前情提要
我的右後第一大臼齒歷經2次根管治療,第1次大約在國中(2007、2008年左右),當時給一位老醫生做根管治療並且做了牙套。
後來到2015年左右牙齒又開始不舒服,一度懷疑是當時的根管可能沒有清理乾淨,但拆開牙套並且觀察幾週後並沒有什麼問題,所以又再重做了一次牙套。2018年初農曆年前,牙齒劇痛到甚至無法咬東西吃飯,於是再回診重新根管治療,經評估後根管大小還算可以,所以沒有採用顯微鏡治療。中間曾有一個禮拜牙根位置腫了很大的牙包,但不確定是因為根管治療刺激到根管下方的組織所致、還是牙根裂開所導致,於是醫生先開了消炎藥,吃了約2~3天牙包就消了,後續折騰了好一陣子到7月左右終於把整個療程走完把牙套再裝上。
2018/12月初
發現疑似牙根位置腫了膿包,只要牙齒一碰到就痛,甚至無法好好吃飯,擔心是牙根真的有裂痕,於是再度就診。
觸診及X光都顯示牙根裂了的機率非常高,而且X光片看到發炎、牙根外吸收的狀況比上一次還要嚴重許多,安排12月底拔牙準備植牙。
2019/01/12
拔牙時間因故延到1月,但仍然很不死心的希望可以不要拔牙,如果勢必得拔也想要看到它真的是非死不可的證據再拔,硬是要求診所再幫我照一次環口X光(CT)(有關CT的介紹文可以點這裡)。
另外一個會希望重照X光的原因是因為曾經遇過很瞎的醫生告訴我說發炎太嚴重、組織太腫的時候X光什麼都看不出來,死馬當活馬醫的狀況之下重照X光說不定有一線希望也說不定。
但非常不幸的照完看起來還是沒有救,依照CT所建立的3D骨骼模型,再拖下去恐怕發炎的後果會造成噬骨細胞將齒槽骨都吃穿,勢必得讓它死一回了(?)。
所幸學長的技術很好,拔起來之後牙體都還很完整,看了一下牙根似乎也沒有裂痕,只不過齒槽骨上長了很多肉芽組織(大概是發炎後身體很努力地想要癒合但沒有成功)。
考量牙齒完整,也許有機會用這顆牙齒再植回去,很迅速地與醫生討論後就決定試試看。
清理完肉芽組織再把牙齒植回原本的牙槽後,因為密合得挺好的,不太有搖晃的狀況,所以也沒有縫合,就這樣離開了治療床。
後續狀況
拔牙再植當天:
可能因為那顆牙齒已經根管過了,所以也沒有到非常痛,麻藥退了之後吃了一顆止痛藥後就去睡了。
拔牙再植後第1天:
雖然說不能激烈運動但還是偷偷跑去打球(但沒有什麼碰撞),發現上籃時腳完全沒力,牙齒則只有混合些微的痠及痛的不適感。
拔牙再植後第2天:
因為拔牙造成的些許滲血,這天沒有什麼不舒服的感覺。因為這天喝了超多飲料,怕右後第二大臼齒以及其他牙齒因為刷牙時得略過第一大臼齒而被疏忽,反而造成蛀牙或其他問題,所以這天開始就有刷牙,只不過第一大臼齒的地方很輕的刷幾下而已。
拔牙再植後第3天:
以為應該沒什麼感覺了,結果這天一直有種很深層、悶悶的痠感,吃了止痛藥也沒有改善,所以可能不是痛的感覺?但讓人一整天因此而過得很煩就是了。
拔牙再植後第4天:
偶爾還是會滲一些血的感覺,其他基本上已經沒有什麼感覺。
2019/01/18
回診追蹤復原情形,雖然沒有再照X光,但初步判斷應該癒合情形還算不錯。下一次回診追蹤是一個月後。
2019/03/01
回診追蹤,也沒有照X光,醫生觸診皆沒有痠痛感,下個月再回診照CT評估骨骼生長狀況。
