
這篇文章,我想了兩三個月,終於鼓起勇氣提筆寫下。很多人說我很努力,其實只是環境跟時代驅使的力量,造就了我永不放棄的理念。
1984年
台北
我媽懷上了我,與前幾次一樣,原本她是不想要我這個孩子的。

畢竟懷孕只是個衝動的意外,因為逗弄我表哥的時候被妹妹嗆了一句:「喜歡小孩不會自己去生嗎???」,為了賭一口氣,於是她懷上了我。
但衝動終究是衝動,冷靜後她多次從樓梯上跳下跳上,試圖幹掉我。
據說懷孕的頭三個月,她真的很努力地每天在樓梯間跳躍。
想著已經人流五次,肯定這次輕輕鬆鬆能在頭幾月就讓我自然流產,沒想到我的求生意志太過強大,這麼不穩的情況下居然還能死守崗位,堅持出生。
於是在隔年2月,我呱呱墜地。
許是因為母體太虛弱,我從小就是個藥罐子,經常進出醫院。
論輩份來說,算上我爸大老婆那邊的一男二女,我就是排行的三女了
由於在家中排行老四,孩子太多,經常性地被忽略照顧情緒心情。
兒時的記憶,就是我爸不斷的在工作應酬與找尋靈魂伴侶中,經常不回家。
一旦回家就是酒醉,與外面的鶯鶯燕燕上門找碴。所以我母親從沒有開心過,也只能把所有氣都出在我身上,經常家暴與辱罵我。

從我有印象的時候,她就因為長期的情緒心理狀態不佳,一直都在吃抗憂鬱藥物。百憂解、千憂解、史蒂諾克斯,往往吃了之後,自己做了什麼都不知道。

小二那年,發生了一個讓我終生難忘的事情。有一次母親跟父親要家用,起了口角,我爸滿心怒氣。隔天早上我跟我爸要前一晚,下五子棋贏的零用錢,其實也就十元。但沒有零錢的他彷彿找到了出口,他走進廚房拿了一把菜刀,在我面前筆直的插在和室地板的木頭上。那一幕我永遠難忘,晃亮的刀鋒離我腳不到五公分,他摔在我臉上的千元鈔跟冰冷的聲音:「錢錢錢,你跟你媽只會要錢。」。這也造成了日後,我遇到困難該尋求幫助,或該收錢的時候都有極大的恐慌焦慮感。

這樣的家庭環境,我只能在每天驚慌的生活中,不斷隱忍與收拾爛攤子。
畢竟一下課回到家,就看到吃了抗憂鬱藥倒在沙發上、瓦斯爐上還開著火,
一堆食物稀飯流著滿身都是的母親,與也是吃了藥、倒在浴缸中的阿姨。國小國中的我常常是崩潰的,更不用提把書唸好這事情。太多的雞飛狗跳,讓人只能終日活在恐懼跟害怕中。

但是,危機就是最肥沃的土壤,總讓人能開出生命最強壯的花朵。我在小時候就展現了商業的天份,初次創業是在國中,與學校附近飾品店的阿姨合夥,幹起了賣暫時性紋身貼紙的生意。
在酷炫的圖案模板上放上膠水,等半乾後灑上亮亮的金蔥粉末,一個圖案維持一週上下。多數的客人在一個圖案掉光後會回來再做一個,因此覆購率不錯,整套材料成本兩千,那個暑假我賺了接近三四萬,這對國三升高一的我來說可是一大筆錢。

高獲利的賽道總是讓人嫉妒,一個月後飾品店的阿姨覺得我這生意好做,就終止了這個合作,自己把整個盤拿去幹了。不論如何這都是個不錯的創業經驗,第一戰勝利。
高一
內湖
從小就住在台北的內湖,國小在內湖國小,到了國中跟高中,念的是台北的達人女中。也就是在高中,初嚐到了所謂的現實面,也看清了家裡重度重男輕女的傳統觀念。
曾經以為上學校,首要學的是品德與教育。卻沒想到一次學生間的紛爭,老師不論青紅皂白的判斷,當著全班的面數落我,她就是偏袒學習成績好的一方。那一刻真的懷疑,所謂的學校教育品德是真實的嗎?亦或者成績好,就可以代表一切呢??

