
去年懷了兩次,都因為高齡、胚胎異常而流產,做了兩次子宮刮除手術。
今年八月來到「孕醫」,我發現她的子宮腔已經因為刮除手術發生沾黏,不易著床,AMH又低,養卵後,十月安排了取卵,上了麻醉就同時為她做了「子宮鏡」剝離子宮腔沾黏。
胚胎送PGT檢測,有一顆是正常,11月植入了這顆胚胎,九天後第一次抽血HCG數值是59,因為我們的經驗第九天數值超過100會比較理想,之後追蹤她的HCG,即使每兩天翻倍也上升的有些勉強,讓我和準爸媽都很擔心。
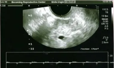
五週半時終於升到了1800,照了超音波似乎子宮內隱約有一個胎囊,不是很樂觀。
今天六週她再回診,超音波終於確認了這個小小胚囊顯示出規律而有力的心跳,大家真是喜出望外😃
這樣的高齡、卵少,宮腔沾黏、唯一PGT正常的胚胎在子宮鏡手術後,第一次試管植入就成功懷孕,真是非常難得和幸運。
這個小寶貝也有些調皮,HCG上升和胎囊長大的速度都有些緩慢,令人焦慮,但是最後還是像土地裡的種子一樣冒出新芽,令人驚喜!
就像我常說的「生命自然會找到出路」
㊗️大家好孕🌹
孕醫㊗️您心想事成!














