我推薦的電動牙刷...音波牙刷9 臨床案例2 鄰接面蛀牙的臨床案例故事

黃邦定-avatar-img
發佈於活髓治療 個房間
更新 發佈閱讀 1 分鐘

(2023.11更新)


案例一

案例一

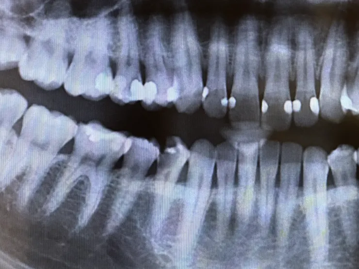
案例二

案例二

案例二

案例二


留言
avatar-img
黃邦定的沙龍
50會員
137內容數
一般傳統矯正,或許是為了美觀、或許是為了做假牙等不同的目的,把硬組織(牙齒)排成我們想要的樣子,但這不一定符合人體自然,因為是外力所致,往往需要維持器等被動矯正期。 功能性矯正,著重在軟組織(舌頭、口腔面部肌肉等等)失調功能的改善,齒列排整齊,反而只是水到渠成的副產品,改善並增進影響一生顏質、健康,才是我們更在乎的。
黃邦定的沙龍的其他內容
2025/04/03
我之前聽趙哲暘醫師的演講,知道壓舌根的重要,但可能場地限制,一直不太明白,直到書上圖解,好清楚...
Thumbnail
2025/04/03
我之前聽趙哲暘醫師的演講,知道壓舌根的重要,但可能場地限制,一直不太明白,直到書上圖解,好清楚...
Thumbnail
2025/03/30
以下內容是我問AI『什麼是序列拔牙?』的總結(順便示範如何問AI醫療專業問題,問到飽),我同時問了Gemini、chatGPT、Claude(免費版、付費版都有),令人驚艷,其中Gemini還會主動引導成生圖片、簡報(方便讓人更容易理解) 我會注意到這點,是因為在法國....
Thumbnail
2025/03/30
以下內容是我問AI『什麼是序列拔牙?』的總結(順便示範如何問AI醫療專業問題,問到飽),我同時問了Gemini、chatGPT、Claude(免費版、付費版都有),令人驚艷,其中Gemini還會主動引導成生圖片、簡報(方便讓人更容易理解) 我會注意到這點,是因為在法國....
Thumbnail
2025/03/18
目前此系列有4篇,這一篇專注在講,序列拔牙serial extraction+畸形中央尖central cusp。 序列拔牙的後果:前面好看了,可後牙長歪,有苦(咀嚼不好、不好吃東西、磨不碎)只有自己知道,當年堅持帶小朋友去拔牙的長輩/家長,不會知道。
Thumbnail
2025/03/18
目前此系列有4篇,這一篇專注在講,序列拔牙serial extraction+畸形中央尖central cusp。 序列拔牙的後果:前面好看了,可後牙長歪,有苦(咀嚼不好、不好吃東西、磨不碎)只有自己知道,當年堅持帶小朋友去拔牙的長輩/家長,不會知道。
Thumbnail
看更多
你可能也想看
Thumbnail
【《為了更方便閱讀,我把這篇的原文,改寫更新,拆成8篇。所以請記得繼續閱讀喔。】 理科太太紅了那麼久,她會紅不是沒有原因的。我會把她的影片放在頭的原因是因為,她完全說出了我為何要推薦音波牙刷的原因...是我找到的有效率的潔牙懶人包。 牙齒照顧是自己的事,不是牙醫的事,牙醫只是提供專業醫療服務
Thumbnail
【《為了更方便閱讀,我把這篇的原文,改寫更新,拆成8篇。所以請記得繼續閱讀喔。】 理科太太紅了那麼久,她會紅不是沒有原因的。我會把她的影片放在頭的原因是因為,她完全說出了我為何要推薦音波牙刷的原因...是我找到的有效率的潔牙懶人包。 牙齒照顧是自己的事,不是牙醫的事,牙醫只是提供專業醫療服務
Thumbnail
本文分析導演巴里・柯斯基(Barrie Kosky)如何運用極簡的舞臺配置,將布萊希特(Bertolt Brecht)的「疏離效果」轉化為視覺奇觀與黑色幽默,探討《三便士歌劇》在當代劇場中的新詮釋,並藉由舞臺、燈光、服裝、音樂等多方面,分析該作如何在保留批判核心的同時,觸及觀眾的觀看位置與人性幽微。
Thumbnail
本文分析導演巴里・柯斯基(Barrie Kosky)如何運用極簡的舞臺配置,將布萊希特(Bertolt Brecht)的「疏離效果」轉化為視覺奇觀與黑色幽默,探討《三便士歌劇》在當代劇場中的新詮釋,並藉由舞臺、燈光、服裝、音樂等多方面,分析該作如何在保留批判核心的同時,觸及觀眾的觀看位置與人性幽微。
Thumbnail
無論是使用電動牙刷還是手動牙刷,都必須配合正確的刷牙方法才能達到有效清潔。
Thumbnail
無論是使用電動牙刷還是手動牙刷,都必須配合正確的刷牙方法才能達到有效清潔。
Thumbnail
【《為了更方便閱讀,我把這篇的原文,改寫更新,拆成8篇。所以請記得繼續閱讀喔。】 這篇有牙菌斑與🐛蟲的影片,是用音波牙刷的理論基礎,建議一定要看,尤其小朋友,看了比較會乖乖刷牙,而不只是在玩水。 牙齒照顧是自己的事,不是牙醫的事,牙醫只是提供專業醫療服務
