
渥爾牙醫診所:斜裂小臼齒修復案例!Cap-Lock全瓷系列的完美應用(案例一)
在現代牙科修復中,針對裂牙和條件差的牙齒,如何選擇合適的修復材料是十分關鍵的。
Cap-Lock全瓷系列作為一種創新型修復材料,以其優異的強度、耐磨性和良好的美觀效果,為許多牙科臨床提供了可靠的解決方案。
渥爾牙醫診所:斜裂小臼齒修復案例!Cap-Lock全瓷系列的完美應用(案例一)
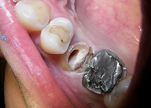
本案例中,患者的上頜右側小臼齒存在明顯的斜裂,裂紋已經深入至牙肉下3mm以上。
由於牙齒的結構受到嚴重損壞,且患者的咬合條件較差,選擇合適的修復材料顯得尤為重要。
經過詳細的臨床檢查和評估,我們決定使用Cap-Lock全瓷冠來進行修復。
首先,在治療前,我們對患者的牙齒進行了徹底的清潔與消毒處理,並根據裂牙的程度進行了必要的去除修整。
由於該小臼齒的裂紋深度已經超過了牙肉的3mm,因此我們需要特別注意保護牙髓和根部結構,避免不必要的損傷。
接下來,採用了Cap-Lock全瓷材料進行牙冠製作,這種材料不僅強度高,還能有效地與牙齒自然結合,確保患者在咀嚼過程中的舒適性和穩定性。
Cap-Lock全瓷系列的優勢之一是其出色的美觀性,這種材料的顏色和透明度非常接近自然牙齒,使得修復後的效果幾乎無法察覺。
經過修復後,患者的牙齒外觀和功能都得到了顯著改善。無論是日常咀嚼還是外觀觀察,修復效果都得到了患者的高度認可。
Cap-Lock全瓷系列在這一案例中充分展示了其在治療裂牙和條件差牙齒方面的優越性。

渥爾牙醫診所:斜裂小臼齒修復案例!Cap-Lock全瓷系列的完美應用(案例一)

渥爾牙醫診所:斜裂小臼齒修復案例!Cap-Lock全瓷系列的完美應用(案例一)

渥爾牙醫診所:斜裂小臼齒修復案例!Cap-Lock全瓷系列的完美應用(案例一)
它不僅能提供強大的功能支持,還能確保良好的美觀效果,為患者帶來了舒適、穩定的口腔健康體驗。

渥爾牙醫診所:斜裂小臼齒修復案例!Cap-Lock全瓷系列的完美應用(案例一)

渥爾牙醫診所:斜裂小臼齒修復案例!Cap-Lock全瓷系列的完美應用(案例一)

渥爾牙醫診所:斜裂小臼齒修復案例!Cap-Lock全瓷系列的完美應用(案例一)

渥爾牙醫診所:斜裂小臼齒修復案例!Cap-Lock全瓷系列的完美應用(案例一)
這種材料的應用將為更多牙科臨床提供有力的支持,成為解決裂牙等問題的理想選擇。
這些傳統的牙套(或稱牙冠、假牙、固定義齒),都沒辦法妥善的修復它們,還好您現在有 Cap-Lock !
※大安渥爾牙醫診所
地址: 台北市大安區復興南路二段8號4樓
電話: 02-2325-0366
LINE@ ID:@lul4571m
※科技渥爾牙醫診所
地址: 台北市大安區復興南路二段302號
電話: 02-2738-0200
LINE@ ID:@599heehy




















