
渥爾牙醫診所:小臼齒裂牙不拔牙,Cap-Lock全瓷修復保住原牙!
裂牙是一種常見但極具挑戰性的情況,尤其當裂縫延伸至牙齦下時,許多患者以為這顆牙非拔不可。
隨著修復材料的進步,像是Cap-Lock全瓷系列的應用,讓條件差的牙也能有保留與再生的可能。渥爾牙醫診所的一則臨床案例,說明如何成功挽救一顆裂到牙齦下的小臼齒。

渥爾牙醫診所:小臼齒裂牙不拔牙,Cap-Lock全瓷修復保住原牙!

渥爾牙醫診所:小臼齒裂牙不拔牙,Cap-Lock全瓷修復保住原牙!
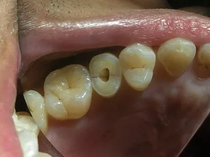
本案例為一位中年患者,主訴在咬硬物時出現瞬間疼痛,經檢查發現右上第一小臼齒有明顯斜裂,裂痕已延伸至牙肉下。初步判斷為典型小臼齒裂牙,結構受損嚴重但尚未完全斷裂。
患者表達希望能保留原牙,因此我們為其規劃進行裂縫穩定與全瓷冠修復治療。
裂牙處理的首要目標是「封住裂縫,穩定結構」。

渥爾牙醫診所:小臼齒裂牙不拔牙,Cap-Lock全瓷修復保住原牙!

渥爾牙醫診所:小臼齒裂牙不拔牙,Cap-Lock全瓷修復保住原牙!
我們先移除受損齒質,確認牙髓未暴露,無需抽神經。
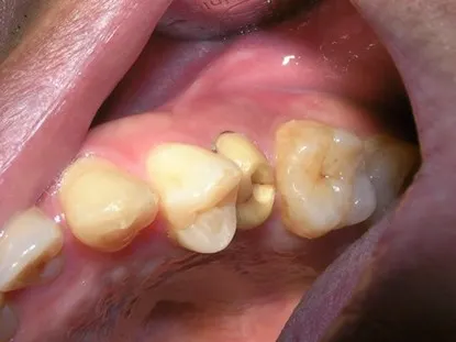
為了確保日後的穩定性,我們選擇Cap-Lock全瓷冠來完成修復,此材料擁有極高的抗裂強度與精準的邊緣密合度,特別適合用於小臼齒這種受力頻繁的位置。
牙體預備後,我們採取精密數位印模製作全瓷冠,並於下次回診完成裝戴。

渥爾牙醫診所:小臼齒裂牙不拔牙,Cap-Lock全瓷修復保住原牙!

渥爾牙醫診所:小臼齒裂牙不拔牙,Cap-Lock全瓷修復保住原牙!
修復完成後,牙齒外觀自然、咬合穩定,患者表示恢復咀嚼功能且再無裂痛感。三個月後複診,牙齒狀況穩定無異常。
面對裂牙不一定只能拔除。

渥爾牙醫診所:小臼齒裂牙不拔牙,Cap-Lock全瓷修復保住原牙!

渥爾牙醫診所:小臼齒裂牙不拔牙,Cap-Lock全瓷修復保住原牙!
透過早期診斷與合適的修復策略,像是使用Cap-Lock全瓷系列這類高強度材料,就能有效延長牙齒壽命、保留自然齒根,提供患者最理想的長期治療結果。

渥爾牙醫診所:小臼齒裂牙不拔牙,Cap-Lock全瓷修復保住原牙!
渥爾牙醫診所致力於運用高品質材料與精準診療,守護每一顆原生牙,讓患者重拾咬合與笑容的信心。
※大安渥爾牙醫診所
地址: 台北市大安區復興南路二段8號4樓
電話: 02-2325-0366
LINE@ ID:@lul4571m
※科技渥爾牙醫診所
地址: 台北市大安區復興南路二段302號
電話: 02-2738-0200
LINE@ ID:@599heehy






















