
渥爾牙醫診所:Cap-Lock全瓷牙冠安裝,回診、追蹤!
有一部紀錄片叫做「壽司之神」,講高齡86歲全球最年長的米其林三星大廚小野二郎的故事。他從9歲就入行,已歷經75年的淬鍊,每天就是重複做一件事,從來不曾厭倦,總是不斷地在想如何超越自己,精益求精。
小野二郎在東京的店只有10個座位,訂位要等一個多月,只供應壽司,沒有別的菜。米其林評審非常訝異那麼簡單的菜為何味道如此有深度,他們稱之為「極簡的純粹」。「你一旦決定職業後,就要全心投入工作,熱愛自己的工作,窮盡一生來磨練技能,這是成功的要訣。」小野說。
「我連夢裡都在握壽司,點子多到夜裡會驚醒。」
小野的故事讓我很感動,他不愧是達人中的達人。以前的我總是強調創新,認為企業一成不變地做同一件事好像沒有什麼出息,但同樣的事情可以透過不斷練習加以改善,好還可以更好。
<<三年又三個月前 為陳先生裝#12 Cap-Lock>>

渥爾牙醫診所:Cap-Lock全瓷牙冠安裝,回診、追蹤!

渥爾牙醫診所:Cap-Lock全瓷牙冠安裝,回診、追蹤!

渥爾牙醫診所:Cap-Lock全瓷牙冠安裝,回診、追蹤!
修形、排齦後取模、比色,有蛀牙同時幫他用樹脂填補
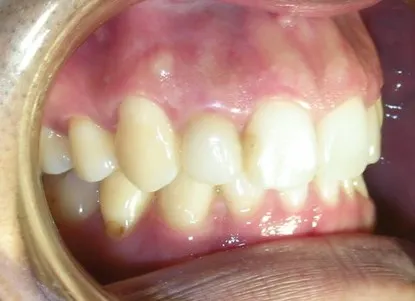
<<三年又三個月後的今天 陳先生回診>>

渥爾牙醫診所:Cap-Lock全瓷牙冠安裝,回診、追蹤!

渥爾牙醫診所:Cap-Lock全瓷牙冠安裝,回診、追蹤!
這顆Cap-Lock 依然這麼美觀而自然
牙齦的部份也沒有發炎或者變色
乍看之下,還真忘了它其實是顆我幫他做的Cap-Lock假牙,倒是遠心用樹脂填補的部份,三年多下來已經變色了!
Cap-Lock 多年來已經搶救過無數的裂牙、殘根!
這些傳統的牙套(或稱牙冠、假牙、固定義齒),都沒辦法妥善的修復它們,還好您現在有 Cap-Lock !
※大安渥爾牙醫診所
地址: 台北市大安區復興南路二段8號4樓
電話: 02-2325-0366
LINE@ ID:@lul4571m
※科技渥爾牙醫診所
地址: 台北市大安區復興南路二段302號
電話: 02-2738-0200
LINE@ ID:@599heehy























