假牙材質12臨床案例...假牙很耐用?兼談鑲牙生的歷史共業

更新 發佈閱讀 1 分鐘

(2021.12更新)


vocus|新世代的創作平台


vocus|新世代的創作平台



鑲牙生(招牌是大牙齒圖示,不會寫牙科診所)

留言
avatar-img
黃邦定的沙龍
50會員
137內容數
一般傳統矯正,或許是為了美觀、或許是為了做假牙等不同的目的,把硬組織(牙齒)排成我們想要的樣子,但這不一定符合人體自然,因為是外力所致,往往需要維持器等被動矯正期。 功能性矯正,著重在軟組織(舌頭、口腔面部肌肉等等)失調功能的改善,齒列排整齊,反而只是水到渠成的副產品,改善並增進影響一生顏質、健康,才是我們更在乎的。
黃邦定的沙龍的其他內容
2024/10/15
學弟真的太有才了,我從來沒想過牙科日常用的陶瓷材料,可以拿來當辱華的例子(約在影片05:00前處),真是高級酸(台大人的優秀傳統,被罵的人都還不一定知道自己被針對了),雙關語,很隱諱,要腦筋轉幾個彎,才知道。 真是寓教於樂的衛教影片啊!專業的完整說明牙齒的一生....
Thumbnail
2024/10/15
學弟真的太有才了,我從來沒想過牙科日常用的陶瓷材料,可以拿來當辱華的例子(約在影片05:00前處),真是高級酸(台大人的優秀傳統,被罵的人都還不一定知道自己被針對了),雙關語,很隱諱,要腦筋轉幾個彎,才知道。 真是寓教於樂的衛教影片啊!專業的完整說明牙齒的一生....
Thumbnail
2024/05/07
這是我第一次嘗試用AI來翻譯專業影片並上字幕,用的是Maestra AI,真令人驚艷,如此簡單、快速、低成本... 有AI輔助的未來,人類可以去做其他更有意義的事。來寫一些我一直想寫但沒時間說的事 為什麼要做活髓治療?儘量保留牙髓神經的健康活性? 傳統牙科主流治療的侷限性,剛好可在這影片裡看到。
2024/05/07
這是我第一次嘗試用AI來翻譯專業影片並上字幕,用的是Maestra AI,真令人驚艷,如此簡單、快速、低成本... 有AI輔助的未來,人類可以去做其他更有意義的事。來寫一些我一直想寫但沒時間說的事 為什麼要做活髓治療?儘量保留牙髓神經的健康活性? 傳統牙科主流治療的侷限性,剛好可在這影片裡看到。
2024/03/07
我忘了這位病人後來是否有來做後續的治療,我猜應該是沒有,因為我沒印象。但我那時都已經幫他精心劃好治療計畫的圖(方便他理解龐大的工程,對,這就像預售屋之類的藍圖)。 就不浪費了,剛拿來紙上談兵,模擬計畫,what if一下。
Thumbnail
2024/03/07
我忘了這位病人後來是否有來做後續的治療,我猜應該是沒有,因為我沒印象。但我那時都已經幫他精心劃好治療計畫的圖(方便他理解龐大的工程,對,這就像預售屋之類的藍圖)。 就不浪費了,剛拿來紙上談兵,模擬計畫,what if一下。
Thumbnail
看更多
你可能也想看
Thumbnail
我傳給您的X光片是可以下載收藏的(後詳)。 X光片很多人不會看環口x光片,我慢慢選適當的範例。 剛好老中青三代,看得出時間的流逝所造成的複利效果,很多人聽不太懂我在臨床上常講的預告是甚麼意思,這就是。 
Thumbnail
我傳給您的X光片是可以下載收藏的(後詳)。 X光片很多人不會看環口x光片,我慢慢選適當的範例。 剛好老中青三代,看得出時間的流逝所造成的複利效果,很多人聽不太懂我在臨床上常講的預告是甚麼意思,這就是。 
Thumbnail
說明『根管治療後,不做牙套,是多麼的危險,會導致前功盡棄(保留牙齒廢物利用,不要拔牙)』,何況他還要先做『牙冠增長術』....所以,為了幫智齒擦屁股、收拾爛攤子,您看事後要付出多大的代價....他後來當然就自動消失啦,去找願意幫他便宜處理的所謂良心牙醫啦,只不過,撐不到一年,他就又回來找我啦....
Thumbnail
說明『根管治療後,不做牙套,是多麼的危險,會導致前功盡棄(保留牙齒廢物利用,不要拔牙)』,何況他還要先做『牙冠增長術』....所以,為了幫智齒擦屁股、收拾爛攤子,您看事後要付出多大的代價....他後來當然就自動消失啦,去找願意幫他便宜處理的所謂良心牙醫啦,只不過,撐不到一年,他就又回來找我啦....
Thumbnail
今天剛好有個小空檔,在眾多dead line前的壓力下,順手作了一張圖。​ ​ 純粹己覺得,配色還頗有科技感 .. 內文的影片主要是: 1. 下顎第一大臼齒。 2. 近心牙根,垂直牙根縱裂。 3. 中斷有牙根吸收。 ▰▰▰▰▰▰​ 【牙裂、牙根裂、裂齒、牙根吸收的3D數位根管影像】​
Thumbnail
