矯正請每月要照相給我看的圖

黃邦定-avatar-img
發佈於功能性矯正 個房間
更新 發佈閱讀 2 分鐘


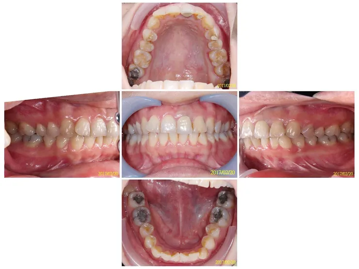
每種功能性矯正裝置所咬拍攝的點,不一樣喔

口內照是共通點,都要照的

vocus|新世代的創作平台


vocus|新世代的創作平台


  • 擴大板(是重點,不要忘了照,正反面都要照,有時會反光看不清楚,可以多照幾張)
vocus|新世代的創作平台
vocus|新世代的創作平台


vocus|新世代的創作平台

  • MRC、EF、PreOrtho、蛙嘴等彈性裝置(裝置不用照),除了口內照,再請加以下這兩張
vocus|新世代的創作平台


vocus|新世代的創作平台

蛙嘴,是故意讓嘴巴閉不起來的,可以只照(取下蛙嘴)放鬆閉嘴一張



  • 反向面弓(如有,請加拍正/側面,有戴裝置2張,沒有時(素顏)2張)
vocus|新世代的創作平台
vocus|新世代的創作平台











留言
avatar-img
黃邦定的沙龍
50會員
137內容數
一般傳統矯正,或許是為了美觀、或許是為了做假牙等不同的目的,把硬組織(牙齒)排成我們想要的樣子,但這不一定符合人體自然,因為是外力所致,往往需要維持器等被動矯正期。 功能性矯正,著重在軟組織(舌頭、口腔面部肌肉等等)失調功能的改善,齒列排整齊,反而只是水到渠成的副產品,改善並增進影響一生顏質、健康,才是我們更在乎的。
黃邦定的沙龍的其他內容
2025/04/03
我之前聽趙哲暘醫師的演講,知道壓舌根的重要,但可能場地限制,一直不太明白,直到書上圖解,好清楚...
Thumbnail
2025/04/03
我之前聽趙哲暘醫師的演講,知道壓舌根的重要,但可能場地限制,一直不太明白,直到書上圖解,好清楚...
Thumbnail
2025/03/30
以下內容是我問AI『什麼是序列拔牙?』的總結(順便示範如何問AI醫療專業問題,問到飽),我同時問了Gemini、chatGPT、Claude(免費版、付費版都有),令人驚艷,其中Gemini還會主動引導成生圖片、簡報(方便讓人更容易理解) 我會注意到這點,是因為在法國....
Thumbnail
2025/03/30
以下內容是我問AI『什麼是序列拔牙?』的總結(順便示範如何問AI醫療專業問題,問到飽),我同時問了Gemini、chatGPT、Claude(免費版、付費版都有),令人驚艷,其中Gemini還會主動引導成生圖片、簡報(方便讓人更容易理解) 我會注意到這點,是因為在法國....
Thumbnail
2025/03/18
目前此系列有4篇,這一篇專注在講,序列拔牙serial extraction+畸形中央尖central cusp。 序列拔牙的後果:前面好看了,可後牙長歪,有苦(咀嚼不好、不好吃東西、磨不碎)只有自己知道,當年堅持帶小朋友去拔牙的長輩/家長,不會知道。
Thumbnail
2025/03/18
目前此系列有4篇,這一篇專注在講,序列拔牙serial extraction+畸形中央尖central cusp。 序列拔牙的後果:前面好看了,可後牙長歪,有苦(咀嚼不好、不好吃東西、磨不碎)只有自己知道,當年堅持帶小朋友去拔牙的長輩/家長,不會知道。
Thumbnail
看更多
你可能也想看
Thumbnail
