🙋前一篇文章讓我們判斷怎麼樣才是腎臟來源的尿蛋白,但我們確定是腎性蛋白尿後, 還需要做什麼檢查?
🔺我們需要詳細病史與檢查才能抽絲撥繭找出原因
➡️病史上:藥物的接觸(例如:類固醇,磺胺類藥物,腫瘤標靶藥物tyrosine kinase inhibitor, 尿失禁藥物phenylpropanolamine 等), 傳染性疾病(心絲蟲,艾利希體, 鉤端螺旋體以及焦蟲等)貓的話則需要排除白血與愛滋病等
➡️完整的理學檢查與完整的血檢,血壓測量
➡️影像學檢查包含全腹腔超音波與胸腔xray 檢查
➡️如果有合併系統系的高血壓更需要考慮腎臟外內分泌疾病的可能性如腎上腺亢進, 甲狀腺亢進等等。
➡️如果出現低白蛋白需要排除其他會造成低白蛋白的問題如腸胃道與肝臟等問題。
➡️最後:腎臟生檢(renal biopsy)

腎臟生檢
🔸完整的腎臟生檢包含:組織並理學檢查, 電子顯微鏡檢查與免疫螢光抗體染色等(immunofluorecnet antibody-IFA)。
🔸目前在北美 可以送去德州農工大學 (international veterinary renal pathology service at Texas A&M )歐洲也有獸醫腎臟病理的組織(European veterinary renal pathology service)

德州農工大學國際腎臟病理診斷中心
👍腎臟生檢建議在
✅UPC>3.5
✅對於一般尿蛋白治療沒有反應
✅需要考慮免疫用藥者
✅還未出現末期腎臟病
✅可以安全麻醉者
👎腎臟生檢不建議在
❎已經到慢性腎病第三末期至第四期者, 因為此時腎❎臟已經出現了許多結構性的變化, 採樣也比較沒有意義。
❎嚴重氮血症
❎凝血狀態有問題
❎還未控制的高血壓病患
❎有嚴重水腎, 水囊腎
❎在五天內有使用非類固醇消炎藥物與抗凝血藥物者
❎嚴重貧血
❎不適合麻醉的動物
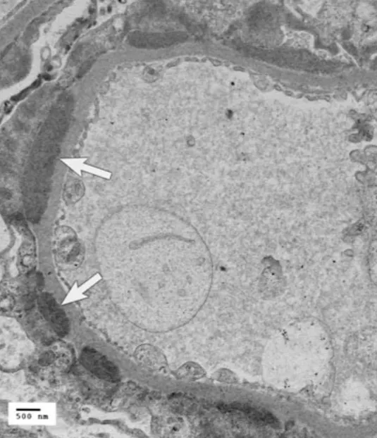
🔺如何確診免疫絲球體腎病
🔹腎臟生檢下在顯微鏡下看到絲球體受到傷害
🔹電子顯微鏡下:看到免疫複合體的沉積
🔹免疫螢光顯微鏡:看到免疫複合體的沉積

穿透式電子顯微鏡

免疫螢光染色
🙋尿蛋白的數值怎樣才算異常?一般腎性蛋白尿又需要如何治療?
👩⚕️
➡️在狗如果是在0.2-0.5的範圍內則需要密切觀察,UPC>0.5 就需要進一步診斷蛋白尿的來源,與開始介入治療
✅如果持續發現有蛋白尿就要介入治療
✅考慮腎臟處方飲食
✅給予血管張力素阻斷劑:angiotensin receptor blocker (ARB)
✅如果蛋白尿控制不佳考慮合併 血管收縮素轉化酶抑制劑 (ACEI),
🔺合併兩種藥物使用需要小心監測腎臟指數

腎素-血管張力素-醛固酮系統(renin-angiotensin-aldosterone system, RAAS)與其抑制劑
✅考慮使用抗凝血藥物如clopidogrel等
✅考慮腎臟生檢
🔺好的治療效果
✅血液中肌酸酐creatinine穩定, 並且尿蛋白降低與血中白蛋白回升
✅有些原發絲球體腎病的動物無法讓尿蛋白<0.5 則會將目標改成至少降低尿蛋白到原本數值一半的標準。
✅除非原本造成尿蛋白的原因被解決,不然需要持續吃藥控制。
🔺在仍有脫水或是低血容狀態的動物,不建議使用ARB或是 ACEI等藥物,因為絲球體過濾率會急速的下降。
➡️在貓如果是在0.2-0.4的範圍內則需要密切觀察,UPC>0.4就需要進一步診斷蛋白尿的來源
✅如果持續發現有蛋白尿就需要介入治療
✅考慮使用腎臟處方飲食
✅考慮使用腎素血管張力素醛固酮系統RAAS 抑制劑( ACEI or ARB)
✅考慮腎臟生檢
✅其他治療原則跟狗相似
🙋有沒有什麼其他飲食上可以幫助的治療?
👩⚕️ 其他飲食上的治療
➡️多元不飽和脂肪酸的補充(dietary polyunsaturated fatty acids)
✅建議可以給予降低omega 6: omega 3 比例的食物 , 建議多元不飽和脂肪酸比例:omega-6: omega-3 = 5:1的比例
✅如果飼主想要補充omega3 (包含EPA與DHA) 可以使用250-500mg/kg
➡️飲食上蛋白質的補充:限制蛋白質量的給予,給予良好品質的蛋白質。
➡️控制鹽分的攝取:降低鹽分的攝取可以增加控制血壓並且幫助對於RAAS系統的控制。
🙋開始一般尿蛋白藥物治療後需要監控什麼指數嗎?
👩⚕️使用尿蛋白控制藥物(RAAS系統抑制劑)後, 需要監控尿蛋白,尿檢,血壓,血中白蛋白,肌酸酐,血中鉀離子濃度(禁食後的參數)

