要用科學方法來回答這個問題,還真是不太容易,最大的難關是必須找到「志願者」。

研究方法是受試者以「面對面、女性在上、坐姿」、「面對面、男性在上、女性下方墊枕頭」、「面對面、男性在上、女性下方沒有墊枕頭」、「面對面、兩人皆坐姿」、「女性跪姿、後方進入」五種體位,各進行十分鐘的性交,十分鐘一到不管「進度」如何一律停止。性交前、後各對女方陰蒂做一次都卜勒超音波,量測性交前後陰蒂的血液流量變化。

結果如下:「面對面」的四種都優於看不到臉的「女性跪姿、後方進入」,除了心理因素外,「腰的用力方向跟重力相同」,可以增加接觸時的刺激(等等這血流量該不會是因為被「打腫」的吧)。四種面對面體位中,又以「面對面、男性在上、女性下方墊枕頭」效果最佳。
這個研究發表在2022/07/05 的「Sexologies」(性學)期刊。
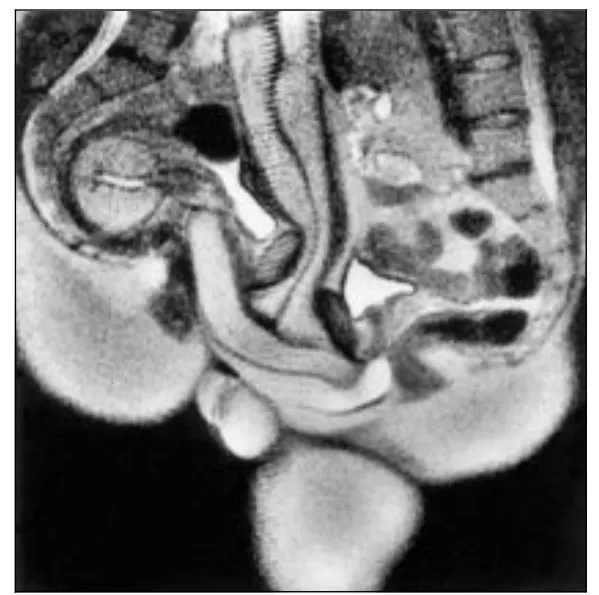
其實過去我們也聊過類似的研究,1999年荷蘭科學家把情侶塞進MRI裡面性交,然後中途喊卡,叫他們停止動作來取影像,發現男性器官並非直直進入,而是中間有個120度角的彎折,證明了「大丈夫能屈能伸」這句話。這個發現讓他們榮獲2000年的搞笑諾貝爾獎。
不過這種研究還真不容易,樣本數難找,條件控制也不容易…

- 超中二物理宅雜記
- 話都給我說就好 其之333
New York Post新聞(2022/07/06):https://nypost.com/2022/07/06/science-nails-the-sex-best-position-for-the-female-orgasm/
Sexologies論文(預定2022/09出版):https://www.sciencedirect.com/science/article/abs/pii/S1158136022000548