背景:從冷門配角到市場主線,算力與電力被重新定價   小P從2008進入股市,每一個時期的投資亮點都不同,記得2009蘋果手機剛上市,當時蘋果只要在媒體上提到哪一間供應鏈,隔天股價就有驚人的表現,當時光學鏡頭非常熱門,因為手機第一次搭上鏡頭可以拍照,也造就傳統相機廠的殞落,如今手機已經全面普及,題
Thumbnail
背景:從冷門配角到市場主線,算力與電力被重新定價   小P從2008進入股市,每一個時期的投資亮點都不同,記得2009蘋果手機剛上市,當時蘋果只要在媒體上提到哪一間供應鏈,隔天股價就有驚人的表現,當時光學鏡頭非常熱門,因為手機第一次搭上鏡頭可以拍照,也造就傳統相機廠的殞落,如今手機已經全面普及,題
Thumbnail
這是一場修復文化與重建精神的儀式,觀眾不需要完全看懂《遊林驚夢:巧遇Hagay》,但你能感受心與土地團聚的渴望,也不急著在此處釐清或定義什麼,但你的在場感受,就是一條線索,關於如何找著自己的路徑、自己的聲音。
Thumbnail
這是一場修復文化與重建精神的儀式,觀眾不需要完全看懂《遊林驚夢:巧遇Hagay》,但你能感受心與土地團聚的渴望,也不急著在此處釐清或定義什麼,但你的在場感受,就是一條線索,關於如何找著自己的路徑、自己的聲音。
Thumbnail
隱適美矯正器發展至今已成為許多人在追求完美微笑過程中的首選。這種透明矯正技術不僅有效,且在美觀性上遠超傳統金屬矯正器,過程中也不像傳統金屬矯正器容易刮破嘴皮。然而,在決定使用隱適美前,有幾個關鍵因素需要了解,以確保你可以達到最佳的矯正效果和保持理想的微笑。以下是選擇隱適美前必須知道的五件事。
Thumbnail
隱適美矯正器發展至今已成為許多人在追求完美微笑過程中的首選。這種透明矯正技術不僅有效,且在美觀性上遠超傳統金屬矯正器,過程中也不像傳統金屬矯正器容易刮破嘴皮。然而,在決定使用隱適美前,有幾個關鍵因素需要了解,以確保你可以達到最佳的矯正效果和保持理想的微笑。以下是選擇隱適美前必須知道的五件事。
Thumbnail
本文分析導演巴里・柯斯基(Barrie Kosky)如何運用極簡的舞臺配置,將布萊希特(Bertolt Brecht)的「疏離效果」轉化為視覺奇觀與黑色幽默,探討《三便士歌劇》在當代劇場中的新詮釋,並藉由舞臺、燈光、服裝、音樂等多方面,分析該作如何在保留批判核心的同時,觸及觀眾的觀看位置與人性幽微。
Thumbnail
本文分析導演巴里・柯斯基(Barrie Kosky)如何運用極簡的舞臺配置,將布萊希特(Bertolt Brecht)的「疏離效果」轉化為視覺奇觀與黑色幽默,探討《三便士歌劇》在當代劇場中的新詮釋,並藉由舞臺、燈光、服裝、音樂等多方面,分析該作如何在保留批判核心的同時,觸及觀眾的觀看位置與人性幽微。
Thumbnail
MRC、EF、PreOrtho、蛙嘴等等僅是單一公司廠商名稱,矯正裝置有些醫師以『訓練器trainer』稱之,其為矯正輔助品,主體是『功能性矯正』,所以需輔以肌肉訓練,並非僅單純戴訓練器即可....
Thumbnail
MRC、EF、PreOrtho、蛙嘴等等僅是單一公司廠商名稱,矯正裝置有些醫師以『訓練器trainer』稱之,其為矯正輔助品,主體是『功能性矯正』,所以需輔以肌肉訓練,並非僅單純戴訓練器即可....
Thumbnail
因為昨天去調整橡皮筋,今天痛到食不下嚥,滿懷怨念,決定用矯正歷程水一篇。(`3´)
Thumbnail
因為昨天去調整橡皮筋,今天痛到食不下嚥,滿懷怨念,決定用矯正歷程水一篇。(`3´)
