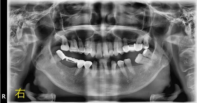
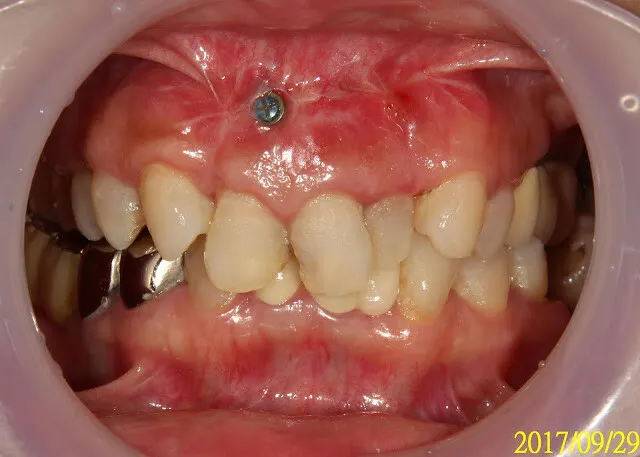
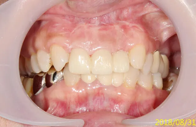
假牙材質4臨床案例---上門牙車禍+雕蠟模型

更新 發佈閱讀 1 分鐘
vocus|新世代的創作平台
vocus|新世代的創作平台
vocus|新世代的創作平台


vocus|新世代的創作平台


vocus|新世代的創作平台
留言
avatar-img
黃邦定的沙龍
50會員
137內容數
一般傳統矯正,或許是為了美觀、或許是為了做假牙等不同的目的,把硬組織(牙齒)排成我們想要的樣子,但這不一定符合人體自然,因為是外力所致,往往需要維持器等被動矯正期。 功能性矯正,著重在軟組織(舌頭、口腔面部肌肉等等)失調功能的改善,齒列排整齊,反而只是水到渠成的副產品,改善並增進影響一生顏質、健康,才是我們更在乎的。
黃邦定的沙龍的其他內容
2024/10/15
學弟真的太有才了,我從來沒想過牙科日常用的陶瓷材料,可以拿來當辱華的例子(約在影片05:00前處),真是高級酸(台大人的優秀傳統,被罵的人都還不一定知道自己被針對了),雙關語,很隱諱,要腦筋轉幾個彎,才知道。 真是寓教於樂的衛教影片啊!專業的完整說明牙齒的一生....
Thumbnail
2024/10/15
學弟真的太有才了,我從來沒想過牙科日常用的陶瓷材料,可以拿來當辱華的例子(約在影片05:00前處),真是高級酸(台大人的優秀傳統,被罵的人都還不一定知道自己被針對了),雙關語,很隱諱,要腦筋轉幾個彎,才知道。 真是寓教於樂的衛教影片啊!專業的完整說明牙齒的一生....
Thumbnail
2024/05/07
這是我第一次嘗試用AI來翻譯專業影片並上字幕,用的是Maestra AI,真令人驚艷,如此簡單、快速、低成本... 有AI輔助的未來,人類可以去做其他更有意義的事。來寫一些我一直想寫但沒時間說的事 為什麼要做活髓治療?儘量保留牙髓神經的健康活性? 傳統牙科主流治療的侷限性,剛好可在這影片裡看到。
2024/05/07
這是我第一次嘗試用AI來翻譯專業影片並上字幕,用的是Maestra AI,真令人驚艷,如此簡單、快速、低成本... 有AI輔助的未來,人類可以去做其他更有意義的事。來寫一些我一直想寫但沒時間說的事 為什麼要做活髓治療?儘量保留牙髓神經的健康活性? 傳統牙科主流治療的侷限性,剛好可在這影片裡看到。
2024/03/07
我忘了這位病人後來是否有來做後續的治療,我猜應該是沒有,因為我沒印象。但我那時都已經幫他精心劃好治療計畫的圖(方便他理解龐大的工程,對,這就像預售屋之類的藍圖)。 就不浪費了,剛拿來紙上談兵,模擬計畫,what if一下。
Thumbnail
2024/03/07
我忘了這位病人後來是否有來做後續的治療,我猜應該是沒有,因為我沒印象。但我那時都已經幫他精心劃好治療計畫的圖(方便他理解龐大的工程,對,這就像預售屋之類的藍圖)。 就不浪費了,剛拿來紙上談兵,模擬計畫,what if一下。
Thumbnail
看更多
你可能也想看
Thumbnail
這是一場修復文化與重建精神的儀式,觀眾不需要完全看懂《遊林驚夢:巧遇Hagay》,但你能感受心與土地團聚的渴望,也不急著在此處釐清或定義什麼,但你的在場感受,就是一條線索,關於如何找著自己的路徑、自己的聲音。
Thumbnail
這是一場修復文化與重建精神的儀式,觀眾不需要完全看懂《遊林驚夢:巧遇Hagay》,但你能感受心與土地團聚的渴望,也不急著在此處釐清或定義什麼,但你的在場感受,就是一條線索,關於如何找著自己的路徑、自己的聲音。
Thumbnail
Dentists (牙醫師) 牙醫師「診斷」(識別問題或疾病的來源)並治療患者的牙齒、「牙齦」(幫助固定牙齒的柔軟、粉紅色的材料)以及口腔相關部位的問題。
Thumbnail
Dentists (牙醫師) 牙醫師「診斷」(識別問題或疾病的來源)並治療患者的牙齒、「牙齦」(幫助固定牙齒的柔軟、粉紅色的材料)以及口腔相關部位的問題。
