『臨床故事』模擬計畫2,將就的人生...黃邦定醫師

黃邦定-avatar-img
發佈於活髓治療 個房間
更新 發佈閱讀 1 分鐘

(2024.03更新)

vocus|新世代的創作平台

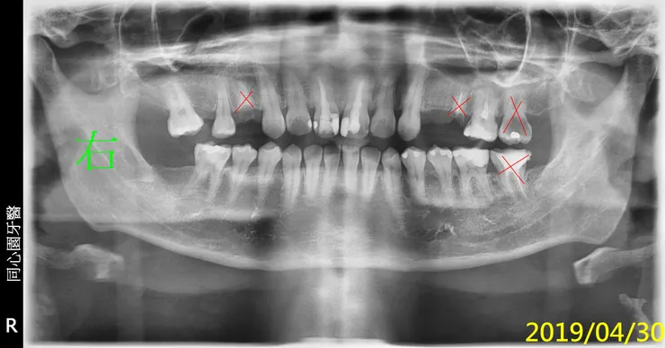
我忘了這位病人後來是否有來做後續的治療,我猜應該是沒有,因為我沒印象。但我那時都已經幫他精心劃好治療計畫的圖(方便他理解龐大的工程,對,這就像預售屋之類的藍圖)。

就不浪費了,剛拿來紙上談兵,模擬計畫,what if一下。

未完待續


留言
avatar-img
黃邦定的沙龍
50會員
137內容數
一般傳統矯正,或許是為了美觀、或許是為了做假牙等不同的目的,把硬組織(牙齒)排成我們想要的樣子,但這不一定符合人體自然,因為是外力所致,往往需要維持器等被動矯正期。 功能性矯正,著重在軟組織(舌頭、口腔面部肌肉等等)失調功能的改善,齒列排整齊,反而只是水到渠成的副產品,改善並增進影響一生顏質、健康,才是我們更在乎的。
黃邦定的沙龍的其他內容
2025/04/03
我之前聽趙哲暘醫師的演講,知道壓舌根的重要,但可能場地限制,一直不太明白,直到書上圖解,好清楚...
Thumbnail
2025/04/03
我之前聽趙哲暘醫師的演講,知道壓舌根的重要,但可能場地限制,一直不太明白,直到書上圖解,好清楚...
Thumbnail
2025/03/30
以下內容是我問AI『什麼是序列拔牙?』的總結(順便示範如何問AI醫療專業問題,問到飽),我同時問了Gemini、chatGPT、Claude(免費版、付費版都有),令人驚艷,其中Gemini還會主動引導成生圖片、簡報(方便讓人更容易理解) 我會注意到這點,是因為在法國....
Thumbnail
2025/03/30
以下內容是我問AI『什麼是序列拔牙?』的總結(順便示範如何問AI醫療專業問題,問到飽),我同時問了Gemini、chatGPT、Claude(免費版、付費版都有),令人驚艷,其中Gemini還會主動引導成生圖片、簡報(方便讓人更容易理解) 我會注意到這點,是因為在法國....
Thumbnail
2025/03/18
目前此系列有4篇,這一篇專注在講,序列拔牙serial extraction+畸形中央尖central cusp。 序列拔牙的後果:前面好看了,可後牙長歪,有苦(咀嚼不好、不好吃東西、磨不碎)只有自己知道,當年堅持帶小朋友去拔牙的長輩/家長,不會知道。
Thumbnail
2025/03/18
目前此系列有4篇,這一篇專注在講,序列拔牙serial extraction+畸形中央尖central cusp。 序列拔牙的後果:前面好看了,可後牙長歪,有苦(咀嚼不好、不好吃東西、磨不碎)只有自己知道,當年堅持帶小朋友去拔牙的長輩/家長,不會知道。
Thumbnail
看更多
你可能也想看
Thumbnail
背景:從冷門配角到市場主線,算力與電力被重新定價   小P從2008進入股市,每一個時期的投資亮點都不同,記得2009蘋果手機剛上市,當時蘋果只要在媒體上提到哪一間供應鏈,隔天股價就有驚人的表現,當時光學鏡頭非常熱門,因為手機第一次搭上鏡頭可以拍照,也造就傳統相機廠的殞落,如今手機已經全面普及,題
Thumbnail
背景:從冷門配角到市場主線,算力與電力被重新定價   小P從2008進入股市,每一個時期的投資亮點都不同,記得2009蘋果手機剛上市,當時蘋果只要在媒體上提到哪一間供應鏈,隔天股價就有驚人的表現,當時光學鏡頭非常熱門,因為手機第一次搭上鏡頭可以拍照,也造就傳統相機廠的殞落,如今手機已經全面普及,題
