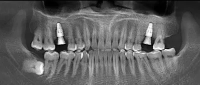
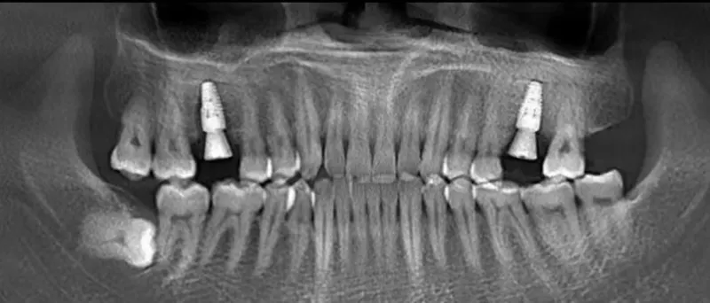
沒有經沒有美容貼片經歷 美白瓷牙 ! 看著現在 這個好賺! 植牙的! 也來給我推銷 相信她惡夢~被當人體活是贗品~當初看診已經跟牙醫院說有甲狀腺結 X光還照百張~~~~~半年來每周去就被精神折磨 一去就先打兩三針麻醉 之後滿口上針照X光三四張以上~臨時假牙都做不好! 原本只要貼片門牙 她說會暴牙要我做假牙 側門牙本來就後縮 可以不磨牙直接貼片 也騙我都要住到神經要做假牙!!!!!結果門牙該磨小不磨小 側門牙不該磨 磨成米粒 搞成牙齦萎縮 很醜(去覆蓋要花十萬) 麻醉針刺傷~一年多了現在摸人中 上排牙齦都是痠麻感覺! 把我要當成她的試驗品 也沒打算做成我要的樣子! 你要找廣告你拿你裡面的人! 門牙一大一小 去別間 人家說燒掉一點牙肉就可 現在沒有人再做一大一小 要她請同事用一下 ! 沒想到他們牙醫院是個人業績的 !就說不能! 她的省美觀是老鼠牙齒! 臨時假牙老是用不好牙齒一高 一低 歪斜! 拿去給老鑲牙 師傅 十幾分就磨好 !她 半年搞不好! 還折磨人! 後來她說正試 要暴出來 又牙齦狂流血 取消繼續! 回去拿多餘的錢 ! 還當我們白癡!寫了切結書 把錯推到我們身上! 上面寫的很離譜!我們要求特別白 !離譜 櫃台小姐搞不清就算了 !你當初給我推銷的也搞不清楚再做什麼!誰會把牙用壞花十幾萬座一顆假牙!這是美容不是蛀牙!想賺這筆也不知這是什麼!太可笑了!院長說她有做過假牙很美!結果都是蛀牙 舊換新 意外掉牙!!!!沒有美容整排貼片 瓷呀! 左營華夏路 華@ 大樹藥局對面
留言
lsel的沙龍
1會員
6內容數
lsel的沙龍的其他內容
2023/05/01
現在很多年輕牙醫 牙醫院裝潢得很高級 很大間 技術真的很差! 鑲牙的技術都要好太多了! 之前左營華@牙醫 搞個臨時假牙半年用不好! 四支牙 做不好 也是暴牙 牙縫還 45 度 不然就側門牙接不 到 犬齒! 要個門牙磨平 像我原本的牙 ! 這樣聽不懂! 每次去 就先來個兩三針麻醉 要我整口

2023/05/01
現在很多年輕牙醫 牙醫院裝潢得很高級 很大間 技術真的很差! 鑲牙的技術都要好太多了! 之前左營華@牙醫 搞個臨時假牙半年用不好! 四支牙 做不好 也是暴牙 牙縫還 45 度 不然就側門牙接不 到 犬齒! 要個門牙磨平 像我原本的牙 ! 這樣聽不懂! 每次去 就先來個兩三針麻醉 要我整口

2023/05/01
從去年九月底在仁武八德路 被這黑心牙醫詐騙 ~搞得非常糟糕! 衛生局醫療糾紛完全沒效! 明明詐欺罪 為什麼消保不 管 要轉給醫療糾紛!!!!! 明顯的詐財! 有網友說我當下馬上報警就好! 因為沒經驗 錯過追訴期 ! 跟你討論好要的牙齒形狀 也對了臨時假牙 ! 機器製造假牙時 醫生

2023/05/01
從去年九月底在仁武八德路 被這黑心牙醫詐騙 ~搞得非常糟糕! 衛生局醫療糾紛完全沒效! 明明詐欺罪 為什麼消保不 管 要轉給醫療糾紛!!!!! 明顯的詐財! 有網友說我當下馬上報警就好! 因為沒經驗 錯過追訴期 ! 跟你討論好要的牙齒形狀 也對了臨時假牙 ! 機器製造假牙時 醫生

