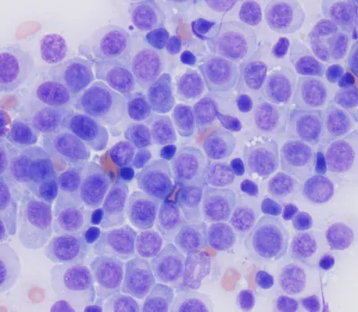
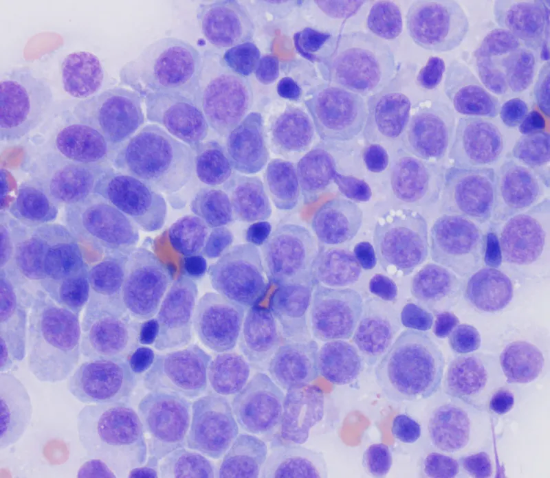
七月份<<Nature自然>>期刊的研究速報,冠狀病毒在突變重組這件事的擅長力是天生的(笑),相信大家都曾經感染或差點感染過冠狀病毒,目前賽普勒斯的疫情只有零星擴散,不用過度擔憂,但也請各位知道這間事情。
付費限定
FIP病例暴增50倍!來自賽普勒斯的貓冠狀病毒重組變異株FCoV-23![獸醫前線]重組冠狀病毒引起的貓傳染性腹膜炎
更新 發佈閱讀 4 分鐘
口口田獸醫文獻新知訂閱號
本篇內容共 1326 字、0 則留言,僅發佈於口口田Vet獸醫文獻新知你目前無法檢視以下內容,可能因為尚未登入,或沒有該房間的查看權限。
留言
口口田Vet
76會員
140內容數
1. [[口口田一口犬=獸]]
精選摘要國內外獸醫文獻與新知,簡單易懂清晰明瞭。
2. 口口田是獸字的一部分代表著獸醫,同時又是象形著窗口門口和四格小圖知識,有著口口相傳與傳播知識推開知識之窗/門的意思。
3. "獸醫文獻新知"為海外文獻資料整理,"暖爪筆記"為獸醫師林靖的撰寫創作的獸醫狗貓相關內容。
口口田Vet的其他內容
2025/07/15
⭐希望獸醫師和大眾都能對獸醫面臨的心理風險有所認識。

2025/07/15
⭐希望獸醫師和大眾都能對獸醫面臨的心理風險有所認識。

2025/07/11
🐶 幼犬得過「梨形鞭毛蟲」? 👉 感染Giardia後,慢性腸胃病與皮膚搔癢風險上升!?
2025年五月發表於<<Journal of Veterinary Internal Medicine獸醫內科醫學期刊>>的報告,長期追蹤調查49隻梨形鞭毛蟲Giardia感染急性胃腸炎後的幼犬後續數年。

2025/07/11
🐶 幼犬得過「梨形鞭毛蟲」? 👉 感染Giardia後,慢性腸胃病與皮膚搔癢風險上升!?
2025年五月發表於<<Journal of Veterinary Internal Medicine獸醫內科醫學期刊>>的報告,長期追蹤調查49隻梨形鞭毛蟲Giardia感染急性胃腸炎後的幼犬後續數年。

2025/07/08
#Oclacitinib #Apoquel® #安癢快 #咀嚼錠 #過量中毒 #異位性皮膚炎 #寵物 #狗 #貓
⭐因為咀嚼錠適口性佳導致大量誤食,中毒症狀可能嚴重且涉及多系統,部分案例死亡,請各位提高警覺。

2025/07/08
#Oclacitinib #Apoquel® #安癢快 #咀嚼錠 #過量中毒 #異位性皮膚炎 #寵物 #狗 #貓
⭐因為咀嚼錠適口性佳導致大量誤食,中毒症狀可能嚴重且涉及多系統,部分案例死亡,請各位提高警覺。

