孕期就是連續不斷地打怪過程,17、18週做完了羊膜穿刺,接下來就是22週的高層次超音波檢查。
由於懷孕之初的檢查是在法國,回到台灣還沒確定要在哪家醫院、與哪個醫生進行之後的產檢,於是這個階段幾項重要的檢查,都靠著網路搜尋預約最合適的診所,這種猶如調雞尾酒般的產檢過程,成了我回台灣之初產檢的經歷。高層次超音波檢查英文是「Anomaly Scan or ultrasound level II」,經常簡稱為「level II」,顧名思義就是利用更「高層次」、更「精確」的超音波,對腹中胎兒進行外貌與各項器官的詳盡檢查,一般而言是在孕期20至24週間進行,因為這時期的胎兒大小剛好、羊水適中、器官結構發展幾乎完整,倘若胎兒有任何發展或器官異狀,都能藉由這次的超音波檢查發現,用以擬定未來出生後的治療方針。因此雖然在台灣屬於自費檢查項目,一般孕婦都樂意自費進行這項檢查,而挑選一家設備完整、具有能精確判讀超音波結果的醫師,成了我選擇進行高層次超音波診所的標準,於是,我來到了台北中山北路上的台兒診所。

台兒診所的高層次超音波在網路上非常有名,就像做羊膜穿刺要找柯刺王柯滄銘,高層次超音波也是一面倒地推薦台兒,因此要到台兒做檢查,也得提早預約。

懷孕22週的我,當天一早來到了台兒診所,台兒診所七樓的接待大廳非常明亮寬敞,報到之後下樓來到四樓的看診區等候看診,四樓的診間並排在走道兩側,溫暖的配色與明亮的燈光,讓孕婦能在舒適的環境下進行檢查。


一進到診間,我的目光立即被天花板上的大投影螢幕所吸引,比起醫院內的小螢幕,果然清晰許多。
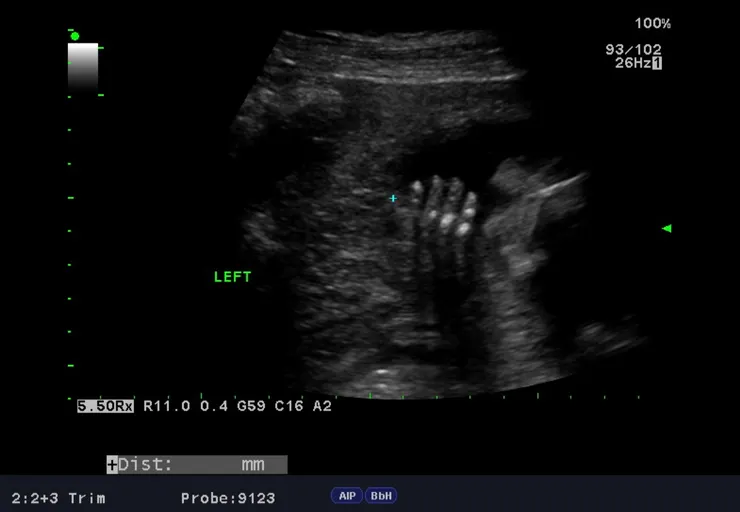
台兒的檢查並不是直接由醫師進行,是由放射師先針對外貌與所有器官進行第一輪初步的掃描,當時放射師照了照肚子裡的寶寶,正要進行著名的「數手指、數腳趾」程序時,寶寶很配合地張開了左手,讓我們數到了五根左手指,但右手卻一直緊握著,遲遲不肯張開,我喝了幾口特別準備的珍珠奶茶,放射師壓壓我的肚子,試圖讓寶寶活動起來,只見睡得香甜的寶寶,一點也不受外界干擾,放射師最後只好放棄,希望下一輪醫師掃描時,寶寶能熱情地張開雙手,完成手腳數數程序。
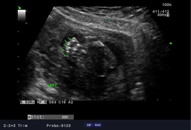
接著台兒的林薇醫師接手,又重複地進行第二輪掃描,細心的林醫師對我講解著螢幕上顯示的各個器官與狀態,當她照到寶寶的心臟時,特別仔細地檢查各個心室心房的大小以及血流的方向。
我看著螢幕上顯示的心臟,猶如教科書上繪製的兩個心房與兩個心室,搭配著血液流入與流出不同方向顯示不同的顏色,這是我第一回看到真實人類的心臟與血流,而且這顆心臟還是屬於一個正在長大的胎兒!我想到懷孕六週時,第一次聽到這顆心臟強而有力跳動的聲音,生命的起源正來自於此,讓人又是一股感動。
在台兒待了將近三個小時的時間,報告結果出爐,一切正常沒有特殊的異狀!
孕期又跨越了一道關卡,寶寶,接下來就等著你慢慢長大了!
































