
渥爾牙醫診所: Cap-Lock全瓷系列修復案例!斜裂下大臼齒的成功修復!
在牙科修復領域,面對裂牙或條件差的牙齒,選擇合適的修復材料是確保治療效果的重要環節。
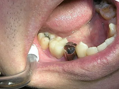
Cap-Lock全瓷系列以其高強度和良好的美觀性,在解決這些問題上展現出卓越的臨床價值,通過Cap-Lock全瓷系列修復材料的應用,成功恢復了患者的牙齒功能與美觀。本案例中的患者下頜左側大臼齒因為長期的咀嚼負擔及外力影響,出現了斜裂,且裂痕深入牙肉下3mm。
該患者的牙齒結構已經受到嚴重損害,且咬合條件差,使得修復工作面臨較大挑戰。
經過詳盡的診斷和討論,我們決定選擇Cap-Lock全瓷冠進行修復。

渥爾牙醫診所: Cap-Lock全瓷系列修復案例!斜裂下大臼齒的成功修復!

渥爾牙醫診所: Cap-Lock全瓷系列修復案例!斜裂下大臼齒的成功修復!
我們進行了牙齒的徹底清潔和必要的修整,清除了受損的部分,並確保修復範圍不會過度侵蝕健康牙結構。
在進行牙冠製作前,我們精確測量並預備了牙齒,考慮到裂紋深達牙肉下3mm,我們特別注重避免對牙髓的損害,並做好精密的印模。

渥爾牙醫診所: Cap-Lock全瓷系列修復案例!斜裂下大臼齒的成功修復!

渥爾牙醫診所: Cap-Lock全瓷系列修復案例!斜裂下大臼齒的成功修復!

渥爾牙醫診所: Cap-Lock全瓷系列修復案例!斜裂下大臼齒的成功修復!
Cap-Lock全瓷系列的選擇,主要基於其優越的性能。這款材料具有極高的抗壓強度,能夠應對大臼齒所承受的強大咀嚼壓力,並且由於其高透明度和自然色澤,使得修復後的牙齒與周圍牙齒完全融合,外觀無異於自然牙。
這一點對患者來說尤為重要,尤其是在下大臼齒位置,修復後的美觀效果十分突出。

渥爾牙醫診所: Cap-Lock全瓷系列修復案例!斜裂下大臼齒的成功修復!

渥爾牙醫診所: Cap-Lock全瓷系列修復案例!斜裂下大臼齒的成功修復!

渥爾牙醫診所: Cap-Lock全瓷系列修復案例!斜裂下大臼齒的成功修復!
修復過程中,我們利用Cap-Lock材料的精確匹配,將大臼齒的形態和咬合功能恢復至最佳狀態。
患者術後表示,修復後的牙齒不僅咀嚼功能恢復良好,外觀也非常自然,完全符合其日常生活需求。

渥爾牙醫診所: Cap-Lock全瓷系列修復案例!斜裂下大臼齒的成功修復!

渥爾牙醫診所: Cap-Lock全瓷系列修復案例!斜裂下大臼齒的成功修復!
Cap-Lock全瓷系列在這一斜裂下大臼齒的修復中發揮了重要作用,無論是對於牙齒的功能性還是美觀性,均提供了理想的解決方案。
這一案例展示了Cap-Lock全瓷系列在面對嚴重裂牙和咬合問題時的出色表現,也為患者帶來了長久的舒適感和滿意度。
※大安渥爾牙醫診所
地址: 台北市大安區復興南路二段8號4樓
電話: 02-2325-0366
LINE@ ID:@lul4571m
※科技渥爾牙醫診所
地址: 台北市大安區復興南路二段302號
電話: 02-2738-0200
LINE@ ID:@599heehy























