扁平足大家一定都聽過這個名詞,也就是說足弓的部分塌陷下來了,導致久站之後的不適感隨之增加,不過!你知道還有一個原因也會產生著腫疼痛感嗎。本篇的主題就是...
附生舟狀骨( Accessory Navicular Bone )
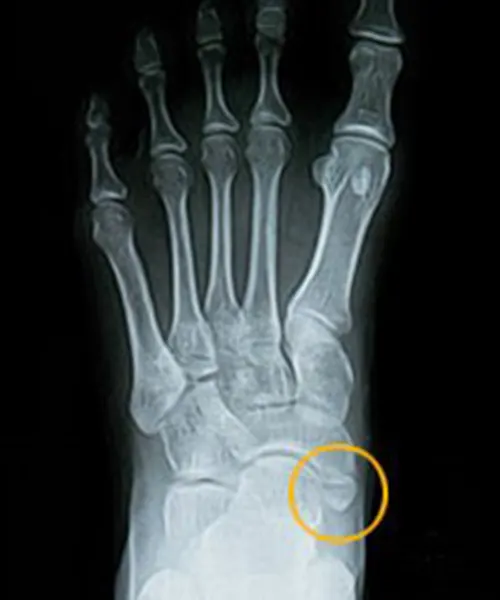
跗骨
應該很多人都沒聽過的個詞彙吧,其實並不難,白話一點就是腳掌(除了蹠骨)範圍內的骨頭群,那妳們都知道相對部位的名稱嗎,不知道的來練習一下,知道的當複習,可以先猜完再往下看解答
- A : 跟骨
- B : 距骨
- C : 骰骨( 骰子骨 )
- D : 舟狀骨
- E、F、G : 楔狀骨( 楔 3、楔 2、楔 1 )
附生舟狀骨
也稱副舟狀骨,意思就是第二顆舟狀骨,是因為軟骨在骨化過程中,沒有跟附近的骨骼結構黏合成一塊正常骨頭,反而分離為一塊獨立硬骨的現象並且黏在舟狀骨旁邊,它是一種先天的骨髂發育異常,研究有說到約兩成的人會有這種情形,又可分為三類
- 第 1 型 : 小副生骨( 30% )
- 第 2 型 : 大副生骨( 60% )
- 第 3 型 : 接近融合( 10% )
*第 2 型最常疼痛,並形成假性關節,常常骨頭摩擦而造成發炎

附舟狀骨症候群的影響
在大部分情況下,副舟狀骨不會造成人們困擾及任何症狀,但少數人因為副舟狀骨結構不穩定,會造成發炎、疼痛的症狀
然而副舟狀骨症候群可能造成脛後肌肌腱失能,加上脛後肌腱連結在副舟狀骨上,因此當長時間走路、運動時會反覆摩擦導致疼痛不適
若再加上是扭傷腳的患者可能會非常嚴重且受傷的部位更不易癒合,而且可能在復健期間會反復發炎腫痛,非常難纏,因此受傷後恢復就會很慢
判斷
如果有患者跟你抱怨他腳底板很痛的話,不要直接就下判斷是足底筋膜炎,足底筋膜炎跟附生舟狀骨最大的差別就差在疼痛位置不一樣
- 足底筋膜炎位置是在第一趾骨遠端與足跟脂肪墊
- 附生舟狀骨位置是在內縱足弓的中間
*當然都有意外,但在沒有其他因素干擾得情況下可以這樣去評估
門診通常會進行X光評估,檢查副舟狀骨與舟狀骨是否有相連,必要時使用電腦斷層(CT)或是磁振造影(MRI)
處置與治療方式
保守處裡
急性發炎疼痛的狀況下,建議局部冰敷,並盡量休息,來緩解疼痛及消腫。並配合醫師開立口服消炎止痛藥;或是一般物理治療,如熱敷電療,但復原時間較久
若是狀況效果不佳,或是疼痛嚴重,建議使用超音波引導 PRP 或增生藥劑 去直接給予修復,加強軟組織增生,再利用體外震波的特性重覆震盪的原理促進軟組織加快生長
最後配合冷雷射加快修復能力,可促進局部組織的重啟修復和局部纖維強化,如果又同時有扁平足的情況,可以訂製鞋墊去減少肌腱與韌帶的拉扯及壓力
開放處理
非不得已才要開刀,因為其實附生舟狀骨上還是有連接一些肌腱,那如果貿然挖除或磨掉的話,可能會造成脛肌力低下,撐不住足弓,形成"醫原性扁平足"
如果確定要進行手術的話,記得要找一位有生物力學概念的醫師在進行手術,要做到除了把副舟狀骨拿掉之外,還要利用縫合或鋼釘固定後脛肌,確認肌腱的附著點與舟狀骨結合為一體
術後還要以石膏固定至少 6 周,或者穿著足弓墊以減輕後脛肌負擔,整個治療才算完整。而這通常會用在很需要跑動、久站或常走動的民眾及運動員
訓練
手術之後我們可以從幾點去下手訓練
- 脛前肌 : 剛剛有說到,手術過程可能會去除肌鍵,等同於保持或加強肌肉力量
- 本體感覺 : 再怎麼樣至少都要一兩天才能正常走路,所以新的構造必須適應
- 足弓底肌 : 加強足底肌群的肌力,減少扁平足帶來的壓力及拉扯
我的看法
仔細去看看周圍的朋友有沒有類似情況(不要直接拿別人的腳),試著問問他是真的扁平足,還是也是因為多一塊骨頭才這樣,但不管如何都一定要去詢問專業的醫師並治療
























