今年1/13下午,在收銀櫃台邊收銀結帳,
邊於收銀櫃檯後方處理已接訂單。
以及告知客人黑貓宅配二月份不能指定時間到貨,
詢問是否要更改到貨日期。
(黑貓節慶時都有一段時間無法指定日期宅配!!!)
訂單作業到一半,
電話響起一位先生要預訂禮盒10盒,
1/13晚上就要來取。
一月時逢公司行號春節採購禮盒尖峰期,
現場採買禮盒的客人也漸漸多了起來,
深怕現場禮盒不夠給那位先生,
雖然我還沒處理完其他客人的訂單,
還是急忙先進去倉庫搬禮盒出來留貨。
因為一月人手較不足夠,
加上電話跟訂單比較多,
所以現場作業就比較趕一些,
進去倉庫搬貨出來時,
上方電燈因為剛壞還來不及報修,
後場走道視線偏昏暗,
加上手上拿了十盒禮盒有視線差,
(一盒禮盒寬5.7cm十盒疊起來共57cm,因此有視線差。)
導致踩空整個人連同禮盒跌飛出去,
同時左腳鞋子跟左手戴的手錶也都飛了出去。
起身稍微整理自己,並去廁所檢查傷勢,
有多處的跌擦傷,左腳也因為撞擊太嚴重,
指甲有插入肉裡導致流血,全身都很疼痛。
後來還是趕緊出去外面,
把客人的貨留好,並把手上的單給處理完畢,
才趕快線上掛號醫院骨科就醫。

這篇是1/25的日記,
腳比較消腫了一些,
就去復健科掛了號,
做了固定骨折地方的副木。

去的是大醫院的復健科,
復健科醫師看完後開立了單子,
我就到職能室做副木,
看到裡面都在很多人都在做復健治療,
努力的讓自己回到正常的狀態,
看了心中百感交集,
健康的生活是多麼珍貴啊!
蕩氣迴腸是為了最美的平凡。
職能室的人引導我坐下後,
開始了解我的狀況,
行走跟腳目前的狀態如何。
接著就是幫我量身訂做副木了,
這裡要非常感謝醫師,
都有先幫我說明很清楚,
包含我有聽損的情況,
我有注意到對方都有靠近我優耳說話,
也都特別放慢語氣細心的解說。
製作副木的同時,
因為我去的屬於教學醫院,
也有實習的在一旁觀看,
我也跟大家詳談我受傷的經過,
然後目前的各種狀況等等,
我樂意分享,
我覺得大家能從中得到一些經驗,
去幫助更多人這是非常好的事情。
副木做好後,
我就開始試戴邊調整,
調整了幾次覺得ok了,
就是試走,
試走也沒問題,
就全部完成了。
而我離開時也一一答謝了職能室的人。
坐公車時聽到隔壁母女很可愛的對話,
小女孩問媽媽:爸爸屬馬還是豬?
媽媽回答:爸爸屬馬喔!
小女孩又說:不對不對,爸爸是豬八戒,怎麼會屬馬是屬豬。
然後媽媽失聲狂笑後說道:爸爸是豬八戒,妳就是豬小妹。
Life Is Beautiful
繼續說我的骨折,
骨折受傷後,
心中也很百感交集,
以前常聽到骨折,
實際上自己骨折,
就是,唉......
然後骨折後,公司的人資跟我起爭執,
對我回歸職場的日子也有疑慮,
導致彼此溝通不是很順利。
骨折了,行走跟站立都是痛啊!
恢復程度沒預期好......
我也很鬱悶啊!
也很想快點恢復行走啊!
整天在家裡療傷,
也沒有很開心好嗎......
當初去看醫院,
醫師說撞到東西!?被砸到!?被壓到!?
我全部搖頭。
我說就純粹跌倒跌飛出去,
醫師說那跌倒的力道一定超級大,
30歲多歲而言骨頭還非常的硬,
跌倒要跌到斷裂,那衝擊非常大。
唉!我也是千百個不願意。
當然撞擊力道大,
骨折是最嚴重的部分,
全身也是受了不少傷。

