中樞與本我
- 人體內的一切都指向一個源點:大腦中心的松果體。
- 當我們說「我」時,實際是指:那個觀察者/意識存在/靈魂,這個意識掌控著肉體。
- 若說「我的身體」,意味著那個「我」並非身體本身,而是其使用者。
身體是靈魂的載具,用於在時間與空間中活動。

33 節椎骨與上升之路
- 靈魂之油經由33 椎從脊椎底部上升至腦部。
- 這象徵耶穌升天、坐在上帝右邊。
馬可福音 16:19:
「主耶穌對他們說完話之後,被接到天上,坐在上帝的右邊。」
這裡的「上帝右邊」象徵大腦右半球。

大腦右半球:創造與直覺之源
- 上帝的右手象徵大腦右半球,掌管創意與靈感
- 這一側連接我們的高我、超意識

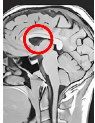
神的寶座(Le Trône de Dieu)
- 就在大腦正中心,即:松果體的位置
- 神是意識,而我們每人都是那道意識的火花
歷代志上 3:10:
「在至聖所中,他打造了兩個基路伯,然後用金子包裹。」
這裡的「至聖所」象徵松果體,而「兩個基路伯」象徵大腦左右兩側的半球。

劍的隱喻:
- 羔羊嘴中的劍象徵切斷下意識動物本能
- 劍貫穿脊椎象徵神聖意識的上升
- 頭頂的太陽象徵覺醒後的「神性意識」

蛇與樹的象徵:
- 蛇象徵人類的靈性本性,攀上樹象徵能量上升
- 樹的根部象徵脊椎底部,蛇自此向上攀升至意識之頂
- 共濟會藝術(Art Maçonnique):以象徵符號展示意識升起與宇宙連結
- 蘇美藝術(Art Sumérien):顯示神祇手持松果、象徵松果體與神性連結






