2023/03/06
在仁武羔乾 牙 醫 那邊做牙快半年了! 覺得牙醫預謀 詐欺的 ! 做出跟原先討論好的版圖瓷牙 不同形狀 ! (想起來 牙醫去設定機器到開始製造假牙時 根本沒有拿我們討論設計圖的 筆電 進去製造) 不滿意 牙技師建議你再去戴隱適美! 就是強硬逼你只能套上黏死! 回來發現側門牙也形狀不 對 太小
2023/03/06
在仁武羔乾 牙 醫 那邊做牙快半年了! 覺得牙醫預謀 詐欺的 ! 做出跟原先討論好的版圖瓷牙 不同形狀 ! (想起來 牙醫去設定機器到開始製造假牙時 根本沒有拿我們討論設計圖的 筆電 進去製造) 不滿意 牙技師建議你再去戴隱適美! 就是強硬逼你只能套上黏死! 回來發現側門牙也形狀不 對 太小
你可能也想看






















之前我牙齒痛嘅時候會自己搵消炎葯食,唸著忍下就會自己好返,但係好黑仔啊,食硬嘢嘅時牙齒脫咗,開始仲以為等得閑去補返就得喇。冇想到去鏡湖醫院拍牙片後,醫生話已經冇辦法保留牙根,要做種植牙。我問咗下價錢,最平係20000 mop,真係好貴!唸著上Google search下有冇平d嘅醫院,啱好睇到珠

之前我牙齒痛嘅時候會自己搵消炎葯食,唸著忍下就會自己好返,但係好黑仔啊,食硬嘢嘅時牙齒脫咗,開始仲以為等得閑去補返就得喇。冇想到去鏡湖醫院拍牙片後,醫生話已經冇辦法保留牙根,要做種植牙。我問咗下價錢,最平係20000 mop,真係好貴!唸著上Google search下有冇平d嘅醫院,啱好睇到珠

網路有在賣牙齒美白產品哩~
大年初五,一大早起床,訊息滿滿。
有一則訊息已起我很大大大大大的注意。
『張醫師,過年領了紅包,想說過完年來去牙齒美白,不知張醫師有什麼建議呢?』
『過年的時候,我去逛百貨公司,有櫃位在做牙齒美白哩,而且價格不貴,不知張醫師覺得如何呢?』

網路有在賣牙齒美白產品哩~
大年初五,一大早起床,訊息滿滿。
有一則訊息已起我很大大大大大的注意。
『張醫師,過年領了紅包,想說過完年來去牙齒美白,不知張醫師有什麼建議呢?』
『過年的時候,我去逛百貨公司,有櫃位在做牙齒美白哩,而且價格不貴,不知張醫師覺得如何呢?』

這是一場修復文化與重建精神的儀式,觀眾不需要完全看懂《遊林驚夢:巧遇Hagay》,但你能感受心與土地團聚的渴望,也不急著在此處釐清或定義什麼,但你的在場感受,就是一條線索,關於如何找著自己的路徑、自己的聲音。

這是一場修復文化與重建精神的儀式,觀眾不需要完全看懂《遊林驚夢:巧遇Hagay》,但你能感受心與土地團聚的渴望,也不急著在此處釐清或定義什麼,但你的在場感受,就是一條線索,關於如何找著自己的路徑、自己的聲音。

在仁武羔乾 牙 醫 那邊做牙快半年了! 覺得牙醫預謀 詐欺的 ! 做出跟原先討論好的版圖瓷牙 不同形狀 ! (想起來 牙醫去設定機器到開始製造假牙時 根本沒有拿我們討論設計圖的 筆電 進去製造) 不滿意 牙技師建議你再去戴隱適美! 就是強硬逼你只能套上黏死! 回來發現側門牙也形狀不 對 太小

在仁武羔乾 牙 醫 那邊做牙快半年了! 覺得牙醫預謀 詐欺的 ! 做出跟原先討論好的版圖瓷牙 不同形狀 ! (想起來 牙醫去設定機器到開始製造假牙時 根本沒有拿我們討論設計圖的 筆電 進去製造) 不滿意 牙技師建議你再去戴隱適美! 就是強硬逼你只能套上黏死! 回來發現側門牙也形狀不 對 太小

5 月將於臺北表演藝術中心映演的「2026 北藝嚴選」《海妲・蓋柏樂》,由臺灣劇團「晃晃跨幅町」製作,本文將以從舞台符號、聲音與表演調度切入,討論海妲・蓋柏樂在父權社會結構下的困境,並結合榮格心理學與馮.法蘭茲對「阿尼姆斯」與「永恆少年」原型的分析,理解女人何以走向精神性的操控、毀滅與死亡。