Thumbnail
【《為了更方便閱讀,我把這篇的原文,改寫更新,拆成8篇。所以請記得繼續閱讀喔。】 這篇有牙菌斑與🐛蟲的影片,是用音波牙刷的理論基礎,建議一定要看,尤其小朋友,看了比較會乖乖刷牙,而不只是在玩水。 牙齒照顧是自己的事,不是牙醫的事,牙醫只是提供專業醫療服務
Thumbnail
這是一場修復文化與重建精神的儀式,觀眾不需要完全看懂《遊林驚夢:巧遇Hagay》,但你能感受心與土地團聚的渴望,也不急著在此處釐清或定義什麼,但你的在場感受,就是一條線索,關於如何找著自己的路徑、自己的聲音。
Thumbnail
這是一場修復文化與重建精神的儀式,觀眾不需要完全看懂《遊林驚夢:巧遇Hagay》,但你能感受心與土地團聚的渴望,也不急著在此處釐清或定義什麼,但你的在場感受,就是一條線索,關於如何找著自己的路徑、自己的聲音。
Thumbnail
當你發現牙齦問題後,考慮是否應該使用電動牙刷?這篇文章提供了益智護聲波電動牙刷的優點和價格。
Thumbnail
當你發現牙齦問題後,考慮是否應該使用電動牙刷?這篇文章提供了益智護聲波電動牙刷的優點和價格。
Thumbnail
背景:從冷門配角到市場主線,算力與電力被重新定價   小P從2008進入股市,每一個時期的投資亮點都不同,記得2009蘋果手機剛上市,當時蘋果只要在媒體上提到哪一間供應鏈,隔天股價就有驚人的表現,當時光學鏡頭非常熱門,因為手機第一次搭上鏡頭可以拍照,也造就傳統相機廠的殞落,如今手機已經全面普及,題
Thumbnail
背景:從冷門配角到市場主線,算力與電力被重新定價   小P從2008進入股市,每一個時期的投資亮點都不同,記得2009蘋果手機剛上市,當時蘋果只要在媒體上提到哪一間供應鏈,隔天股價就有驚人的表現,當時光學鏡頭非常熱門,因為手機第一次搭上鏡頭可以拍照,也造就傳統相機廠的殞落,如今手機已經全面普及,題
Thumbnail
益智護聲波電動牙刷,高CP值、極致美型、極輕!! 採購 | https://bit.ly/3voe7Ys Loading... 打開美型盒子有兩層,上面一層有一個機身與刷頭;另一層有座充,USB頭的、還有一個刷頭;家裡有備一個快充頭,補充電力很快速!! 打開的第一層,與外
Thumbnail
益智護聲波電動牙刷,高CP值、極致美型、極輕!! 採購 | https://bit.ly/3voe7Ys Loading... 打開美型盒子有兩層,上面一層有一個機身與刷頭;另一層有座充,USB頭的、還有一個刷頭;家裡有備一個快充頭,補充電力很快速!! 打開的第一層,與外
Thumbnail
《轉轉生》(Re:INCARNATION)為奈及利亞編舞家庫德斯.奧尼奎庫與 Q 舞團創作的當代舞蹈作品,結合拉各斯街頭節奏、Afrobeat/Afrobeats、以及約魯巴宇宙觀的非線性時間,建構出關於輪迴的「誕生—死亡—重生」儀式結構。本文將從約魯巴哲學概念出發,解析其去殖民的身體政治。
Thumbnail
《轉轉生》(Re:INCARNATION)為奈及利亞編舞家庫德斯.奧尼奎庫與 Q 舞團創作的當代舞蹈作品,結合拉各斯街頭節奏、Afrobeat/Afrobeats、以及約魯巴宇宙觀的非線性時間,建構出關於輪迴的「誕生—死亡—重生」儀式結構。本文將從約魯巴哲學概念出發,解析其去殖民的身體政治。
Thumbnail
【《為了更方便閱讀,我把這篇的原文,改寫更新,拆成8篇。所以請記得繼續閱讀喔。】 張添皓醫師這篇寫得不錯(可惜的是他自己並沒像我這樣有實驗精神,自己花錢買來用....所以放心,我不會寫業配文...他還是用一般牙刷,不過他引經據典的,把像天書的論文整理的白話文可閱讀多了,感謝他。越來越多牙醫師當網紅,
Thumbnail
【《為了更方便閱讀,我把這篇的原文,改寫更新,拆成8篇。所以請記得繼續閱讀喔。】 張添皓醫師這篇寫得不錯(可惜的是他自己並沒像我這樣有實驗精神,自己花錢買來用....所以放心,我不會寫業配文...他還是用一般牙刷,不過他引經據典的,把像天書的論文整理的白話文可閱讀多了,感謝他。越來越多牙醫師當網紅,
Thumbnail
此事說明,並非一定要用某種潔牙神器,音波牙刷只是我找到的最有效的潔牙懶人包,醫病雙方都配合努力,才可能有持久有效的療效。
Thumbnail
此事說明,並非一定要用某種潔牙神器,音波牙刷只是我找到的最有效的潔牙懶人包,醫病雙方都配合努力,才可能有持久有效的療效。
追蹤感興趣的內容從 Google News 追蹤更多 vocus 的最新精選內容追蹤 Google News