(2024.03更新)

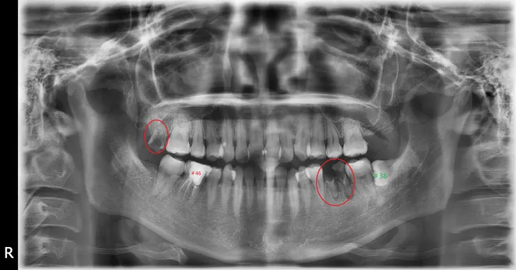
紅圈是非拔不可的牙齒,蛀到剩殘根(R.R.),這部分比較沒有異議。
牙齒殘根為何一定要拔?不拔會怎樣嗎?
我想很多人會有疑問,所以我問了M$的Copilot,AI的回答如下(令人汗顏,整理的真好,所以我直接複製貼上引用):
牙齒殘根是指牙齒只剩下牙根的部分卡在口腔內,幾乎和牙齦齊平,只露出一點點的牙齒。
如果不拔除,可能會有以下的風險:
1. **感染風險**:牙齒殘根可能會引起感染,甚至有可能早就在牙根尖周圍形成囊腫,時不時長膿出來。如果不處理,可能引起根尖周炎,會發展成病灶牙,引起口臭及全身其他疾病,例如蜂窩性組織炎。
2. **影響其他治療**:不管要做植牙,假牙,或矯正的治療都需要把這些殘留的牙根拔掉。
因此,如果牙齒殘根沒有保留價值,無法被利用來做治療,就需盡快拔除。然而,每個人的情況可能會有所不同,所以最好是諮詢您的牙醫,他們可以提供最適合您的建議。
ChatGPT最強對手「Claude」的回答是:
牙齒殘根如果沒有適當處理,可能會導致以下幾種常見問題:
1. 感染風險增加
牙齒殘根周圍的牙齦組織容易積聚食物殘渣和細菌,導致牙龈炎或根尖週圍炎的發生。這些感染不僅會危害鄰近牙齒,也可能通過血液擴散到其他部位。
2. 導致牙齦萎縮
殘根處缺乏牙冠支撐,會使周圍牙齦逐漸萎縮,形成牙齦破口,美觀受損且更易積聚牙菌斑。
3. 影響鄰牙位置
沒有牙冠支撐的殘根,可能造成鄰牙向空隙處傾斜移位,影響咬合關係。
4. 增加其他疾病風險
殘留的感染病灶會影響全身健康,增加心血管疾病、糖尿病等風險。
5. 植牙困難
如果將來想要在此位置種植牙冠,殘根會影響手術操作和種植體的位置角度,需要先行拔除。
因此,醫生通常會建議將殘根拔除,以消除感染源,並為未來修復做好準備。只有在某些特殊情況下,如殘根結構良好並無感染,短期內暫時保留也是可能的。但長期來看,拔除殘根仍是更為徹底和安全的治療方式。
本文的重點我想放在模擬治療計畫,順便說說智齒矯正取代。
未完待續























