
兒童的成長過程不可逆,無法校正回歸。許多事別等到情勢發生後才開始重視,有些時候超前部屬,才能避免花更多的時間及精力來挽救。當面對到兒童牙齒是否需要矯正時,專家提醒,除把握黃金矯正期,若遇到特殊狀況,最好是愈早介入愈好,尤其是在發育成長期的兒童及青少年。
擅長兒童矯正醫學的黃汝萍牙醫師表示,許多家長認為等孩童生長發育穩定後再進行牙齒矯正也不晚,確實!但這往往可能會參雜較多的複雜因子,影響後續矯正的難易度、攏長的時間及不必要花費。因此,若在孩童發展過程中,能適時觀察及提早干預,不僅可幫助改善兒童骨骼發育、建構健康環境,也可避免長大後如需矯正,所面臨到高難度開刀或是延長矯正時間。黃汝萍牙醫師指出,除把握孩童黃金矯正期,當孩童牙齒遇到幾類特殊狀況時,更需掌握最佳時機提前介入治療。

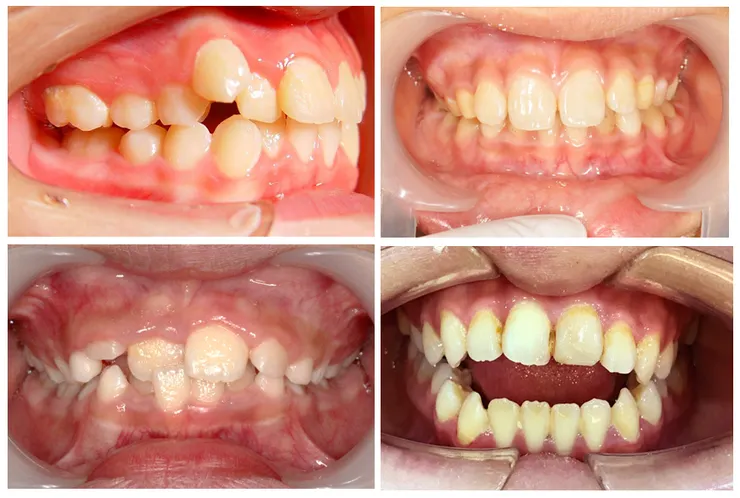
例如孩童是否有明顯暴牙、戽斗、咬合等顎骨的明顯異常外,更多的是(如圖)牙齒擁擠、深咬、錯咬、開咬;當孩童遇上門牙內傾反咬時,尤其需要特別注意,別認為牙齒會靠發育自動校正回歸,因為當牙齒長期內傾反咬下的結果,不僅會增加牙齒磨損、齒質受損變薄,還可能造成咬牙異常搖晃、牙肉萎縮..等傷害。甚至當牙齒長期處於錯咬狀態時,也極可能影響上下顎骨生長,導致上顎骨發育受限,下巴歪斜,顳顎關節生長限制等。

第二情況即是恆牙異位生長,不論是阻生牙、多生牙或是先天性缺牙,也需要特別重視,這是影響齒列整齊、美觀及口腔健康相當重要的關鍵,但此類狀況家長不一定能從肉眼上就直接看得出來,是需要藉由X光輔助,才能窺其生長狀態,因此建議讓孩子每半年定期檢查一次口腔健康。
除了針對「牙齒」的狀態,黃汝萍牙醫師也提醒,家長還需多觀察孩童是否有睡覺打鼾、口呼吸或是不良的口腔習慣,像是吸吮手指、咬指甲..等,這類不良的口腔肌肉習慣及癖好,都是兒童牙齒矯正需提早介入的徵兆,若能提早介入,即有有機會透過自主訓練或配戴功能矯正器,在訓練及矯正肌肉的同時,有利於牙齒的搭配矯正。
專業牙醫師提醒,矯正齒列已不再僅是美觀上的問題,而是連帶影響了全身生理及心理的健康,「早期矯正」也在現今受到高度重視。伴隨著醫學發展的進步,隱形矯正「隱適美」也推出兒童隱適美的專業矯正系統,讓孩童在牙齒矯正上能更直接、更有效率。重要的是,家長除了定時注意孩童的骨骼發展,尋求專業的牙醫師定期階段性看牙,仍是首要的不二法門。
文章來源 https://www.yanadc.com/15994-2/
#台中隱適美 #台中兒童矯正 #台中兒童隱適美