上高一的暑假,家父從太平洋證劵退休。並聯合政商朋友,建立了全球第四座的液晶面板玻璃廠,中晶光電,希望做到全台當時最薄的液晶顯示玻璃。我還記得那年的夏天,父親帶我去觀音看工廠時,滿地的碎玻璃如星塵閃耀。他眼裡的光芒比反射的玻璃光輝還要晶亮。他認真驕傲地告訴我,研發了做玻璃成品後切割的鑽石刀,能把0.01mm用於灌液晶的玻璃平整切割。現在想想我對於各種知識的研究能力,也許是遺傳父親吧。


父親的事業一直在我心中是偉岸的存在,那個時候,我多麼希望能在父親的身邊學習,等到畢業幫爸爸做事。但他只帶了那個時候連高中都不想念而退學的哥哥,儘管他已經兩次創業失敗用掉爸爸不少錢,但奶奶跟爸爸仍就支持這個孫子。而我只能滿滿的羨慕,感嘆自己不是兒子。
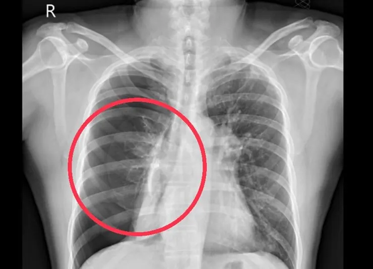
高三那年,我因為從小到大過度累積情緒與悲傷壓力,引發了第一次的自發性氣胸。進了醫院做肺葉切除手術,左肺開刀少了五分之一,出手術室開始插管治療的那時候,正逢高中要上大學的時段。我放棄了大學聯考,改成推甄上榜。依稀記得手術室推出來還插著管的我,肋骨間大拇指大的引流管湧出的血水,一個翻身都痛到全身冒汗,還能在這樣的情況下把推甄的文件都準備完。如同癱瘓一樣的在病床上,敲擊筆電鍵盤疾筆振書。

出院後推甄面試的日期來到,未拆線的傷口、厚厚的紗布,面試學校陡峭的山路讓我滲出的血水,不斷浸濕擴染蒼白的襯衫。我不知道沒上是因為我沒化妝的臉太慘白,還是襯衫的鮮紅嚇到了教授。
22歲
生活的劇變
為了我想念的資訊管理系,放棄可能的私立大學。原本我想成為一個遊戲設計師。無奈開始寫程式碼的時候卻彷彿爬滿了毛毛蟲,所幸我的專案與管理能力還是不錯的,最後至少能順利畢業。大三那年,爸爸公司倒了,我媽的精神病更嚴重了,日子依舊在苦不堪言中渡過。那段時間發生了很多事情,我看著曾經在商場上叱吒風雲的父親,為了持續提供家裡經濟開銷,去為當年提拔的小弟當開車的司機。曾經有幾幕我看到他下車幫對方開門,卑躬屈膝的模樣,我聽到了心碎滿地的聲音。
而我沒有經濟能力的母親,仍就在一天天的精神衰弱,加上阿姨時不時的吸毒偷竊進警局,我也已經不想再處理這些從幼稚園到大都爛的攤子。為了準備大四的畢業專題不被干擾,我躲去學校住宿了一年。
大四那年,交辦完了專題的課業後。為了一圓我國中就有的明星夢,我開始大量接觸模特兒公司,希望能成為一名職業模特。思考再三,滿街的模特不稀奇,但要從中出線需要有才藝跟特點,於是我開始學習國際標準舞。原本只是想學習一個才藝,但當時的對象想要走比賽路線。
學習舞蹈是極為昂貴的開銷,在2009年的時候一堂課45分鐘高達2500元。家裡破產的我根本負擔不起,只好除了白天上班之外,又開了一個舞蹈用品社,補貼在跳舞學習跟用品上的開銷。那段時間是極為辛苦的,我們女生摩登舞的舞鞋是緞面的,舞技不純熟的時候很容易踩髒,一踩就是一個黑印子。而一雙英國進口的舞鞋,費用高達3600元。為了節省換鞋的費用,我甚至在舞鞋上黏滿了透明膠帶。同樣是選手的其他人也總是在背後嘲笑,但除了傻笑回應我也說不出什麼抗辯的話。從那時候開始,每次遇到不太開心的事情,我都只剩下笑著面對。