2019/04/08
回診追蹤,這次照了CT,齒槽骨的生長狀況看起來是蠻好的,原先在X光上面黑色空掉的部分(也就是發炎的組織)經過三個月後在X光片上大部分都已經是霧白色了,甚至有一小部分的白色還滿亮的,代表骨質生長狀況還不錯。仍須持續觀察骨質生長狀況後再評估將牙套戴回去。
另外提一下我的恢復條件應該算不錯,年齡才25歲,規律運動(一週約運動3天,且有重訓習慣),愛喝牛奶及優格等乳製品,感覺就是動態平衡很偏向造骨細胞的身體環境XD
至於拔牙再植後的飲食,大概只有剛拔完牙幾天有多吃牛奶跟優格(因為只用單邊咬固態食物好累啊),之後就沒有特別調整什麼,因為也忘記了XD
2021/01/28
沒想到也有不少人遇到類似的狀況,也很多人問我手術後有沒有什麼狀況,於是在兩年後再更新一下
一切都很好
牙齒偶爾會痠一下(應該是咬到東西後暫時性疲勞的那種痠),但我根本也忘了那顆牙齒曾經被拔起來過XD
後續如果還有什麼狀況希望我會記得來更新
2025/09/16
事隔多年,牙齒約莫從09/07左右開始有微微的痠痛感,起初沒有太明顯的感覺,大約是0.5~1分/滿分10分的痠痛,因此想說跟之前差不多,可能休息幾天就好了,有時候吃東西會痛,但是咬一咬又不痛了(?),所以我還很嘴賤的測試到底是怎樣會痛
結果09/16中午開始痠痛感越來越提升,晚上便先去附近的牙醫診所檢查,診所牙醫師檢查敲擊牙齒時超級痛,看影像認為牙根周邊發炎,只能拆牙套重新根管,但不確定是否有效,考量這顆牙套不是他做的,因此請我去找原先的牙醫師處理,已約診10/04,只能先吃消炎止痛藥到那時候再看狀況了....

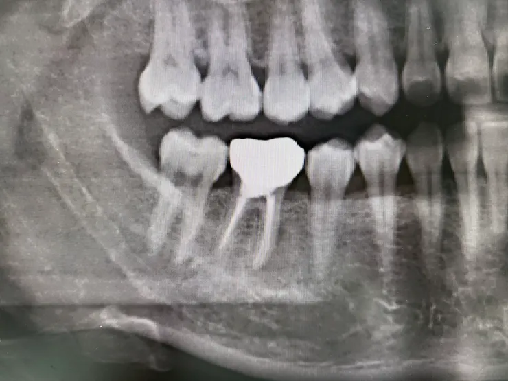
環口X光

單張X光
2025/09/25
又撐了一週多一點的時間,靠消炎藥及止痛藥已經無法壓制劇痛感,因此緊急跑了一趟牙醫,將牙套拆掉、戳破膿包消毒。
牙包消了以後吃了大約一週的消炎藥,就沒有再不適了,並預約12月進行拔牙手術。
2025/12/06
由於單從X光等等間接方式很難確認牙根是否有裂痕,也有可能裂痕在內側,用X光幾乎無法判斷,所以將牙齒拔起來後以顯微鏡確認牙齒狀況是最直接的。
最好的狀況是拔牙後檢查沒有裂痕,牙齒仍可繼續使用,但考量有因為部分根管不容易清除乾淨,因此會進行牙根切除手術,再將牙齒植回去。
手術過程中最壞的打算則是:拔牙過程導致脆裂、牙齒有裂痕等等的情形使得這顆牙齒無法使用,那就只能拔牙進行植牙了。
要能夠留下這顆牙齒的唯一希望也只能拔牙後確認,也只能孤注一擲了!
雖然第二次拔牙,對於麻醉等等前置作業比較不緊張,但是牙齒要離開我的那段過程中也還是很怕它出事,不斷在心中跟牙齒默唸著「我很愛你的,你不要害怕,醫生會把你治好的Q_Q」
如果是要接受這個手術的朋友別太緊張,我在手術前也查了無數網頁讓自己越看越緊張,但後來發現牙根切除手術已經很普遍,醫師們的技術也都很純熟,就放心交給專業的醫師吧:)
很幸運的,牙齒拔起來後牙齒都很完整,除了前側的牙根周邊因發炎有些肉芽組織,但發炎狀況輕微,沒有侵蝕到齒槽骨,因此將牙根切除後這顆牙齒又回到我的嘴裡了。接下來1月底再追蹤恢復狀況。