蛋白尿治療藥物之ㄧ,Telmisartan 是一種血管緊張素II受體拮抗劑
➡️因為吃藥後會稍微下降絲球體過濾率,所以有可能會造成腎指數的上升,需要根據不同期數的腎臟病,制定調整藥物與回診的方針!
➡️也需要避免鉀離子的上升,如果病患的鉀離子超過6mmol/L需要被更密集的監控并且需要監控心電圖,如果超過6.5mmol/L則建議需要調整治療的劑量。
➡️也需要避免出現低血壓的狀況
☝️因為吃尿蛋白藥物因為個體狀況不同有可能出現上述不良反應,所以不建議飼主自己買一整罐藥物來當作腎臟保養品使用,需要在醫生的監控下使用!
🙋可以在還沒確診免疫絲球體腎病前可以直接開始治療嗎?
👩⚕️在沒有經過腎臟生檢確診為免疫絲球體腎病前,不建議給予免疫抑制劑治療腎性尿蛋白
➡️但沒有腎臟生檢的狗,如果肌酸酐已經>3 mg/dL或是氮血症持續惡化且出現低蛋白血症(白蛋白<2g/dL), 並且在一般尿蛋白治療沒有良好反應時, 可以考慮嘗試性使用免疫抑制劑。
➡️因為在沒有確診前的嘗試使用, 存在著風險, 所以在給予前需要與飼主充分溝通,并且需要密切的監控動物的治療反應。
🙋若確診免疫絲球體腎病後,大概會使用什麼藥物治療?
👩⚕️
➡️急性嚴重病患或是有其他免疫問題如免疫性關節炎或是免疫性溶血的病患可以考慮使用類固醇治療, 但需要使用最低有效劑量, 為了減低類固醇的副作用
➡️目前不建議使用類固醇作為免疫絲球體腎病的單一治療藥物, 建議合併使用其他免疫藥物,並且把類固醇劑量降到最低或是可以停掉類固醇的使用。
➡️mycophenolate 是目前最常在此疾病被使用的藥物。其他如chlormbucil, cyclophosphamide,cyclosporin 也可以作為使用的考量。
🙋要怎麼評估免疫治療的效果?
👩⚕️目標是降低UPC至<0.5
➡️如果無法達到則以降低UPC至原本的一半以下為目標
➡️治療反應良好也會看到血中腎指數(肌酸酐)的降低與白蛋白的上升
➡️在沒有明顯副作用下,可以觀察8-12週, 來決定是否需要增加劑量或是合併藥物使用, 如果在使用三到四個月後仍沒有良好反應, 則建議停止免疫抑制劑的治療。
➡️如果有良好反應或是部分反應者,則建議免疫抑制劑的治療需要持續三到四個月,開始減量,並且觀察尿蛋白,腎臟指數以及臨床反應的變化。
reference:
• Brown, S. et al. (2013) ‘Consensus recommendations for standard therapy of glomerular disease in dogs’, Journal of Veterinary Internal Medicine, 27(s1). doi:10.1111/jvim.12230.
• Iris kidney - guidelines - iris treatment recommendations (no date a) IRIS Kidney - Guidelines - IRIS Treatment Recommendations. Available at: http://www.iris-kidney.com/guidelines/recommendations.html
• Littman, M.P. et al. (2013) ‘Consensus recommendations for the diagnostic investigation of dogs with suspected glomerular disease’, Journal of Veterinary Internal Medicine, 27(s1). doi:10.1111/jvim.12223.
• Pressler, B. et al. (2013) ‘Consensus guidelines for immunosuppressive treatment of dogs with glomerular disease absent a pathologic diagnosis’, Journal of Veterinary Internal Medicine, 27(s1). doi:10.1111/jvim.12222.
• Segev, G. et al. (2013) ‘Consensus recommendations for immunosuppressive treatment of dogs with glomerular disease based on established pathology’, Journal of Veterinary Internal Medicine, 27(s1). doi:10.1111/jvim.12228.
• Klein , S. (2023) ‘Diagnostic Approach to Proteinuria’, Vin Medical FAQs, 12 May.







.jpg)














