一、沐沐與chatGPT聯合開發🐊「皇宮正中鱷」記憶故事
想像一座 口腔皇宮👑
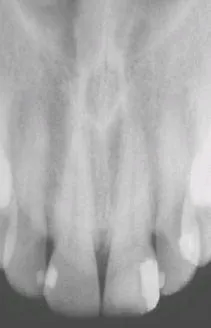
皇宮的 正中央屋頂(硬腭中線)
突然躺著一隻 身體對稱的大鱷魚
🐊鱷魚的位置→ 硬腭中線、腭乳頭後方
因為牠太重:🏯 皇宮屋頂鼓起來→ 堅實或波動性腫脹
住在皇宮的是:🧑🎓 年輕的皇子→ 患者多為年輕成人
這隻鱷魚旁邊
🚫 沒有水管→ 無神經血管束
🚫 沒有小水井→ 無小唾液腺
🚫 沒有骨頭裝飾→ 無透明軟骨
最後御醫:把鱷魚切掉✂️之後:幾乎不會再長
→ 治療以手術切除為主,幾乎不會復發

二、原文書原汁原味呈現
正中腭囊腫為一種罕見之裂隙性囊腫(fissural cyst),理論上源自上顎兩側腭板於胚胎期融合線中被包埋之上皮。然而,此病灶與鼻腭管囊腫(median palatal cysts)常難以區分。事實上,多數所謂「正中腭囊腫」可能為後方位置之鼻腭管囊腫。鼻腭管(nasopalatine ducts)自門齒管(incisive canal)向後上方延伸至鼻腔,因正中腭囊腫此若囊腫起源於靠近鼻腔之後方殘餘上皮,可能誤診為正中腭囊腫。反之,若真正的正中腭囊腫向前發展,也可能被誤認為鼻腭管囊腫。
臨床與放射線特徵CLINICAL AND RADIOGRAPHIC FEATURES
位置:位於硬腭中線、腭乳頭(palatine papilla)後方
表現:堅實或波動性腫脹(firm or fluctuant swelling)好發年齡:年輕成人
症狀:多無症狀,部分患者出現疼痛或腭部擴張
鑑別診斷標準(Gingell 等)
• 病灶位於硬腭中線 呈對稱外觀
• 位於腭乳頭(palatine papilla)後方
• 放射線 呈卵圓或圓形
• 不與失活性牙(nonvital tooth)密切相關
• 不與 門齒管(incisive canal)相通
• 囊壁 無 大型神經血管束、透明軟骨或小唾液腺
•必須強調的是,真正的正中腭囊腫應表現為臨床腭部擴張。
若僅有midline radiolucency但無臨床腭部擴張,較可能為鼻腭管囊腫。

組織病理HISTOPATHOLOGIC FEATURES
多為 複層鱗狀上皮襯裡(lined by stratified squamous epithelium),
部分病例報告可見 偽複層柱狀纖毛上皮(pseudostratified columnar epithelium)。
囊壁可能存在慢性發炎。
治療與預後
手術切除,幾乎不會復發。
三、來看看歷屆牙醫師國考題吧
c【108-2-1】關於正中腭囊腫(median palatal cyst)的敘述,下列何者錯誤?
(A)臨床上呈現為一個位於硬腭中線、腭乳頭(palatine papilla)後方,具有波動性的腫脹(fluctuant swelling)
(B)患者主要為年輕成人
(C)鏡檢下,在囊腫壁中可見神經血管束(neurovascular bundle)、透明軟骨(hyaline cartilage)及小唾液腺 (minor salivary gland)等結構
(D)治療以手術切除為主,幾乎不會復發
c【99-1-27】下列何者為非 齒源性囊腫?
(A)含牙囊腫(dentigerous cyst) (B)始基囊腫(primordial cyst)
(C)中腭囊腫(median palatal cyst) (D)側位牙周囊腫(lateral periodontal cyst)

