5 月將於臺北表演藝術中心映演的「2026 北藝嚴選」《海妲・蓋柏樂》,由臺灣劇團「晃晃跨幅町」製作,本文將以從舞台符號、聲音與表演調度切入,討論海妲・蓋柏樂在父權社會結構下的困境,並結合榮格心理學與馮.法蘭茲對「阿尼姆斯」與「永恆少年」原型的分析,理解女人何以走向精神性的操控、毀滅與死亡。

江小姐因為下牙前牙區缺牙,講話時洞口明顯,前一陣子參加國中同學會被老同學笑,除了下牙區缺牙之外,上牙區的牙齒也卡了許多汙垢,甚至有蛀牙發黑的情形,同學發現後開始針對牙齒議題展開熱烈討論,大家一直勸江小姐要趕快治療,因為缺牙這種問題久了會連帶導致周圍牙齒越壞越多顆。後來同學介紹她到禾睿牙醫....

江小姐因為下牙前牙區缺牙,講話時洞口明顯,前一陣子參加國中同學會被老同學笑,除了下牙區缺牙之外,上牙區的牙齒也卡了許多汙垢,甚至有蛀牙發黑的情形,同學發現後開始針對牙齒議題展開熱烈討論,大家一直勸江小姐要趕快治療,因為缺牙這種問題久了會連帶導致周圍牙齒越壞越多顆。後來同學介紹她到禾睿牙醫....

《轉轉生》(Re:INCARNATION)為奈及利亞編舞家庫德斯.奧尼奎庫與 Q 舞團創作的當代舞蹈作品,結合拉各斯街頭節奏、Afrobeat/Afrobeats、以及約魯巴宇宙觀的非線性時間,建構出關於輪迴的「誕生—死亡—重生」儀式結構。本文將從約魯巴哲學概念出發,解析其去殖民的身體政治。

《轉轉生》(Re:INCARNATION)為奈及利亞編舞家庫德斯.奧尼奎庫與 Q 舞團創作的當代舞蹈作品,結合拉各斯街頭節奏、Afrobeat/Afrobeats、以及約魯巴宇宙觀的非線性時間,建構出關於輪迴的「誕生—死亡—重生」儀式結構。本文將從約魯巴哲學概念出發,解析其去殖民的身體政治。

我的習慣是給一個肉粽頭,文章裡面一堆超連結,再各自依興趣,延伸出去看,我不可能一篇文章就寫進所有觀念,那會太雜太長,尤其現代人被社群媒體影響甚深,大多習慣已養成,有閱讀障礙....

我的習慣是給一個肉粽頭,文章裡面一堆超連結,再各自依興趣,延伸出去看,我不可能一篇文章就寫進所有觀念,那會太雜太長,尤其現代人被社群媒體影響甚深,大多習慣已養成,有閱讀障礙....

黃小姐在大醫院從事醫療工作為知名醫療人員,有時需上節目,發現前牙區不好看,牙齦發黑、牙齒不美,急於求助於牙醫師希望改善牙齒狀況,以避免損及醫療專業形象。

黃小姐在大醫院從事醫療工作為知名醫療人員,有時需上節目,發現前牙區不好看,牙齦發黑、牙齒不美,急於求助於牙醫師希望改善牙齒狀況,以避免損及醫療專業形象。

因為看牙的不良經驗S小姐長期不敢到牙科就診,就算門牙鬆動、掉牙也不敢就醫。直到某天聽到同事在說某某講話嘴巴都臭臭的….才驚覺原來自己的牙齒的問題已經影響到自己的社交了…

因為看牙的不良經驗S小姐長期不敢到牙科就診,就算門牙鬆動、掉牙也不敢就醫。直到某天聽到同事在說某某講話嘴巴都臭臭的….才驚覺原來自己的牙齒的問題已經影響到自己的社交了…

在AI浪潮下,009819 中信美國數據中心及電力ETF 直接卡位算力與電力雙主軸,等於掌握AI最核心基建。2008從 Apple Inc. 與 iPhone 帶動供應鏈,到如今AI崛起,主線已由應用端轉向底層。AI發展離不開算力與電力支撐,009819的價值,在於押中「沒有它不行」的核心資產。

在AI浪潮下,009819 中信美國數據中心及電力ETF 直接卡位算力與電力雙主軸,等於掌握AI最核心基建。2008從 Apple Inc. 與 iPhone 帶動供應鏈,到如今AI崛起,主線已由應用端轉向底層。AI發展離不開算力與電力支撐,009819的價值,在於押中「沒有它不行」的核心資產。