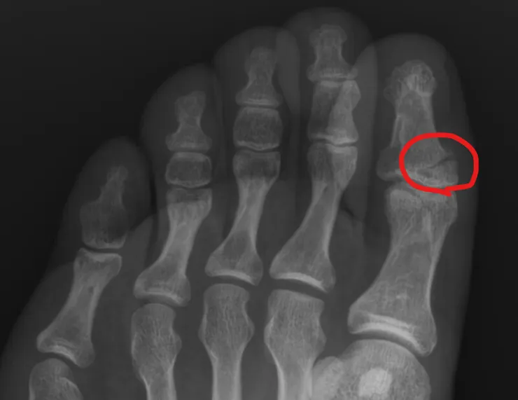
前腳拇指骨折,
或許有人會以為是小骨折吧!?
但其實我覺得算很嚴重,
因為站立跟行走,
都是要用腳支撐全身的重量,
加上生活日常中其實碰撞之類的狀況,
比想像中多還多。
外出除了道路上的起伏外,
還很怕很多狀況發生,
光是搭個捷運就心驚膽跳了,
大家應該明白我在說甚麼,
那個擁擠跟碰撞實在可怕。

另外,台灣的路受傷後才發現高低起伏其實很大,
紅綠燈的秒數對於腳受傷不方便的人而言,
其實是很短的,
急促的通過都差點跌倒。
來附個傷照。



後來骨科、復健科持續回診,
預計二月初骨折會比較密合,
可以回歸職場做些比較不粗重、負重的工作,
戴上護具開始練習走路,
結果右腳跟左腳膝蓋痛到爆站不太穩,
加上護具因為骨折的地方消腫了一點比較鬆脫,
就回診順便開復建的診斷證明。
在復健來說因為骨折,改變了走路的方式,
這叫作『代償』,也就是身體原本比較常用的部分,
用其它部分去取代這樣的功能,造成的反應。
另外,骨折的地方就算沒觸碰到,
近一年會因為氣溫的變化,
導致忽然疼痛也是正常的。
這真的讓我深深感受到,
人啊!真的要好好照顧自己,
畢竟人不是機器,
哪裡壞了換個零件就好,
壞了很有可能就是壞了,
或是沒有原本那麼好。
自從單側聽損之後,
我一直都深深體會到健康才是最重要的。
後來因為腳傷影響,
加上跟總公司有些爭議,
慢慢產生一些隔閡,
身心都受到影響,
我還去掛了身心科看醫師。
就決定辭職好好靜養!!!
主要是想把身體調養好再說,
腳傷還是會導致疼痛,
溫度變化大或是久站一天後,
腳還是會痛。
選在這個時間點離開公司,
一方面是中秋節檔期了,
那個身體負荷量很大。
我自己評估下來,
再度受傷的機率非常之高,
加上身體狀況沒有很好,
就決定在這個時間點辭去工作。
有人問我疫情之下工作難找,
為何要那麼衝動呢!?
我這樣說好了,
我一耳聽不到不是先天的,
我的聽損是後天發生的,
就是因為工作漠視掉自己的健康,
才導致了現在這樣的情況。
後來開始我發現,
工作認真歸認真,
但是健康還是要顧好的,
沒有好的健康都是假的,
就像前面說的!!!
機器壞了可以維修,有可能可以全好,
但人不是機器,壞了就是壞了,就是沒有之前好了。
我自己的心態是,
把握現在擁有的讓它更好,
去審視自己所沒有的,
不是要感嘆,
而是用其他方式來互補,
只要活著就沒有人是完美的,
或多或少都有缺陷或缺點,
正因為如此,
人生路就是一趟完成自己的旅程。
感受是自己在感受的,
生活是自己在過的,
自己的人生該如何,就該自己決定。
最後來分享一篇我網路看到得好文。
但出處已不可考,
如有人知道出處我再補上。
弟子問老師:
「您能談談人類的奇怪之處嗎?」
老師答道:
「他們急於成長,
然後又哀嘆失去的童年;
他們以健康換取金錢,
不久後又想用金錢恢復健康。
他們對未來焦慮不已,
卻又無視現在的幸福。
因此,他們既不活在當下,也不活在未來。
他們活著仿佛從來不會死亡;
臨死前,又仿佛從未活過……」





