整整四年的時間,我過著早上七點進公司,晚上六點下班,晚上七點進教室練舞,練到十點鐘回家。每逢假日,為了在比賽場上能多銷售一點用品出去,常常半夜兩點就要起來化妝梳比賽髮型,然後去趕客運到偏遠的比賽現場開始擺攤。這樣的狀況被我的老師念的不輕,總是說選手應該要驕傲的站在場上,不應該去擺攤迎客。也曾經被其他選手譏笑又來擺地攤了,但自問家裡的情況不能讓我一直消耗,我有能力賺錢就要努力。於是做用品生意的那年,24歲的我就自己飛到深圳去進貨找貨源,做出了高毛利的銷售模式,基本當時的生意毛利過五成。
也運用網路奇摩拍賣,無名小站等行銷平台,順利搶下學生跟中端的消費市場。雖不說大富大貴,但支撐比賽開銷還是可以的。如此苦熬四年我拿到了業餘組摩登舞全台灣冠軍的成績,也把舞蹈用品生意做出了起色。

那時的舞伴也是交往了六年的對象,剛認識的時候我才大學畢業,問過他是否要結婚。他以為我在開玩笑所以答應了幾次,當我追問時間時,他才說其實沒認真考慮過。一晃眼六年過去,我們拿到了一些比賽上的成績,而他因為重考才正要去當兵。我看著兩個人未來長路仍就辛苦,想到當初我提結婚他隨口答應的嘻笑,突然也就沒了繼續下去的勇氣。所以我放棄了這段感情,也在2012年終止了舞者的生涯。
2014年,我進入了金融領域,開始學習操盤。期間四處上課,由於我非本科出身,只能多加嘗試跟學習,也到處學了很多的技術分析方法。上課費上面花了接近一百四十多萬,買書也花了三四十萬。這麼大筆的開銷,都是由於我2009年拿著家裡最後的錢,投資了房地產。並且在之後考到了房屋仲介的執照,也投資跟賺到了不少的回報,數年的時間也賺到了數千萬。但考量到投資商品轉手需要時間,後來還是選擇了金融的道路。

2019的時候我統整了所有資料,選出了最精細的方法整合成了目前教學的金融技術分析高階班。

我比較過市場上所有老師的教學內容跟學費,知道了高階班教的重點在市場上價值最少三四十萬,為此我感到很自豪,想到自己當初進市場的時的辛苦,家裡已經破產、身上沒多少錢,仍就要擠出學費去成就自己的夢想。我覺得給了很多散戶一個充滿希望又方便的門路,也期盼所有學生能好好學習完,進行正確的投資之道。


學盤到第六年時,其中一位師父終於傳授給我了完整的主力做線技術,我很珍惜這個技術的傳承,也知道自己肩負著門內技術傳承的使命。也更能在教學技術上,整理精細的交易技巧給學生。
2019年開始,我不斷優化課程內容,也教出了不少強悍的學生。一套技術分析的方法,能應對於台股、台指期、商品期、權證、外匯,全部的商品。因此對於教學品質這塊我是很有自信的,看著學生們感謝的內容,我覺得自己拯救了很多散戶免於無紀律的亂投資,也是一種福報的累積吧。



走上交易這條道路,我知道很多人懷抱著一個大富大貴的夢想。但又跟我一樣出身普通甚至貧寒的家庭,於是在2019年我開始在大陸跟合夥人進行公司之後,也接通了北京的避險基金顧問業務。提供給我的學生們一個「只要練好技術,就有錢能下單」,人生改命的機運。現在也在積極的運作中,歡迎有實力的小夥伴來信諮詢。


2023年,我教學的第四年,這麼多年的金融交易與教學經驗,我問自己還能給學生什麼東西?還能怎麼優化我的教學系統?學生如何才能學的更好?更累積與轉化了這些年的商業架構、自媒體、私域流量製作的經驗。

於2023年開設了自媒體的班級,與企業顧問服務,也成立了以一千家企業主共好雙贏的「億萬苑私董會」。開設自媒體班級的目的,是希望幫助那些短時間內,因為本業收入不夠支撐自己完成,以操盤獲利達成退休夢想的學員,先找到快速變現的方法。穩定心思後,才能慢慢邁上交易致富的道路。
而私董會的存在,更是為了募集眾多的企業主老闆,為部分緊急遇到困難的朋友能夠有一個工作的機會。我們相信世上只有努力會成功的人,沒有所謂永遠的失敗者或長期的輸家。只要還有想要腳踏實地過日子跟工作的人,終究會迎來好的發展。
2024年即將來臨,萬姐仍就在這條路上陪伴大家走,持續賦能優秀的操盤手、想要以自媒體達成商業變現的朋友,以及為眾多的優秀企業主們創造行業的客戶導流與商業變現。致富之路,我們結伴前行。





