今天剛好有個小空檔,在眾多dead line前的壓力下,順手作了一張圖。​ ​ 純粹己覺得,配色還頗有科技感 .. 內文的影片主要是: 1. 下顎第一大臼齒。 2. 近心牙根,垂直牙根縱裂。 3. 中斷有牙根吸收。 ▰▰▰▰▰▰​ 【牙裂、牙根裂、裂齒、牙根吸收的3D數位根管影像】​
Thumbnail
文章裡,一堆延伸閱讀超連結,記得看,不要只看本文,應該夠解惑了,謝謝
Thumbnail
文章裡,一堆延伸閱讀超連結,記得看,不要只看本文,應該夠解惑了,謝謝
Thumbnail
本文分析導演巴里・柯斯基(Barrie Kosky)如何運用極簡的舞臺配置,將布萊希特(Bertolt Brecht)的「疏離效果」轉化為視覺奇觀與黑色幽默,探討《三便士歌劇》在當代劇場中的新詮釋,並藉由舞臺、燈光、服裝、音樂等多方面,分析該作如何在保留批判核心的同時,觸及觀眾的觀看位置與人性幽微。
Thumbnail
本文分析導演巴里・柯斯基(Barrie Kosky)如何運用極簡的舞臺配置,將布萊希特(Bertolt Brecht)的「疏離效果」轉化為視覺奇觀與黑色幽默,探討《三便士歌劇》在當代劇場中的新詮釋,並藉由舞臺、燈光、服裝、音樂等多方面,分析該作如何在保留批判核心的同時,觸及觀眾的觀看位置與人性幽微。
Thumbnail
《轉轉生》(Re:INCARNATION)為奈及利亞編舞家庫德斯.奧尼奎庫與 Q 舞團創作的當代舞蹈作品,結合拉各斯街頭節奏、Afrobeat/Afrobeats、以及約魯巴宇宙觀的非線性時間,建構出關於輪迴的「誕生—死亡—重生」儀式結構。本文將從約魯巴哲學概念出發,解析其去殖民的身體政治。
Thumbnail
《轉轉生》(Re:INCARNATION)為奈及利亞編舞家庫德斯.奧尼奎庫與 Q 舞團創作的當代舞蹈作品,結合拉各斯街頭節奏、Afrobeat/Afrobeats、以及約魯巴宇宙觀的非線性時間,建構出關於輪迴的「誕生—死亡—重生」儀式結構。本文將從約魯巴哲學概念出發,解析其去殖民的身體政治。
Thumbnail
背景:從冷門配角到市場主線,算力與電力被重新定價   小P從2008進入股市,每一個時期的投資亮點都不同,記得2009蘋果手機剛上市,當時蘋果只要在媒體上提到哪一間供應鏈,隔天股價就有驚人的表現,當時光學鏡頭非常熱門,因為手機第一次搭上鏡頭可以拍照,也造就傳統相機廠的殞落,如今手機已經全面普及,題
Thumbnail
背景:從冷門配角到市場主線,算力與電力被重新定價   小P從2008進入股市,每一個時期的投資亮點都不同,記得2009蘋果手機剛上市,當時蘋果只要在媒體上提到哪一間供應鏈,隔天股價就有驚人的表現,當時光學鏡頭非常熱門,因為手機第一次搭上鏡頭可以拍照,也造就傳統相機廠的殞落,如今手機已經全面普及,題
Thumbnail
我的習慣是給一個肉粽頭,文章裡面一堆超連結,再各自依興趣,延伸出去看,我不可能一篇文章就寫進所有觀念,那會太雜太長,尤其現代人被社群媒體影響甚深,大多習慣已養成,有閱讀障礙....
Thumbnail
我的習慣是給一個肉粽頭,文章裡面一堆超連結,再各自依興趣,延伸出去看,我不可能一篇文章就寫進所有觀念,那會太雜太長,尤其現代人被社群媒體影響甚深,大多習慣已養成,有閱讀障礙....
Thumbnail
這是一場修復文化與重建精神的儀式,觀眾不需要完全看懂《遊林驚夢:巧遇Hagay》,但你能感受心與土地團聚的渴望,也不急著在此處釐清或定義什麼,但你的在場感受,就是一條線索,關於如何找著自己的路徑、自己的聲音。
Thumbnail
這是一場修復文化與重建精神的儀式,觀眾不需要完全看懂《遊林驚夢:巧遇Hagay》,但你能感受心與土地團聚的渴望,也不急著在此處釐清或定義什麼,但你的在場感受,就是一條線索,關於如何找著自己的路徑、自己的聲音。
Thumbnail
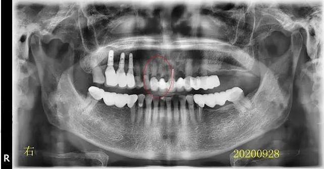
紅圈是非拔不可的牙齒,蛀到剩殘根(R.R.),這部分比較沒有異議。 牙齒殘根為何一定要拔?不拔會怎樣嗎? 我想很多人會有疑問,所以我問了M$的Copilot,AI的回答如下(令人汗顏,整理的真好,所以我直接複製貼上引用).... 本文的重點我想放在模擬治療計畫,順便說說智齒矯正取代。
Thumbnail
紅圈是非拔不可的牙齒,蛀到剩殘根(R.R.),這部分比較沒有異議。 牙齒殘根為何一定要拔?不拔會怎樣嗎? 我想很多人會有疑問,所以我問了M$的Copilot,AI的回答如下(令人汗顏,整理的真好,所以我直接複製貼上引用).... 本文的重點我想放在模擬治療計畫,順便說說智齒矯正取代。
追蹤感興趣的內容從 Google News 追蹤更多 vocus 的最新精選內容追蹤 Google News