Thumbnail
每種功能性矯正裝置所咬拍攝的點,不一樣喔 口內照是共通點,都要照的 擴大板(是重點,不要忘了照,正反面都要照,有時會反光看不清楚,可以多照幾張) MRC、EF、PreOrtho等彈性裝置(裝置不用照),除了口內照,再請加以下這兩張 反向面弓(如有,請加拍正/側面,有戴裝置2張,沒有時(素顏)2張)
Thumbnail
每種功能性矯正裝置所咬拍攝的點,不一樣喔 口內照是共通點,都要照的 擴大板(是重點,不要忘了照,正反面都要照,有時會反光看不清楚,可以多照幾張) MRC、EF、PreOrtho等彈性裝置(裝置不用照),除了口內照,再請加以下這兩張 反向面弓(如有,請加拍正/側面,有戴裝置2張,沒有時(素顏)2張)
Thumbnail
下集,談了我的二次矯正的小小心路歷程與牙醫診所的小小分析。 關鍵字:北部齒顎矯正、牙醫診所、隱適美、牙套資金 老樣子,先上矯正前後圖,有興趣再下看去惹!
Thumbnail
下集,談了我的二次矯正的小小心路歷程與牙醫診所的小小分析。 關鍵字:北部齒顎矯正、牙醫診所、隱適美、牙套資金 老樣子,先上矯正前後圖,有興趣再下看去惹!
Thumbnail
拔牙窩的癒合是一個複雜的過程,不同時間點會有不同的變化,對未來植牙有密切關係。這篇文章將介紹拔牙後不同時間點拔牙窩的變化。
Thumbnail
拔牙窩的癒合是一個複雜的過程,不同時間點會有不同的變化,對未來植牙有密切關係。這篇文章將介紹拔牙後不同時間點拔牙窩的變化。
Thumbnail
文章主要探討了一位讀者對矯正牙齒的困境,包括隱適美牙套和傳統牙套的選擇,以及對正顎手術的擔憂和拒絕。作者表達了對自己外貌的自信和自戀,並肯定了自我認知的重要性。
Thumbnail
文章主要探討了一位讀者對矯正牙齒的困境,包括隱適美牙套和傳統牙套的選擇,以及對正顎手術的擔憂和拒絕。作者表達了對自己外貌的自信和自戀,並肯定了自我認知的重要性。
Thumbnail
《轉轉生》(Re:INCARNATION)為奈及利亞編舞家庫德斯.奧尼奎庫與 Q 舞團創作的當代舞蹈作品,結合拉各斯街頭節奏、Afrobeat/Afrobeats、以及約魯巴宇宙觀的非線性時間,建構出關於輪迴的「誕生—死亡—重生」儀式結構。本文將從約魯巴哲學概念出發,解析其去殖民的身體政治。
Thumbnail
《轉轉生》(Re:INCARNATION)為奈及利亞編舞家庫德斯.奧尼奎庫與 Q 舞團創作的當代舞蹈作品,結合拉各斯街頭節奏、Afrobeat/Afrobeats、以及約魯巴宇宙觀的非線性時間,建構出關於輪迴的「誕生—死亡—重生」儀式結構。本文將從約魯巴哲學概念出發,解析其去殖民的身體政治。
Thumbnail
透過我們的共同努力,做好肌肉功能訓練,孩子們將: 功能性治療為3~15歲的孩子,提供及時的診斷和最根本的治療,通過追根查源,從病因入手治療牙齒不齊。 戴訓練器,不能說話。 咬壞裝置,裝置另購,費用NT.10000。 不按要求戴用,沒有效果。
Thumbnail
透過我們的共同努力,做好肌肉功能訓練,孩子們將: 功能性治療為3~15歲的孩子,提供及時的診斷和最根本的治療,通過追根查源,從病因入手治療牙齒不齊。 戴訓練器,不能說話。 咬壞裝置,裝置另購,費用NT.10000。 不按要求戴用,沒有效果。
追蹤感興趣的內容從 Google News 追蹤更多 vocus 的最新精選內容追蹤 Google News