Thumbnail
背景:從冷門配角到市場主線,算力與電力被重新定價   小P從2008進入股市,每一個時期的投資亮點都不同,記得2009蘋果手機剛上市,當時蘋果只要在媒體上提到哪一間供應鏈,隔天股價就有驚人的表現,當時光學鏡頭非常熱門,因為手機第一次搭上鏡頭可以拍照,也造就傳統相機廠的殞落,如今手機已經全面普及,題
Thumbnail
背景:從冷門配角到市場主線,算力與電力被重新定價   小P從2008進入股市,每一個時期的投資亮點都不同,記得2009蘋果手機剛上市,當時蘋果只要在媒體上提到哪一間供應鏈,隔天股價就有驚人的表現,當時光學鏡頭非常熱門,因為手機第一次搭上鏡頭可以拍照,也造就傳統相機廠的殞落,如今手機已經全面普及,題
Thumbnail
今天這個沒有什麼太驚悚的部分,是說看牙醫這個感受好像也蠻取決於本人感受,有的人不怕就是不怕,我是我以為我不怕但是其實很敏感的類型😂
Thumbnail
今天這個沒有什麼太驚悚的部分,是說看牙醫這個感受好像也蠻取決於本人感受,有的人不怕就是不怕,我是我以為我不怕但是其實很敏感的類型😂
Thumbnail
5 月將於臺北表演藝術中心映演的「2026 北藝嚴選」《海妲・蓋柏樂》,由臺灣劇團「晃晃跨幅町」製作,本文將以從舞台符號、聲音與表演調度切入,討論海妲・蓋柏樂在父權社會結構下的困境,並結合榮格心理學與馮.法蘭茲對「阿尼姆斯」與「永恆少年」原型的分析,理解女人何以走向精神性的操控、毀滅與死亡。
Thumbnail
5 月將於臺北表演藝術中心映演的「2026 北藝嚴選」《海妲・蓋柏樂》,由臺灣劇團「晃晃跨幅町」製作,本文將以從舞台符號、聲音與表演調度切入,討論海妲・蓋柏樂在父權社會結構下的困境,並結合榮格心理學與馮.法蘭茲對「阿尼姆斯」與「永恆少年」原型的分析,理解女人何以走向精神性的操控、毀滅與死亡。
Thumbnail
在仁武羔乾 牙 醫 那邊做牙快半年了! 覺得牙醫預謀 詐欺的 ! 做出跟原先討論好的版圖瓷牙 不同形狀 ! (想起來 牙醫去設定機器到開始製造假牙時 根本沒有拿我們討論設計圖的 筆電 進去製造) 不滿意 牙技師建議你再去戴隱適美! 就是強硬逼你只能套上黏死! 回來發現側門牙也形狀不 對 太小
Thumbnail
在仁武羔乾 牙 醫 那邊做牙快半年了! 覺得牙醫預謀 詐欺的 ! 做出跟原先討論好的版圖瓷牙 不同形狀 ! (想起來 牙醫去設定機器到開始製造假牙時 根本沒有拿我們討論設計圖的 筆電 進去製造) 不滿意 牙技師建議你再去戴隱適美! 就是強硬逼你只能套上黏死! 回來發現側門牙也形狀不 對 太小
Thumbnail
這系列應該可以告一段落了,我的牙套終於裝好啦~~(灑花
Thumbnail
這系列應該可以告一段落了,我的牙套終於裝好啦~~(灑花
Thumbnail
本文分析導演巴里・柯斯基(Barrie Kosky)如何運用極簡的舞臺配置,將布萊希特(Bertolt Brecht)的「疏離效果」轉化為視覺奇觀與黑色幽默,探討《三便士歌劇》在當代劇場中的新詮釋,並藉由舞臺、燈光、服裝、音樂等多方面,分析該作如何在保留批判核心的同時,觸及觀眾的觀看位置與人性幽微。
Thumbnail
本文分析導演巴里・柯斯基(Barrie Kosky)如何運用極簡的舞臺配置,將布萊希特(Bertolt Brecht)的「疏離效果」轉化為視覺奇觀與黑色幽默,探討《三便士歌劇》在當代劇場中的新詮釋,並藉由舞臺、燈光、服裝、音樂等多方面,分析該作如何在保留批判核心的同時,觸及觀眾的觀看位置與人性幽微。
Thumbnail
我的習慣是給一個肉粽頭,文章裡面一堆超連結,再各自依興趣,延伸出去看,我不可能一篇文章就寫進所有觀念,那會太雜太長,尤其現代人被社群媒體影響甚深,大多習慣已養成,有閱讀障礙....
Thumbnail
我的習慣是給一個肉粽頭,文章裡面一堆超連結,再各自依興趣,延伸出去看,我不可能一篇文章就寫進所有觀念,那會太雜太長,尤其現代人被社群媒體影響甚深,大多習慣已養成,有閱讀障礙....
追蹤感興趣的內容從 Google News 追蹤更多 vocus 的最新精選內容追蹤 Google News