Thumbnail
本文分析導演巴里・柯斯基(Barrie Kosky)如何運用極簡的舞臺配置,將布萊希特(Bertolt Brecht)的「疏離效果」轉化為視覺奇觀與黑色幽默,探討《三便士歌劇》在當代劇場中的新詮釋,並藉由舞臺、燈光、服裝、音樂等多方面,分析該作如何在保留批判核心的同時,觸及觀眾的觀看位置與人性幽微。
Thumbnail
本文分析導演巴里・柯斯基(Barrie Kosky)如何運用極簡的舞臺配置,將布萊希特(Bertolt Brecht)的「疏離效果」轉化為視覺奇觀與黑色幽默,探討《三便士歌劇》在當代劇場中的新詮釋,並藉由舞臺、燈光、服裝、音樂等多方面,分析該作如何在保留批判核心的同時,觸及觀眾的觀看位置與人性幽微。
Thumbnail
5 月將於臺北表演藝術中心映演的「2026 北藝嚴選」《海妲・蓋柏樂》,由臺灣劇團「晃晃跨幅町」製作,本文將以從舞台符號、聲音與表演調度切入,討論海妲・蓋柏樂在父權社會結構下的困境,並結合榮格心理學與馮.法蘭茲對「阿尼姆斯」與「永恆少年」原型的分析,理解女人何以走向精神性的操控、毀滅與死亡。
Thumbnail
5 月將於臺北表演藝術中心映演的「2026 北藝嚴選」《海妲・蓋柏樂》,由臺灣劇團「晃晃跨幅町」製作,本文將以從舞台符號、聲音與表演調度切入,討論海妲・蓋柏樂在父權社會結構下的困境,並結合榮格心理學與馮.法蘭茲對「阿尼姆斯」與「永恆少年」原型的分析,理解女人何以走向精神性的操控、毀滅與死亡。
Thumbnail
紅圈是非拔不可的牙齒,蛀到剩殘根(R.R.),這部分比較沒有異議。 牙齒殘根為何一定要拔?不拔會怎樣嗎? 我想很多人會有疑問,所以我問了M$的Copilot,AI的回答如下(令人汗顏,整理的真好,所以我直接複製貼上引用).... 本文的重點我想放在模擬治療計畫,順便說說智齒矯正取代。
Thumbnail
紅圈是非拔不可的牙齒,蛀到剩殘根(R.R.),這部分比較沒有異議。 牙齒殘根為何一定要拔?不拔會怎樣嗎? 我想很多人會有疑問,所以我問了M$的Copilot,AI的回答如下(令人汗顏,整理的真好,所以我直接複製貼上引用).... 本文的重點我想放在模擬治療計畫,順便說說智齒矯正取代。
Thumbnail
這是一場修復文化與重建精神的儀式,觀眾不需要完全看懂《遊林驚夢:巧遇Hagay》,但你能感受心與土地團聚的渴望,也不急著在此處釐清或定義什麼,但你的在場感受,就是一條線索,關於如何找著自己的路徑、自己的聲音。
Thumbnail
這是一場修復文化與重建精神的儀式,觀眾不需要完全看懂《遊林驚夢:巧遇Hagay》,但你能感受心與土地團聚的渴望,也不急著在此處釐清或定義什麼,但你的在場感受,就是一條線索,關於如何找著自己的路徑、自己的聲音。
Thumbnail
在醫院陪病的頭幾天,家裡醫院來回奔波,倒也沒時間多想。待得家人出院狀況穩定,終於安靜下來獨處,反而胡思亂想起來,念頭紛紛擾擾,半刻不得停。 如果有後遺症怎麼辦?如果當時怎麼樣會怎麼辦?如果未來怎麼樣會…….??? 我不知道我在煩躁些什麼,現在想來,這也許是「後怕」,靜下來了,壓抑住的驚慌
Thumbnail
在醫院陪病的頭幾天,家裡醫院來回奔波,倒也沒時間多想。待得家人出院狀況穩定,終於安靜下來獨處,反而胡思亂想起來,念頭紛紛擾擾,半刻不得停。 如果有後遺症怎麼辦?如果當時怎麼樣會怎麼辦?如果未來怎麼樣會…….??? 我不知道我在煩躁些什麼,現在想來,這也許是「後怕」,靜下來了,壓抑住的驚慌