你可能也想看






















在臺灣,狗狗在颱風過後感染勾端螺旋體的風險增加。本文介紹勾端螺旋體的傳播途徑、症狀和預防方法,包括疫苗接種、避免接觸汙染源、保持良好的衛生環境、定期檢查和注意飲水安全。

在臺灣,狗狗在颱風過後感染勾端螺旋體的風險增加。本文介紹勾端螺旋體的傳播途徑、症狀和預防方法,包括疫苗接種、避免接觸汙染源、保持良好的衛生環境、定期檢查和注意飲水安全。

📣近幾個月,持續收到各場產房爆發仔豬下痢及大量死亡的消息。
🦾各位朋友請繼續堅守生物安全,此次也在考驗豬場生物安全是否有漏洞,雖然台灣目前沒有非瘟疫情,但絕不能掉以輕心,趁此次補好漏洞,若不幸爆發疫情,才能守住家園。
👩⚕根據美國研究指出,PED爆發倖存的豬隻,進入保育及肥育後

📣近幾個月,持續收到各場產房爆發仔豬下痢及大量死亡的消息。
🦾各位朋友請繼續堅守生物安全,此次也在考驗豬場生物安全是否有漏洞,雖然台灣目前沒有非瘟疫情,但絕不能掉以輕心,趁此次補好漏洞,若不幸爆發疫情,才能守住家園。
👩⚕根據美國研究指出,PED爆發倖存的豬隻,進入保育及肥育後

這是一場修復文化與重建精神的儀式,觀眾不需要完全看懂《遊林驚夢:巧遇Hagay》,但你能感受心與土地團聚的渴望,也不急著在此處釐清或定義什麼,但你的在場感受,就是一條線索,關於如何找著自己的路徑、自己的聲音。

這是一場修復文化與重建精神的儀式,觀眾不需要完全看懂《遊林驚夢:巧遇Hagay》,但你能感受心與土地團聚的渴望,也不急著在此處釐清或定義什麼,但你的在場感受,就是一條線索,關於如何找著自己的路徑、自己的聲音。

5 月將於臺北表演藝術中心映演的「2026 北藝嚴選」《海妲・蓋柏樂》,由臺灣劇團「晃晃跨幅町」製作,本文將以從舞台符號、聲音與表演調度切入,討論海妲・蓋柏樂在父權社會結構下的困境,並結合榮格心理學與馮.法蘭茲對「阿尼姆斯」與「永恆少年」原型的分析,理解女人何以走向精神性的操控、毀滅與死亡。

5 月將於臺北表演藝術中心映演的「2026 北藝嚴選」《海妲・蓋柏樂》,由臺灣劇團「晃晃跨幅町」製作,本文將以從舞台符號、聲音與表演調度切入,討論海妲・蓋柏樂在父權社會結構下的困境,並結合榮格心理學與馮.法蘭茲對「阿尼姆斯」與「永恆少年」原型的分析,理解女人何以走向精神性的操控、毀滅與死亡。

隨便養中型米克斯公犬因為雞雞附近有傷口來就診, 原本以為是放養打架咬傷之類的, 但機警的腫瘤科醫師覺得傷口長的很可疑就採了樣,沒想到是很多年沒見的TVT, 建議手術切除+絕育,O說好當天就預約了時間。

隨便養中型米克斯公犬因為雞雞附近有傷口來就診, 原本以為是放養打架咬傷之類的, 但機警的腫瘤科醫師覺得傷口長的很可疑就採了樣,沒想到是很多年沒見的TVT, 建議手術切除+絕育,O說好當天就預約了時間。

本文分析導演巴里・柯斯基(Barrie Kosky)如何運用極簡的舞臺配置,將布萊希特(Bertolt Brecht)的「疏離效果」轉化為視覺奇觀與黑色幽默,探討《三便士歌劇》在當代劇場中的新詮釋,並藉由舞臺、燈光、服裝、音樂等多方面,分析該作如何在保留批判核心的同時,觸及觀眾的觀看位置與人性幽微。

