Plant anatomy----The leaf structures comparison of Eudicot & Monocot plants
Hiiiii there! It's Sci-Boy here, welcome to the "Plant anatomy" episode!
今天我們要切的是植物的葉子,透過顯微鏡觀察不同植物物種的葉構造,來比較雙子葉(Eudicot)、以及演化上較新類群的單子葉(Monocot)植物葉橫切(Cross Section)構造之比較。實作材料(Tools):
- 信德解剖用具(七件套,信德儀器官網)
- FlyDear雙面刮鬍刀(刀片鋒利請務必小心使用,蝦皮購物)
- 滴管(一隻,蝦皮購物)
- 裝水容器(一個碗的大小即可)
- 光學顯微鏡(便宜的單鏡筒,PChome)
- 載玻片 & 蓋玻片(PChome,德記儀器)
- 植物葉片樣本:青楓(雙子葉)、花旗木(雙子葉)、虎尾蘭(單子葉)、開運竹(單子葉)。
注意事項(Attention):
- 雙面刀片鋒利程度堪比手術刀,輕輕一劃即可將A4紙切半,因此不建議單獨讓孩童操作。
- 所有儀器使用前均需詳閱使用說明。
解剖步驟(Steps):
- 清點器材。
- 打開蓋玻片盒,放置在一旁。同時拿出數個(依欲觀察之物種數量而定)載玻片整齊排列。
- 裝半碗水放在一側(以慣用手方便為主),小心不要打翻。
- 拿出一個未拆封的雙面刀片,小心對折將其斷成兩個刀片再拆封取之,重疊在一起以慣用手拿著。
- 將葉片橫放,先以刀片將葉子寬度切成合適大小(小於蓋玻片的大小)。
- 再來,將兩重疊刀片垂直、橫著葉子按下去,每次起來都將刀片浸在水裡晃動一下,好讓組織落到水裡。
- 或者,也可以只拿一片刀片,非慣用手拿著葉子,刀片橫著葉子的切口輕輕劃動,切出的組織就在水裡把它輕晃出來。不管如何,切出的組織越薄越好!
- 用鑷子夾取滿意的組織,將其放在載玻片中心,並以滴管吸取碗中的水,滴在組織上。
- 以鑷子夾著蓋玻片,斜斜的一側先碰到水,再慢慢蓋在組織上,這樣就比較不會卡氣泡了,而這也算是我在中山生物人才培訓中學到的小技巧。
- 然後就放到顯微鏡中觀察,調整焦距及倍率,使組織成像清晰,並仔細觀察紀錄(建議用手機拍照,順便測試一下自己的手巧不巧。只不過這當然是要練啦~~~)。
- 製作下一個植物組織的玻片樣本,也可以擦一擦原本的載玻片和蓋玻片然後繼續用(建議使用拭鏡紙擦拭,推薦KIMTECH的Kimwipes,蝦皮購物)。
- 收拾器材。玻片需確實擦乾後再放回去盒子,雖然我們是在家做,但在某些類型的實驗室就是整組直接丟棄了。
實作結果(Results):
Eudicot(雙子葉植物)
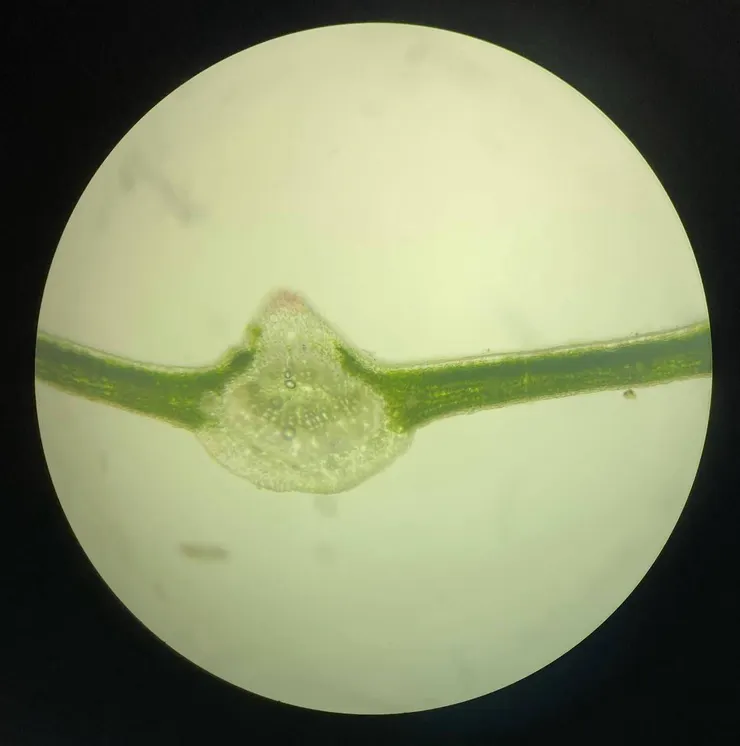
- 葉脈與上表皮之間有富含花青素(Anthocyanidin,通常是花青素)的厚角組織(Collenchyma),而根據農業部的資訊,花青素通常在酸性環境下會轉為紅色。

Cross Section of leaf of Acer oliverianum var. nakaharai (100x)
花旗木(Cassia bakeriana)

Cross Section of leaf of Cassia bakeriana (400x)
Monocot(單子葉植物)
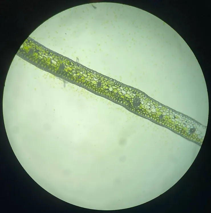
虎尾蘭(Dracaena trifasciata)

Cross Section of leaf of Dracaena trifasciata (40x)
開運竹(Dracaena sanderiana)

Cross Section of leaf of Dracaena sanderiana (100x)
如果您喜歡本篇文章,記得按讚、訂閱+分享!!!
對了,別忘了追蹤我的其他社群媒體喔!
Best,
Your support is my motivation!






















