地高達百萬石!境內溫暖多日照的氣候使其農業發達,人口繁盛。而轄下之駿河灣的深水優勢更是成為其發展海貿的一大利多(灣區內的清水港至今仍是重要的國際港口)。同時,今川氏的領地(今日之靜岡縣)自鎌倉時代便是連接本州東西部之交通要道,控制這塊地區,便相當於扼住日本交通的咽喉。
連尾張國(今日之愛知縣西部)的織田氏都以津島港為據點,大力支持民間商貿發展,吸引周遭其他領國之居民移入。信長不僅推動「樂市樂座(自由市場制度)」,也積極與外國傳教士及南蠻商人接觸,以大筆資金引進戰國時期昂貴的火繩槍,讓織田軍在仍以冷兵器為主的諸大名間迅速崛起,成為一股不可忽視的新興強權。

看著鄰居們個個兵強馬壯、富得流油,武田家憋屈極了。
武田氏雖然是戰國時代出名的“家裡有礦”,擁有著名的「甲州金山」。但當時戰國大名的主要經濟收益仍來自田賦和貿易稅收,區區黃金雖能收買人心,卻買不到戰爭所需的大批糧食與士兵。另外,甲斐國不靠海,缺少漁業資源與海貿收入。甲府盆地境內更是山巒起伏,可耕地面積稀少貧瘠,稻米產量不豐,使人口難以大幅增加。而在兵農尚未分離的甲斐國,農民除了需要負擔日常農作,還需配合主君要求出門征戰(武田氏與越後上杉家交戰多年)一來二去,農耕時期土地無人耕作,可供養軍隊的糧食勢必減產。而沉重的稅收卻絲毫未減。
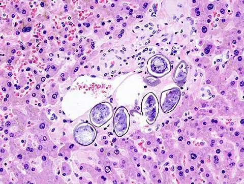
雪上加霜的是,甲斐地區還是著名的「日本血吸蟲病」重災區。這種寄生蟲(Schistosoma japonicum)多存在於耕種稻米的水田中,幼蟲會經由皮膚感染,後寄生於消化系統中,使病人腹部腫脹,最終引起肝衰竭或敗血症致死。

而這種寄生蟲引起的病症因為在甲斐地區格外氾濫,甚至被稱為「地方病」,困擾了當地居民四百多年,到1996年才宣告從山梨縣根除。
在16世紀的日本戰國時代,有這種高死亡率的傳染病,你是要人家如何發展農業與吸引商人前來做生意?
武田家更鬱悶了。
既然老天不給,咱們就自己動手搶。
武田家就此開始了漫長的騷擾鄰居之路。從信玄之父信虎時期開始,武田軍貫徹了「你的就是我的,我的還是我的」此一信條,化身甲斐流氓積極對外擴張,不僅北攻上杉、東擊北條、南侵今川,更是瞄準了鄰近較為繁盛的信濃國(今日之長野縣)與上杉家耗費十數年爭個你死我活。


而武田氏傳至信玄這一代,更是在其積極整飭內政經濟與厲兵秣馬的舉措下,憑藉優秀的軍事和外交手腕,整編出一支兇悍勇武的甲斐軍團,將武田家的領地擴張數倍,證明了窮山惡水不只出刁民,也能出雄兵。

因此,當家康在富庶的駿河做人質時,不僅享有VIP待遇,還能與瀨名牽牽小手、談談戀愛,甚至與繼承人氏真附庸風雅的愉快蹴鞠。而源三郎卻只能和武田軍在冰天雪地間棲身山洞,一邊吃著寒酸寡淡的食物,一邊進行著刻苦艱辛的訓練。
這,便是甲斐士兵的強悍。

面對老謀深算的信玄與威猛善戰的武田軍,家康又該何去何從呢?
在線等,急!





















