愛貓在三星期前去世,牠是一隻剛過11歲生日的波斯貓女,讓我感到非常傷心。雖然已經過了三星期,我仍然在傷痛和思念中,亦要收拾心情,繼續照顧家中另一隻波斯貓,牠的細佬。「家姊」是一隻多囊腎貓,最後亦是因腎病去世。在這份傷痛之中,我想與大家分享有關貓咪多囊腎的資訊。 雖然「家姊」在四歲時就被醫生診斷出患有多囊腎,並且知道這是一種「不治之症」,即是無法治癒的疾病,但她能陪伴我們11年,我感到非常感恩。回想起「家姊」從小到大所受到的照顧與寵愛,這或許是減緩她病情發展的原因之一。因此,我希望在這份悲傷中,能與大家分享這些經驗,讓大家更了解這種疾病,並積極面對。
多囊性腎病(Polycystic Kidney Disease),簡稱 PKD 是影響家貓的最常見的遺傳性疾病之一,研究表明,某些貓品種(例如波斯貓)中有多達 38% 帶有導致這種疾病的基因。
網上資料
這種遺傳性疾病會導致腎臟形成充滿液體的囊腫,逐漸損害腎臟功能,並可能隨著時間的推移導致腎衰竭。本文中的資訊來自可靠的來源,例如康乃爾大學獸醫學院 Cornell University College of Veterinary Medicines 以及《貓醫學與外科雜誌(Journal of Feline Medicine and Surgery)》等獸醫期刊上發表的最新研究。這些消息來源強調了早期診斷和持續管理的重要性,以減輕疾病對受感染貓的影響。
貓多囊腎(PKD)
多囊性腎 (PKD) 是貓的遺傳性疾病,導致腎臟內形成充滿液體的囊腫。隨著時間的推移,這些囊腫會變大,佔據更多的腎臟組織,並逐漸損害腎功能。這種退化會導致慢性腎臟病(Chronic Kidney Disease, CKD),這是一種影響貓的整體健康和生活品質的嚴重疾病。
PKD 是漸進性的,這意味著隨著囊腫的不斷擴大,疾病的嚴重程度也會增加,如果不及時治療,最終會導致腎衰竭。
PKD 是一種遺傳性疾病,這意味著它透過特定的基因突變從一代傳給下一代。
該疾病是一種體染色體顯性遺傳,即表示貓只需要從父母一方遺傳一個突變基因的副本就會患上這種疾病。如果父母一方患有此病,那麼其後代就更有可能遺傳這種疾病。
由於這種疾病具有遺傳性,飼養者必須在繁殖前對貓進行檢測,以降低傳染這種致命的疾病的風險。
儘管 PKD 在老年貓中更為常見,但貓主人很難識別,因為貓往往要到七歲時才會出現任何疾病跡象。
PKD 的症狀
下列了 PKD 的一般症狀:
口渴加劇
由於腎臟功能受損,患有 PKD 的貓通常會比平常喝更多的水。
尿頻
腎臟難以濃縮尿液,導致排尿增加。
昏睡
受影響的貓可能顯得比平常更疲倦或更不活躍。
體重減輕
患有 PKD 的貓可能會隨著腎臟效率的下降而逐漸體重減輕。
食慾減少
PKD 會導致食慾下降,進而導致體重進一步下降。
嘔吐
隨著病情的進展,毒素在血液中積聚,引起嘔吐。
口臭
由於血液中廢物的積累,患有 PKD 的貓可能會有口臭。
高血壓
PKD 可導致高血壓,進而引發其他症狀,嚴重的話還會有頭痛、流鼻血等症狀。
診斷 PKD 通常從徹底的獸醫檢查開始。
身體檢查:獸醫將進行一般身體檢查以評估貓的整體健康狀況,檢查是否有腎臟腫大等跡像或體重減輕和嗜睡等症狀。
病史回顧:獸醫將回顧貓的病史,重點關注任何已知的遺傳傾向或可能表明患有 PKD 的先前健康問題。
血液和尿液檢查:這些檢查透過測量血液中的肌酸酐和血尿素氮 (blood urea nitrogen, BUN) 水平以及檢查尿液中是否存在異常(例如是否存在蛋白質或血液)來幫助評估腎功能。
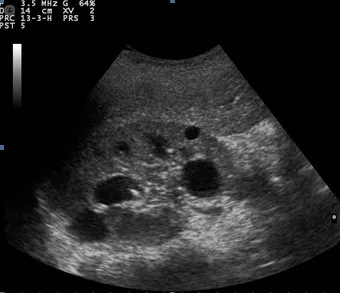
超聲波和基因檢測
超聲波:這種影像技術對於檢測腎臟中是否有囊腫非常有效。這是一種非侵入性方法,可以看到囊腫的大小、數量和位置。
基因檢測:確定貓是否帶有導致 PKD 的突變基因。
治療方案
治療和管理的重點是減緩疾病的進展並確保貓的良好生活品質。
如果確診 PKD,主人可以採用以下方法治療貓的疾病。這些技術被認為可以減少嘔吐和噁心,同時也能阻止磷的吸收(來源 Polycystic Kidney Disease in Cats):
藥物
血壓控制:患有 PKD 的貓常見高血壓,可使用氨氯地平(amlodipine) 或依那普利(enalapril)等藥物控制。
利尿劑:在體液滯留或腫脹的情況下,利尿劑可能有助於控制症狀。
磷酸鹽結合劑:如果腎功能下降,磷酸鹽結合劑可以幫助控制血液中的高磷酸鹽水平。
飲食變化
腎臟專用飲食:為腎臟健康而製定的飲食蛋白質、磷和鈉含量較低。這些飲食有助於減輕腎臟的工作負擔並控制症狀。
補水:確保您的貓能喝到新鮮的水並促進補水。濕食有助於維持液體攝取。
定期接受獸醫檢查
監測腎功能:定期血液檢查和尿液分析有助於監測腎功能並根據需要調整治療。
超聱波檢查:定期超聲波檢查可用於評估囊腫發展和腎臟大小的變化。
症狀管理
緩解疼痛:如果貓咪出現疼痛或不適的跡象,可能需要進行疼痛管理,通常在獸醫的指導下。
刺激食慾:患有 PKD 的貓可能會食慾下降;可以使用食慾刺激劑或可口的食物來確保適當的營養。
結論
PKD 對患病貓的健康和福祉構成了重大挑戰,但透過積極主動和明智的管理,它們的生活品質可以顯著改善。了解疾病的進展並實施包括藥物治療、飲食調整和定期獸醫檢查在內的綜合治療計劃至關重要。
📌 延伸閱讀建議



























