「孩子的門牙蛀了,要趕快補起來嗎?」
「不快點補,是否會蛀得更嚴重呢?"」「為何門牙補了又掉?"」
劉媽媽心急地詢問醫師。

沒有去除蛀牙的原因,再怎麼補都是「於事無補」
孩子若發生前牙蛀牙,很常發生在3歲以前,我們稱為「早發性齲齒」。
發生的原因大多有「睡前喝奶」或「半夜喝奶」但沒有刷牙的關係,其次的原因有含飯、少量多餐。
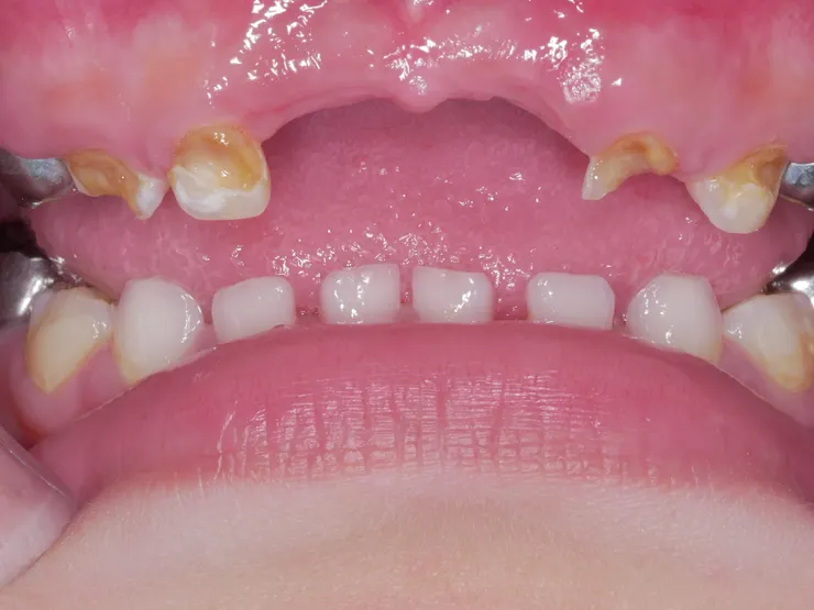
上圖案例中的劉小妹就是仍有含奶睡沒刷牙的習慣,使得口中補的牙齒補了又掉掉了又補,只有套了牙套的牙齒倖免。
這些習慣會讓口腔長期處於酸性環境,自然容易再蛀,嗜酸細菌的活性很強,會從縫隙再蛀進去,加上乳牙和補的材料之間的鍵結力較成人齒弱,所以補牙的成敗更易受口腔環境影響。
三管齊下:戒掉不良的飲食習慣+確實刷牙+氟化物的神助攻
√先戒除不良習慣,尤其是含奶睡覺沒刷牙
√每天家長替孩子確實口腔清潔
√增加接觸氟化物(含氟牙膏、塗氟),不但可抑制蛀牙細菌,也可以幫助齒質修復再礦化(變硬),使得牙齒變得不易再蛀。
通常有做到以上三點,都可以看到顯著的改善。

所以爸媽不用太心急,想要避免無效的治療,先戒除或至少減少不良的飲食習慣,每天家長確實幫孩子刷牙,加上氟化物的幫忙,使用含氟牙膏與增加塗氟的頻率,都能減緩蛀牙的速度,降低蛀牙細菌的活性 。
此時再作治療的成功率都會比之前高出許多,因為口腔環境變好了,孩子也因為被訓練成能配合刷牙以及塗氟,變得配合許多,都會再再提升成功率喔!
就像「失火的房子先確實滅火,而不是在失火的房子上急著再蓋房子」 孩子的蛀牙也是如此喔!
一起守護孩子的健康笑容吧!
。