Thumbnail
想了一陣子,決定把醫檢師實習日誌的漫畫慢慢整理上來。 畫工根本黑歷史,所以我其實很想重畫,希望可以把之前實習的科室慢慢補完。 只是現在可以畫畫的時間不多,所以進展非常、非常緩慢,一方面也希望快一點完成,畢竟離開臨床真的太久太久了,現在儀器和檢驗方法進展很快,跟我實習的時候又有很多不一樣了。 最
Thumbnail
想了一陣子,決定把醫檢師實習日誌的漫畫慢慢整理上來。 畫工根本黑歷史,所以我其實很想重畫,希望可以把之前實習的科室慢慢補完。 只是現在可以畫畫的時間不多,所以進展非常、非常緩慢,一方面也希望快一點完成,畢竟離開臨床真的太久太久了,現在儀器和檢驗方法進展很快,跟我實習的時候又有很多不一樣了。 最
Thumbnail
第二次去台大看黃醫生的門診後我又再次被確診,既然已經無處可逃,那接下來呢.......
Thumbnail
第二次去台大看黃醫生的門診後我又再次被確診,既然已經無處可逃,那接下來呢.......
Thumbnail
離院須知由先前四人房的眼鏡護理師負責, 也算有始有終吧,這才是現實, 再美好的夢總有睡醒的一天。
Thumbnail
離院須知由先前四人房的眼鏡護理師負責, 也算有始有終吧,這才是現實, 再美好的夢總有睡醒的一天。
Thumbnail
一個月前,在診間,醫生再度用嚴肅的表情對我說:恩,臨床實驗的藥無法控制癌細胞。目前除了化療,就是自費標靶藥,一個月20萬,你可以嗎? 莫名的冷靜的我,似乎早就知道這一天遲早要來的,間單的跟醫生說半年一年的醫藥費還是沒問題的。醫生也非常直白的說:這藥最多也就是半年一年就有抗藥性的問題。 我的P
Thumbnail
一個月前,在診間,醫生再度用嚴肅的表情對我說:恩,臨床實驗的藥無法控制癌細胞。目前除了化療,就是自費標靶藥,一個月20萬,你可以嗎? 莫名的冷靜的我,似乎早就知道這一天遲早要來的,間單的跟醫生說半年一年的醫藥費還是沒問題的。醫生也非常直白的說:這藥最多也就是半年一年就有抗藥性的問題。 我的P
Thumbnail
我忘了這位病人後來是否有來做後續的治療,我猜應該是沒有,因為我沒印象。但我那時都已經幫他精心劃好治療計畫的圖(方便他理解龐大的工程,對,這就像預售屋之類的藍圖)。 就不浪費了,剛拿來紙上談兵,模擬計畫,what if一下。
Thumbnail
我忘了這位病人後來是否有來做後續的治療,我猜應該是沒有,因為我沒印象。但我那時都已經幫他精心劃好治療計畫的圖(方便他理解龐大的工程,對,這就像預售屋之類的藍圖)。 就不浪費了,剛拿來紙上談兵,模擬計畫,what if一下。
Thumbnail
2024.04.11 由於今天要到外縣市去看診,所以完全沒空給情勒仔拍今天的網美照,就隨便用手機拍一拍了(欸 今天去給大醫院的醫生看診,順便做個血檢看他服用化療藥之後整體的狀況怎麼樣。 看診時間是下午兩點,後來等醫生來問診、抽血、等報告、聽報告、等藥都花了不少時間,他本貓就是封面圖
Thumbnail
2024.04.11 由於今天要到外縣市去看診,所以完全沒空給情勒仔拍今天的網美照,就隨便用手機拍一拍了(欸 今天去給大醫院的醫生看診,順便做個血檢看他服用化療藥之後整體的狀況怎麼樣。 看診時間是下午兩點,後來等醫生來問診、抽血、等報告、聽報告、等藥都花了不少時間,他本貓就是封面圖
追蹤感興趣的內容從 Google News 追蹤更多 vocus 的最新精選內容追蹤 Google News