本文分析導演巴里・柯斯基(Barrie Kosky)如何運用極簡的舞臺配置,將布萊希特(Bertolt Brecht)的「疏離效果」轉化為視覺奇觀與黑色幽默,探討《三便士歌劇》在當代劇場中的新詮釋,並藉由舞臺、燈光、服裝、音樂等多方面,分析該作如何在保留批判核心的同時,觸及觀眾的觀看位置與人性幽微。

PBFD是一種可能影響寵物和野生鸚鵡的病毒性疾病,瞭解其影響的鳥類種類和症狀對早期發現和治療非常重要。透過鳥寶的專業獸醫檢查以及定期檢測,可以幫助減少這種疾病的盛行率。

PBFD是一種可能影響寵物和野生鸚鵡的病毒性疾病,瞭解其影響的鳥類種類和症狀對早期發現和治療非常重要。透過鳥寶的專業獸醫檢查以及定期檢測,可以幫助減少這種疾病的盛行率。

背景:從冷門配角到市場主線,算力與電力被重新定價
小P從2008進入股市,每一個時期的投資亮點都不同,記得2009蘋果手機剛上市,當時蘋果只要在媒體上提到哪一間供應鏈,隔天股價就有驚人的表現,當時光學鏡頭非常熱門,因為手機第一次搭上鏡頭可以拍照,也造就傳統相機廠的殞落,如今手機已經全面普及,題

背景:從冷門配角到市場主線,算力與電力被重新定價
小P從2008進入股市,每一個時期的投資亮點都不同,記得2009蘋果手機剛上市,當時蘋果只要在媒體上提到哪一間供應鏈,隔天股價就有驚人的表現,當時光學鏡頭非常熱門,因為手機第一次搭上鏡頭可以拍照,也造就傳統相機廠的殞落,如今手機已經全面普及,題

🐷罪魁禍首就是它啦⬇⬇⬇⬇
先天性震顫病毒,非典型豬瘟病毒
(台灣尚無正式名稱/中文暫譯)
APPV (Atypical Porcine Pestivirus)
✍在過去的經驗裡,似乎環狀病毒或遺傳導致先天性震顫發生,但近幾年的研究發現,APPV感染是引起先天性震顫發生相當重要的因素。

🐷罪魁禍首就是它啦⬇⬇⬇⬇
先天性震顫病毒,非典型豬瘟病毒
(台灣尚無正式名稱/中文暫譯)
APPV (Atypical Porcine Pestivirus)
✍在過去的經驗裡,似乎環狀病毒或遺傳導致先天性震顫發生,但近幾年的研究發現,APPV感染是引起先天性震顫發生相當重要的因素。

🇩🇰丹麥今年5月發表一篇研究,
檢測境內55頭先天性震顫的新生仔豬。
https://svineproduktion.dk/publikationer/kilder/notater/2020/2012
😖全部皆APPV陽性,檢出率百分之百‼️
甚至25頭無症狀的新生仔豬,也檢出1頭AP

🇩🇰丹麥今年5月發表一篇研究,
檢測境內55頭先天性震顫的新生仔豬。
https://svineproduktion.dk/publikationer/kilder/notater/2020/2012
😖全部皆APPV陽性,檢出率百分之百‼️
甚至25頭無症狀的新生仔豬,也檢出1頭AP

最近一個多禮拜,全台跑透透,見了很多人也聽了不少事。
很高興四月初發表的一篇文章,介紹美國四所獸醫大學統整豬病資料,協助產業了解各地疾病動態。未來台灣也有機會跟上美國的腳步了,我非常期待。
受了五年的獸醫教育,接觸農民與學界後,心裡有很深的感慨。
我們的獸醫教育為了更專業導向,

最近一個多禮拜,全台跑透透,見了很多人也聽了不少事。
很高興四月初發表的一篇文章,介紹美國四所獸醫大學統整豬病資料,協助產業了解各地疾病動態。未來台灣也有機會跟上美國的腳步了,我非常期待。
受了五年的獸醫教育,接觸農民與學界後,心裡有很深的感慨。
我們的獸醫教育為了更專業導向,









